Myology Flashcards

(30 cards)

1
Q

What does muscle health directly impact?

A

HEALTH OF OTHER BODY SYSTEMS

How well did you know this?
1
Not at all
2
3
4
5
Perfectly
2
Q

How is skeletal muscle developed pre-natal?

A
  1. Mesodermal progenitor cells, through determination factor MyoD expression, become myoblasts.
  2. Signals cause the myoblasts to withdraw from the cell cycle and elongate to become myocytes
  3. Myocytes fuse to form multinucleated myotubes
  4. Other signals cause myotubes maturation to become myofibre
How well did you know this?
1
Not at all
2
3
4
5
Perfectly
3
Q

How is skeletal muscle developed

A
  • MUSCLE SATELLITE CELLS MAINTAIN BOTH STEM CELL AND PROGENITOR POPULATIONS
How well did you know this?
1
Not at all
2
3
4
5
Perfectly
4
Q

Describe the hierarchical structure of skeletal muscle.

A
How well did you know this?
1
Not at all
2
3
4
5
Perfectly
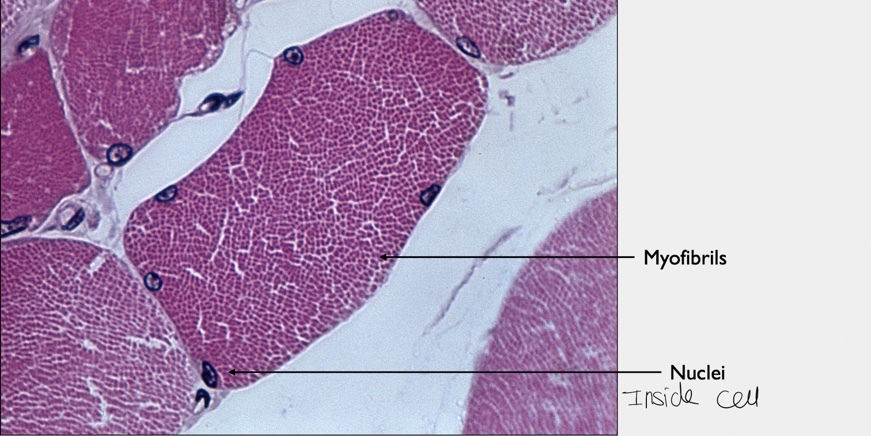
5
Q

Is a longitudinal view or cross section view better?

A
  • Cross section, we can actually see the structures.
How well did you know this?
1
Not at all
2
3
4
5
Perfectly
6
Q

Where are the nuclei found for muscle cells?

A
  • Inside
How well did you know this?
1
Not at all
2
3
4
5
Perfectly
7
Q

Compare the location of satellite cells and nuclei for muscle cells.

A
  • Satellite cells are sandwiched between basal lamina and sarcolemma, whereas myonuclei sits beneath both of them.
How well did you know this?
1
Not at all
2
3
4
5
Perfectly
8
Q

Electron microscope can differentiate satellite cells and nuclei, which is which?

A
How well did you know this?
1
Not at all
2
3
4
5
Perfectly
9
Q

Label the basic components of a sarcomere.
Describe what they are.

A
  • Sarcomere exists between two Z lines
  • Thick myosin filaments attached to M band and go towards Z line
  • Thin actin myofilament attached from Z line and go towards the M band
    • Causes lighter and darker areas due to overlap between myofilament.
  • H band is white and defined by only myosin filaments.
  • I filament is the white defined by the actin filaments on either side of the I band
  • A band is from one edge of myosin filaments to the other
How well did you know this?
1
Not at all
2
3
4
5
Perfectly
10
Q

What are the 3 parts to muscle mechanics?

A

-EFR

How well did you know this?
1
Not at all
2
3
4
5
Perfectly
11
Q

What are the agonist(working) and antagonist (relaxing) working together for the following movements:

-Flexion at the elbow
-Extension at the elbow
-Flexion at the knee
-Extension at the knee

A
How well did you know this?
1
Not at all
2
3
4
5
Perfectly
12
Q

What changes happen to the sarcomere during muscle contraction?

A

Fully relaxed sarcomere changes when contracted.

Sarcomeres on either side are being drawn to M band (actin moves in)
- Z line move closer together
- H band becomes smaller and darker
- I band becomes smaller
- A band doesnt change

How well did you know this?
1
Not at all
2
3
4
5
Perfectly
13
Q

How does excitation-contraction coupling occur at neuromuscular junction?

-Up to the generation of action potential.

A
  1. ACh within synaptic vesicles is released from nerve terminals
  2. ACh is released at neuromuscular junction which binds to AChR which allows entry of Na+
  3. This influx of Na+ induces action potential across the T tubules along the myofibre
How well did you know this?
1
Not at all
2
3
4
5
Perfectly
14
Q

How does excitation-contraction coupling occur at neuromuscular junction?

-After generation of action potential across T-tubles

A
  1. In a relaxed state, dihydropyridine receptor are across and attached to the T tubules
  2. DHPR are also physically connected to RyR which is attached to SR where we find intracellular pools of Ca2+
    • Skeletal muscles have their own Ca2+ stores, so we don’t need to add Ca2+, unlike cardiomyocytes (Ca induced Ca release)
  3. Once we have action potential across T tubules, this induces conformational change of DHPR, which causes RyR to move, allowing it to detach, allowing release of Ca2+ within the muscle cell
  4. Ca2+ binds to troponin C which causes conformational change, moving the tropomyosin filament, allowing the myosin head to bind to actin filament, which brings actin closer to M band
How well did you know this?
1
Not at all
2
3
4
5
Perfectly
15
Q

Where does depolarisation happen?

A

-MYOFIBER TRIAD

How well did you know this?
1
Not at all
2
3
4
5
Perfectly
16
Q

How does relaxation occur after contraction?

A
  1. ACh degraded by ACh esterase
  2. Conformation of DHPR-RyR is restored
  3. Ca2+ is taken up by SR via SERCA
  4. Ca2+ releases troponin
17
Q

Why is ATP important for muscle contraction?

A
  • Myosin head is attached to ADP and Pi which allows it to attach to the troponin on the actin filament so that it can draw the actin filament towards the M band. As it does so, it releases ADP and Pi.
  • Myosin head remains attached to the actin filament and can only detach if it is bound again by an ATP molecule, otherwise, it remains bound and fully contracted → rigor mortis

ATP → ADP + Pi in order to detach, so that cycle can occur again

18
Q

Where does ATP come from?

A
  1. Stored ATP reserves
  2. Stored creatine phosphate
  3. Anaerobic respiration
  4. Aerobic respiration
  5. Fatty acid oxidation
    (amount of ATP increases as we go down the list but so does time..)
19
Q

How do we get ATP via creatine phosphate?

A
  • When we need ATP creatine kinase reverses the reaction
20
Q

How do we get ATP via anaerobic respiration?

21
Q

How do we get ATP via aerobic respiration?

A
  1. Pryuvate is formed from glucose through glycolysis
  2. Pryuvate enters mitochondria to go through Kreb’s cycle and electron transport system
  3. Oxygen is brought within the skeletal muscle cells by myoglobin, which provides the red colour of muscle
22
Q

How do we get ATP via fatty acid oxidation?

23
Q
  1. What can be depleted in order to cause fatigue?
  2. How can lactic acid build up cause fatigue?
  3. How long can the recovery for fatigue be?
A
  1. Depletion of:
    - Oxygen
    - Glycogen
    - ATP
    - ACh
  2. Lactic acid build-up:
    - Increase in H+, which interferes with
    actin/myosin cross-bridges
    - Intracellular acidosis which amplifies glycogen and ATP depletion
  3. Several hours to 1 week
24
Q

What are postural and phasic muscles?

25
Muscles have different fibre types due to their different functions. Name the 2 ways in which they are different?
1. Metabolism: Aerobic (oxidative) vs Anaerobic (glycolytic) 2. Speed: Slow (Type I) vs Fast (Type II) twitch fibers
26
Compare Type 1 and Type 2B muscle fibres using table below.
27
How can you differentiate Slow and Fast switch fibres from staining?
- Type 1 lots of mitochondria = darker = slow - Type 1 lots of myoglobin = darker = slow - Type 2 = lots of glycogen = darker = fast - Alkaline incubation stains Type 2 fibres = fast - Acidic incubation stains type 1 fibres = slow
28
What defines the property fibre type?
- Motor units > one motor neurone and all the muscle cells and myofibres it innervates
29
What are the 4 types of motor units, what muscle fibre do they correlate with?
30
How can exercise change fibre type composition and dictate muscle physique?
- Sprinters change fibre type composition to become fibre type 2b fibres which are bigger than type 1, so more type 2b → muscle physique looks bigger - Marathon runners needs sustained energy over a long period of time with sustained minimal power over period of time. Fibre type muscle composition switch from type 2 to type 1, which are smaller so muscle physique is smaller