Neonates Flashcards

(82 cards)

1
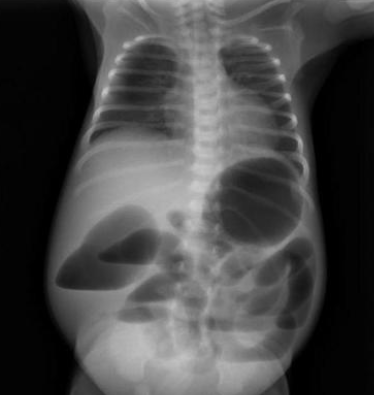
Q

What is the incidence of duodenal atresia?

A

1/5000 (higher in Downs syndrome)

How well did you know this?
1
Not at all
2
3
4
5
Perfectly
2
Q

What is the age at presentation of duodenal atresia?

A

A few hours after birth

How well did you know this?
1
Not at all
2
3
4
5
Perfectly
3
Q

How is duodenal atresia diagnosed?

A

Abdominal x-ray showing double bubble sign, contrast studies may confirm the diagnosis

How well did you know this?
1
Not at all
2
3
4
5
Perfectly
4
Q

What is cause of malrotation with volvulus?

A

Incomplete rotation during embryogenesis

How well did you know this?
1
Not at all
2
3
4
5
Perfectly
5
Q

What is the age at presentation for malrotation with volvulus?

A

Usually 3-7 days after birth, volvulus with compromised circulation may result in peritoneal signs and haemodynamic instability

How well did you know this?
1
Not at all
2
3
4
5
Perfectly
6
Q

What is the diagnostic test for malrotation with volvulus?

A

Upper GI contrast study may show duodo-jejunal flexure is more medially placed, USS may show abnormal orientation of the superior mesenteric artery and vein

How well did you know this?
1
Not at all
2
3
4
5
Perfectly
7
Q

What does this USS demonstrate?

A

Malrotation with volvulus

How well did you know this?
1
Not at all
2
3
4
5
Perfectly
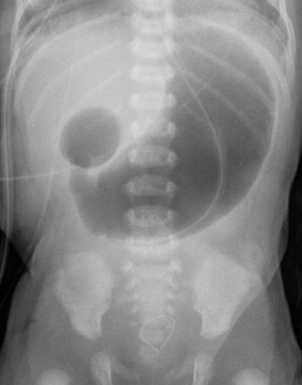
8
Q

What is the incidence of jejunal/ ileal atresia?

A

1/3000, usually caused by vascular insufficiency in utero

How well did you know this?
1
Not at all
2
3
4
5
Perfectly
9
Q

What is the age at presentation for jejunal/ ileal atresia?

A

Usually within 24 hours of birth

How well did you know this?
1
Not at all
2
3
4
5
Perfectly
10
Q

What is the diagnostic test for jejunal/ ileal atresia?

A

Abdominal x-ray showing air-fluid levels

How well did you know this?
1
Not at all
2
3
4
5
Perfectly
11
Q

What is the incidence of meconium ileus?

A

15-20% of neonates with cystic fibrosis
Otherwise, 1/5000

How well did you know this?
1
Not at all
2
3
4
5
Perfectly
12
Q

What is the age at presentation of meconium ileus?

A

24-48 hours of life, abdominal distension and bilious vomiting

How well did you know this?
1
Not at all
2
3
4
5
Perfectly
13
Q

What is the diagnostic test for meconium ileus?

A

Air-fluid levels on abdominal x-ray, heel prick/ sweat test to confirm cystic fibrosis

How well did you know this?
1
Not at all
2
3
4
5
Perfectly
14
Q

What is the incidence of necrotising enterocolitis?

A

Up to 2.4/1000 births, risks are increased with prematurity and inter-current illness

How well did you know this?
1
Not at all
2
3
4
5
Perfectly
15
Q

What is the age at presentation for necrotising enterocolitis?

A

Usually 2nd week of life

How well did you know this?
1
Not at all
2
3
4
5
Perfectly
16
Q

What is the diagnostic test for necrotising enterocolitis?

A

Dilated bowel loops on abdominal x-ray, pneumatosis and portal venous air

How well did you know this?
1
Not at all
2
3
4
5
Perfectly
17
Q

What are the neonatal causes of hypotonia?

A
  • Neonatal sepsis
  • Werdnig-Hoffman disease (spinal muscular atrophy type 1)
  • Hypothyroidism
  • Prader-Willi
How well did you know this?
1
Not at all
2
3
4
5
Perfectly
18
Q

What are the maternal causes of neonatal hypotonia?

A
  • Maternal drugs eg. benzodiazepines
  • Maternal myasthenia gravis
How well did you know this?
1
Not at all
2
3
4
5
Perfectly
19
Q

What is the figure most commonly used for neonatal hypoglycaemia?

A

<2.6mmol/L

How well did you know this?
1
Not at all
2
3
4
5
Perfectly
20
Q

Why does neonatal hypoglycaemia usually not cause any sequelae?

A

Because neonates are able to use alternative fuels like ketones and lactate

How well did you know this?
1
Not at all
2
3
4
5
Perfectly
21
Q

What can cause persistent/ severe hypoglycaemia in neonates?

A
  • Preterm birth (<37 weeks)
  • Maternal diabetes mellitus
  • Intrauterine growth restriction (IUGR)
  • Hypothermia
  • Neonatal sepsis
  • Inborn errors of metabolism
  • Nesidioblastosis
  • Beckwith-Wiedemann syndrome
How well did you know this?
1
Not at all
2
3
4
5
Perfectly
22
Q

What are the features of neonatal hypoglycaemia?

A

May be asymptomatic

Autonomic:
- Jitteriness
- Irritability
- Tachypnoea
- Pallor

Neuroglycopenic
- Poor feeding/ sucking
- Weak cry
- Drowsy
- Hypotonia
- Seizures

Other features may include
- Apnoea
- Hypothermia

How well did you know this?
1
Not at all
2
3
4
5
Perfectly
23
Q

What is the management of asymptomatic neonatal jaundice?

A
  • Encourage normal feeding (breast or bottle)
  • Monitor blood glucose
How well did you know this?
1
Not at all
2
3
4
5
Perfectly
24
Q

What is the management of symptomatic/ very low blood glucose in neonates?

A
  • Admit to the neonatal unit
  • IV 10% dextrose
How well did you know this?
1
Not at all
2
3
4
5
Perfectly
25
What are the major congenital infections to be aware of?
- Rubella - Toxoplasmosis - Cytomegalovirus
26
What is the most common congenital infection in the UK?
Cytomegalovirus Maternal infection is usually asymptomatic
27
What are the characteristic features of a neonate infected with rubella in utero?
- Sensorineural deafness - Congenital cataracts - Congenital heart disease (eg. patent ductus arteriosus) - Glaucoma
28
What are some less common features of neonatal intrauterine rubella infection?
- Growth retardation - Hepatosplenomegaly - Purpuric skin lesions - 'Salt and pepper' chorioretinitis - Microphthalmia (unilateral or bilateral) - Cerebral palsy
29
What are the features of toxoplasmosis infection of a neonate in utero?
- Cerebral calcification - Chorioretinitis - Hydrocephalus
30
What are some less common features of toxoplasmosis infection of a neonate in utero?
- Anaemia - Hepatosplenomegaly - Cerebral palsy
31
What are the characteristic features of a neonate infected with cytomegalovirus in utero?
- Low birth weight - Purpuric skin lesions - Sensorineural deafness - Microcephaly
32
What are some other features of neonatal cytomegalovirus?
- Visual impairment - Learning disability - Encephalitis/ seizures - Pneumonitis - Hepatosplenomegaly - Anaemia - Jaundice - Cerebral palsy
33
How is infantile colic characterised?
Typically in infants <3 months old - Bouts of excessive crying - Pulling-up of the legs - Often worse in the evening
34
What is the cause of infantile colic?
Unknown Occurs in up to 20% of infants
35
How is congenital diaphragmatic hernia (CHD) usually diagnosed?
18-20+6 week anomaly scan (50% babies diagnosed) Antenatal care of the mother transferred to the specialist neonatal surgical unit Planned delivery (IOL or C-section) offered
36
What is the strongest prediction of severity in CDH?
Position of the liver, higher up the liver greater pulmonary hypoplasia Majority of babies have CDH defect on the left side of the diaphragm
37
What is the post-natal presentation of CHD?
- More common in Down Syndrome - Respiratory distress - Scaphoid abdomen - Displaced heart sounds - Suggestive CXR
38
Post-natal management of CDH
1. Immediate intubation 2. Ventilation with PIP as low as possible (don't use face mask ventilation to minimise gastric distention) 3. Place NGT (as large as possible to decompress stomach and prevent vomiting and swelling), aspirate and leave on free drainage 4. Peripheral IV access 5. Transfer to NICU once stable
39
What are the aims of ventilation in CDH?
Achieve visible chest movement and appropriate heart rate
40
When is extracorporeal membrane oxygenation considered for CDH?
Mainly: evidence of pulmonary hypertension and failure to correct pulmonary hypertension (last line) - Poor tissue perfusion - Inability to maintain pre and post-ductal sats (pre >85%, post >70%) - Respiratory acidosis ph<7.15
41
What are the contraindications for ECMO?
- <34 weeks - <2kg - Lethal congenital abnormalities - Significant intraventricular haemorrhage
42
What is the definitive treatment for CDH?
DELAYED surgical repair Generally haemodynamically stable and resp stable neonates can have surgery at 48-72hours old
43
What antenatal counselling should be provided for CDH?
Joint neonatal surgical and obstetrics, SpR paeds surgical reg should be notified once baby is born
44
What is ophthalmia neonatorum?
Conjunctivitis in the neonate (Conjunctivitis occuring in the first 4 weeks of life)
45
What is the first step in managing acute bacterial conjunctivitis in the neonate?
Urgent same day opthalmological referral (if conjunctiva is red, urgent hospital referral)
46
What is the most common organism causing bacterial neonatal conjunctivitis?
Chlamydia (mother and partner also need treatment, same for gonococcal infections)
47
Management for gonoccocal conjunctivitis in the neonate?
Single dose parentral (IV or IM) cefotaxime/ ceftriaxone
48
Management for pseudomonal conjunctivitis in the neonate?
Gentamicin eye drops + systemic antibiotics
49
What are the investigations in primary care for bacterial neonatal conjunctivitis?
Unnecessary, may interfere with subsequent micro sampling Don't commence treatment in the community
50
Cause of eye discharge in a neonate with normal conjunctiva?
Congenital nasolacrimal duct obstruction
51
Management for herpetic infection in the neonate localised to the eye?
High dose IV aciclovir and monitoring
52
Which neonatal conjunctivitis patients are treated as inpatients?
- Gonococcal - Pseudomonas - HSV Until there is adequate response to treatment
53
How is Down Syndrome diagnosed post natally?
Urgent blood PCR for trisomy 21
54
What are the 1st investigations to order for Down Syndrome?
Bedside - Hearing test - Vision examination Bloods - Blood PCR/ karyotyping - FBC (ordered within 3 days birth, assess for haematological abnormalities eg. transient abnormal myelopoiesis) - TFTs (TSH and T4, DS can cause subclinical hypothyroidism normal T4 mildly elevated TSH) Imaging - Echo (50% have congenital heart defect, most common AVSD)
55
What does the annual hearing test screen for?
- Auditory thresholds - Impedance testing (tympanometry) - Otoscopy
56
Who are the members of the Down Syndrome MDT?
- Speech and language therapist (swallowing) - Opthalmologist (3-6 months) - Parental counselling and education (charity: down syndrome association) - Early intervention therapies in childhood: physio, OT - Individualised educational plan
57
What are the most common comorbidities associated with Down Syndrome?
- Intellectual disability - Hearing impairments (60-80%) - Vision problems (>50%) - Obstructive sleep apnea (50-75%) - Congenital heart defects (50%) - Hypothyroidism (10-25%) - GI abnormalities (12%)
58
What is prevention treatment for haemolytic disease of the newborn?
Anti-D immunoglobulin - 1500IU single dose 28 weeks (in utero) and delivery OR - x2 doses 500IU 28 and 34 weeks and delivery Further doses given in any sensitising events
59
Management of a baby in haemolytic disease of the newborn
Resuscitation - A-E Phototherapy - Test with transcutaneous bilirubinometer Exchange transfusion if indicated IVIG if indicated
60
When is exchange transfusion indicated in haemolytic disease of the newborn?
- Br rising (>8-10umol/hr) despite phototherapy or severe and inadequate response to phototherapy - Significant anaemia <100g/l hb
61
When is IVIG given in haemolytic disease of the newborn?
Bilirubin continues to risk by >8.5mmol/L/hr
62
Follow up for haemolytic disease of the newborn
Check of late anaemia 4-6 weeks (consider folate supplementation to protect against)
63
Causes of jaundice in the first 24 hours
- Rhesus haemolytic disease - ABO haemolytic disease - Hereditory spherocytosis - G6PD deficiency
64
Causes of jaundice from 2-14 days
- PHYSIOLOGICAL - Breast feeding
65
Causes of jaundice lasting >2 weeks (or 21 days if premature)
- Biliary atresia - Hypothyroidism - Galactosaemia - UTI - Breast milk jaundice - Prematurity (immature liver functioning) - Congenital infections
66
Cause of breastfeeding jaundice?
Undetermined, but theorised due to increased concentrations of beta-glucuronidase leading to increased intestinal absorption of unconjugated bilirubin
67
When is prolonged jaundice screen performed?
Signs of jaundice after 14 days (21 days if premature)
68
What does prolonged jaundice screen involve?
- Conjugated and unconjugated bilirubin (most important test) - DAT (Coomb's) - TFTs - FBC and blood film - Urine for MC&S - Us&Es and LFTs
69
When is transcutaneous bilirubin used?
Screening test for babies with relatively low risk of pathological jaudince Used between the ages of 24 hours and 2 weeks
70
When is serum bilirubin used for neonatal jaundice?
Neonates with a higher risk of pathological jaundice (<24 hours or born <35 weeks)
71
How is management for neonatal jaundice determined?
Using serum bilirubin threshold graph
72
First line management for neonatal jaundice unconjugated bilirubin (below red line)?
Phototherapy Intensified phototherapy and adjuncts (eg IVIG) 2nd line IVIG can be used in haemolytic causes of jaundice (rhesus, ABO etc)
73
What is the first line management for neonatal jaundice unconjugated (above red line)?
Exchange transfusion
74
Management for breast milk jaundice
- Continue breast feeding as normal
75
How does phototherapy help with neonatal jaundice?
Photo-oxidation from a lipophylic to hydrophilic photoisomer that can be excreted in the urine Blue light
76
What is the recommended feeding pattern for neonates?
- Feed within 30 mins of birth - Subsequent frequent milk feeding (every 2-3 hours)
77
Presentation of necrotising enterocolitis?
MOST COMMON SURGICAL EMERGENCY IN NEONATES - Pre-mature - Bottle fed - Difficulty feeding - Vomiting - Swollen/ tender abdomen
78
What is the most important test for diagnosing necrotising enterocolitis?
Abdominal x-ray, repeated seially every 6 hours until definitive treatment - Dilated loops of bowel - Pneumatosis intestinalis (pathognomic) - Portal venous air (poor prognostic sign) (Diagnostic findings)
79
What is the first intervention when NEC is suspected?
Stop all enteral feedings and maintain patient NBM TPN if feeds stopped >24 hours Confirmed NEC, no feeds 7 days
80
Management of NEC?
1. Stop enteral feeding 2. NG tube 3. Broad-spectrum abx 4. IV fluids 5. Surgery
81
When is surgery indicated in NEC?
- Perforation - Failure to respond to medical tx
82
What surgery is performed in NEC?
Laparotomy with resection of necrosed bowel with either: - Primary anastomosis - Defunctioning stoma