What is myopathy?
Disease of voluntary muscle
What is myositis?
Inflammation of voluntary muscle
What are muscular dystrophies?
Inherited disorders of muscle cells
What are channelopathies?
Ion channel disorders of muscle cells
What is the predominant feature of muscle disease?
Weakness
What muscle problems can occur in Cushing’s syndrome?
Proximal myopathy
What myopathies occur in thyroid disease?
How would you distinguish clinically between neuropathy and myopathy?
Myopathy:
What might an acute onset of features of myopathy suggest in terms of the cause?
What might spontaneous pain at rest suggest in someone with features of myopathy?
Inflammatory cause
What investigation would you do if you suspected someone had a myopathy?
What are features of myopathy on EMG?
Short duration, polyphasic action potentials. Sometimes there may also be spontaneous fibrillation

What is Duchenne’s muscular dystrophy?
https://www.youtube.com/watch?v=DGOmN6rnsNk
Muscular dystrophy caused by absence of dystrophin, a protein normally present at the interface between the cytoplasm and the muscle cell membrane. Disruption of the cell membrane leads to uncontrolled entry of calcium into the cell.
How is duchenne muscular dystrophy passed on?
X-linked recessive
What are features of duchenne muscular dystrophy?
Around age 4:

What is gower’s sign?
https://www.youtube.com/watch?v=t3uQIS9k4_Y
A patient that has to use their hands and arms to “walk” up their own body from a squatting position due to lack of hip and thigh muscle strength.

Who does Duchenne muscular dystrophy most commonly affect?
Males - as X-linked recessive
What is the following in someone with suspected DMD?

Calf pseudohypertrophy
How would you investigate someone for duchenne muscular dystrophy?
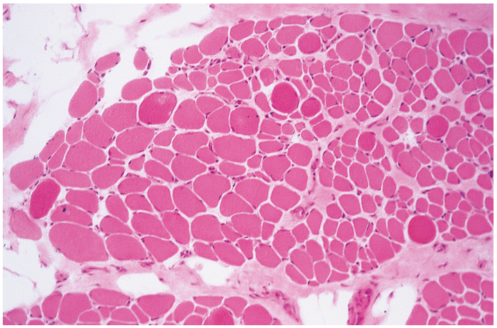
What might you find on biopsy of someone with DMD?
How would you manage someone with DMD?
No specific treatment
What is Becker’s Muscular dystrophy?
An X-linked disorder, Becker dystrophy exhibits many similarities to Duchenne dystrophy, but the onset occurs at a later age and the progress of the disease is slower, many patients surviving into adult life. Genetic studies indicate that this disorder is an allelic variant of Duchenne dystrophy.
Dystrophin levels are lowered but not absent
How does BEcker’s muscular dystrophy differ from DMD?
Milder symptoms, later age of onset and better prognosis
What is myotonic dystrophy?
Autosomal dominant condition is a genetic disorder with two different triple repeat mutations, most commonly an expanded CTG repeat in a protein-kinase (DMPK) gene (DM1).