What is myocarditis?
Inflammation of the myocardium with myocyte necrosis and degeneration
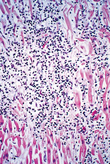
Biopsy of a heart is shown. What is the Dx? Describe the pathogenesis of this condition

Viral myocarditis
What are the two most common viruses to infect the heart? Describe the pathogenesis of their infection. Why are children commonly affected?
Coxsackievirus and adenovirus
What are the symptoms of viral myocarditis? What is the Tx? What condition is associated with a high incidence of viral myocarditis?
Generally asymptomatic; Supportive Tx only!; AIDS
What are other agents that can cause myocarditis?
What can cause granulomatous myocarditis?
What is hypersensitivity myocarditis caused by? Typical features?
Reaction to drugs; Eosinophils, lymphocytes, plasma cells, ABSENCE of myocyte necrosis
A patient with SLE rapidly declines. Giant cells are shown on autopsy. What is the Dx? What other diseases are associated with this condition? What is the most effective treatment? What did the patient likely die from?
Giant cell myocarditis; Hyperthyroidism, thymoma; Cardiac transplantation; Congestive HF