Which of the following is a clinical stage of keratoacanthomas?
1 Plaque
2 Mature
3 Proliferative
4 Resolving
5 All of these answers are correct except plaque
All of these answers are correct except plaque
Keratoacanthomas have three, consecutive, clinical stages: proliferative, mature and resolving. The proliferative stage is characterized by the appearance of a rapid growing papule. This phase is followed by the mature stage when the lesion acquires its characterisitic dome-shaped appearance with a central, keratinous core. Tumor resorption occurs during the involution stage resulting in a slightly depressed, hypopigmented scar.
Definition
• Rapidly growing tumor developing on sun-exposed skin with potential to regress; classification controversial, probable variant of squamous cell carcinoma
Clinical features
Epidemiology
• Older males most commonly
• Sun-exposed skin
• Similar risk factors to squamous cell carcinoma
• Variants with multiple lesions
• Fergusson-Smith syndrome
– Autosomal dominant
– Scottish ancestry
– More common in men
– Younger patients
– Multiple lesions (100s) sun-exposed and sun-protected sites
– Lower likelihood of involution
• Grzybowski syndrome
– No gender predilection
– Multiple eruptive lesions (100s to 1000s)
– Sun-exposed sites or generalized
– May involve mucous membranes
• Muir-Torre syndrome
Presentation
• Solitary or multiple lesions; solitary more common
• Cup-shaped, rapidly growing lesion on sun-exposed site
• Keratin core with raised, erythematous border
• 1 to 2 cm in diameter
• Giant keratoacanthoma: >3 cm diameter
• Involutes over several weeks, leaving scar
• Typical lesion life cycle is 5 to 6 months
Prognosis and treatment
• Overall good prognosis
• Potential to regress without treatment
• Rare lesions reported to metastasize
• Treatment: surgical excision, intralesional methotrexate; systemic retinoids in patients with multiple lesions
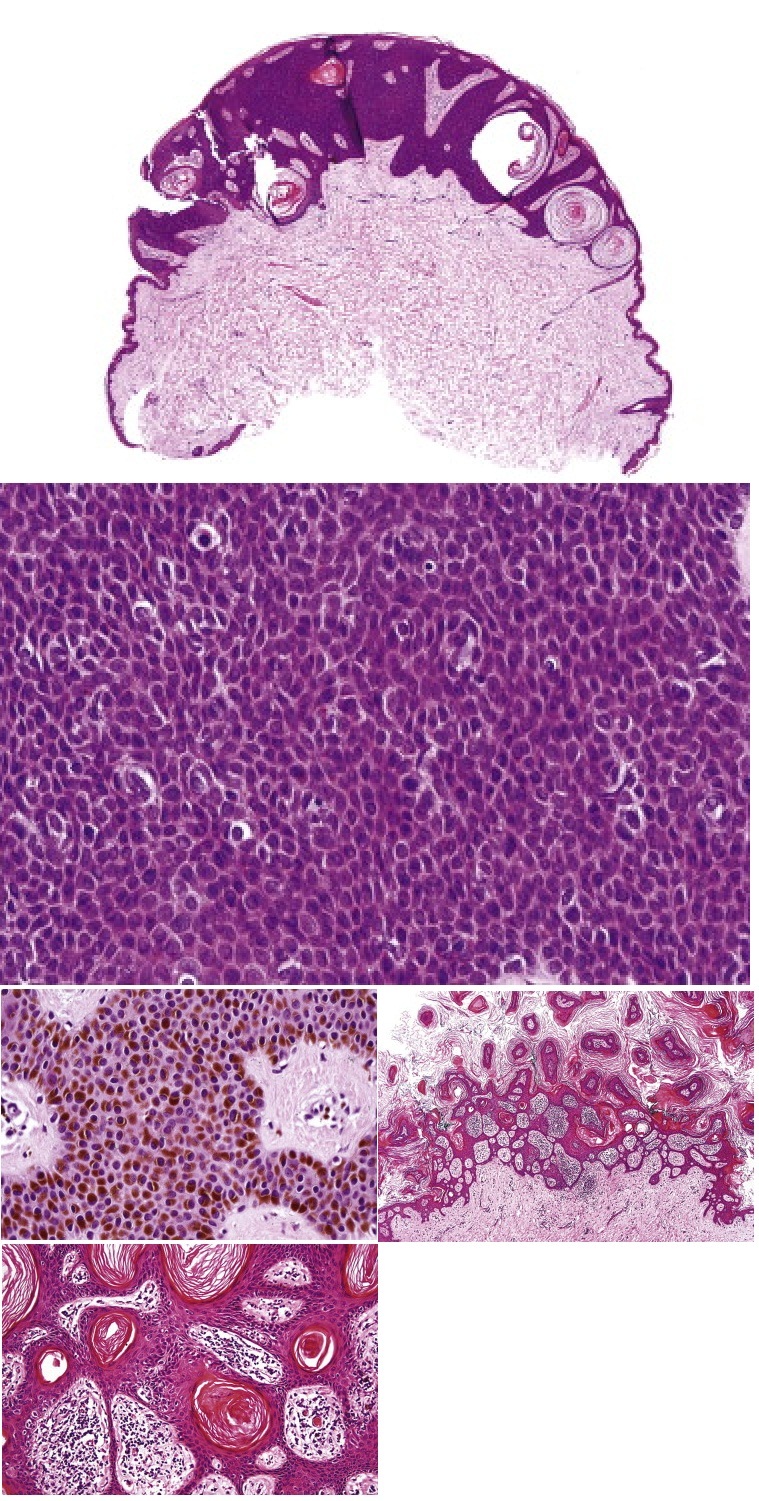
Pathology
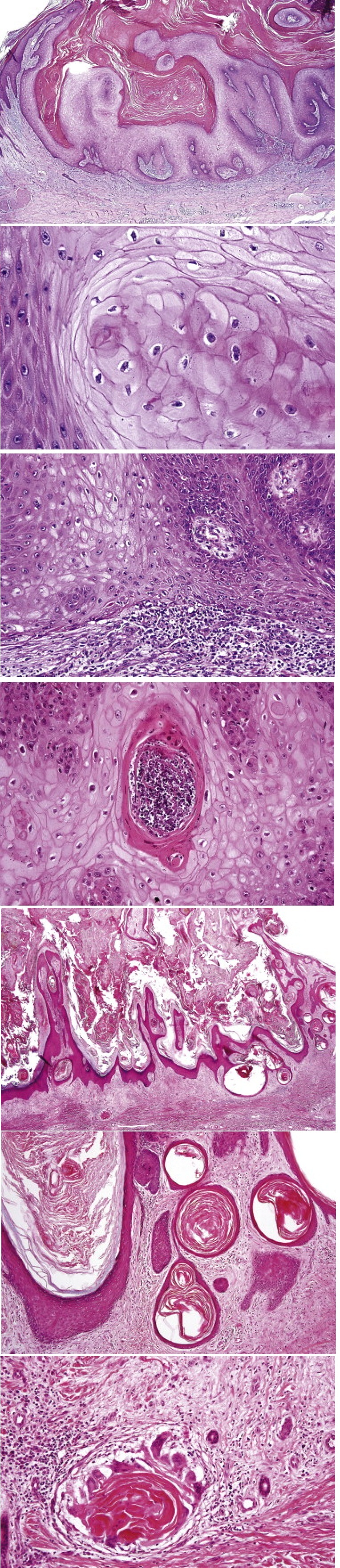
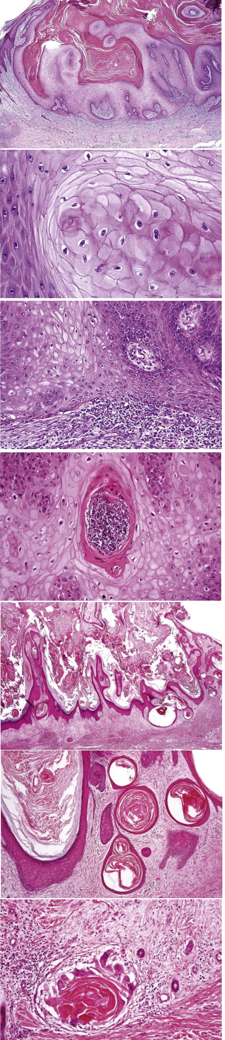
Histology
• Symmetrical, cup-shaped, endo-/exophytic tumor with collarette and central keratin plug
• Well-differentiated squamous epithelium with glassy, pale cytoplasm
• Mitotic activity low and generally basal
• Neutrophilic microabscesses in tumor epithelium may be present
• Entrapped elastic fibers in center of lesion sometimes evident
• Regressing lesions demonstrate flattening of epithelium, loss of keratin plug; dermal, foreign-body, giant cell reaction often present
Immunopathology/special stains
• Not contributory
Main differential diagnoses
• Squamous cell carcinoma with keratoacanthoma-like features (often a very difficult differential diagnosis)
• When in doubt, treat as squamous cell carcinoma
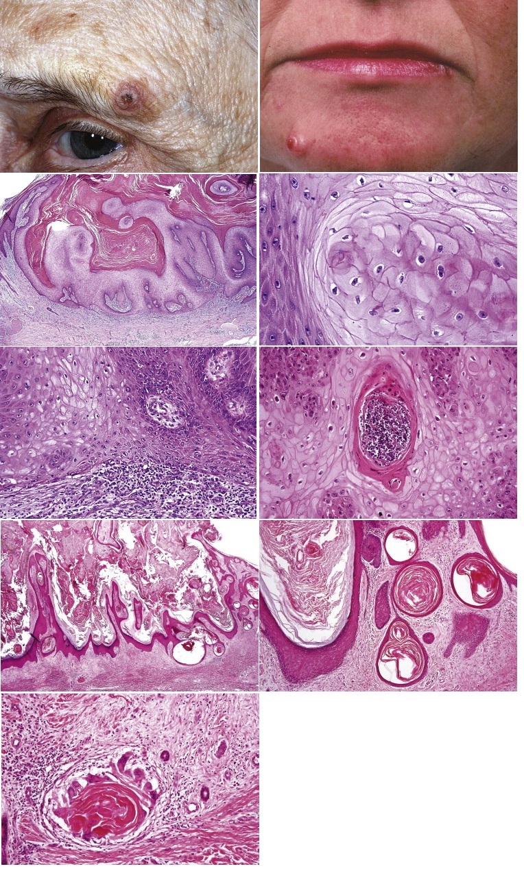
Fig 1 Keratoacanthoma. Rapidly growing, dome-shaped, keratotic nodule within the eyebrow.
Fig 2 Keratoacanthoma. Dome-shaped pink nodule with keratotic center on the chin.
(From the collection of the late NP Smith, MD; the Institute of Pathology, London.)
Fig 3 Keratoacanthoma. Scanning view showing lateral collarette and characteristic cup-shaped squamous proliferation with keratinous plug.
Fig 4 Keratoacanthoma. High-power view showing well-differentiated “ground-glass” cytoplasm.
Fig 5 Keratoacanthoma. Lower border of the lesion showing a lymphohistiocytic infiltrate.
Fig 6 Keratoacanthoma. Intraepithelial neutrophil microabscesses are common in this tumor.
Fig 7 Regressing keratoacanthoma. The epithelial proliferation is lost. Note the flat lower border characteristic of regression.
Fig 8 Regressing keratoacanthoma. Higher-power view of the edge of the lesion.
Fig 9 Regressing keratoacanthoma. The dermis is scarred, and there is a foreign-body reaction to keratin.

All of the following are true of thick melanomas (>3 mm) except:
1 Predominantly nodular type
2 Women affected more than men
3 Predilection for the head and neck
4 Mainly in older patients (>50 years)
5 Associated with fewer nevi
Women affected more than men
According to a study performed by Chamberlain, et.al., thick melanomas (> 3 mm) were predominantly nodular in type. They occurred in older men, mostly on the head and neck and were associated with fewer nevi.
Which neoplasm is associated with the Stewart-Treves syndrome?
1 Renal leiomyomas
2 Basal cell carcinoma
3 Angiosarcoma
4 Keratoacanthoma
5 T cell lymphoma
Angiosarcoma
Stewart-Treves syndrome is the development of angiosarcoma in the setting of chronic lymphedema. Originally, named after radical mastectomy for the treatment of breast cancer. The term applies to the development of angiosarcoma in any chronic lymphedematous condition.
Cutaneous Angiosarcoma
Definition
• A malignant vascular neoplasm with a very poor prognosis
Clinical features
Epidemiology
• Different variants:
• Angiosarcoma in the elderly
• Lymphedema-associated angiosarcoma occurring particularly in women postmastectomy and axillary node dissection: Stewart-Treves syndrome (represents vast majority of cases but can also occur in patients with lymphedema from other causes); typically develops many years after surgery
• Postradiation: typically occurs years after radiation therapy
• Visceral angiosarcoma may present in the skin
• Generally older patients, although depends on subtype
Presentation
• Angiosarcoma in the elderly: presents on the head and neck with red or purple nodules, and plaques often associated with an ill-defined macular component; margin of the tumor is very difficult to identify both clinically and histologically
• Lymphedema associated: purple or reddish nodules in a background of lymphedema
• Postirradiation: very rare, with variable period following radiotherapy before development of lesions (2 to many years following radiation)
• Tumors typically ulcerate, crust, and sometimes bleed (can prove fatal) and thus are a major problem
Prognosis and treatment
• Very high incidence of recurrence despite therapy (excision, radiation, chemotherapy)
• Metastases, particularly lymph nodes and lung
• Very poor prognosis (5-year survival less than 20%)
Pathology
Histology
• Irregular vascular channels, lined by hyperchromatic, obviously atypical endothelium
• Endothelial multilayering
• Mitotic activity including atypical forms
• Atypical vessels dissecting between collagen bundles; this can be deceptively subtle, and easily missed on frozen section, particularly when assessing margins
• Solid areas of undifferentiated tumor cells are often present
• Necrosis
• Chronic inflammation
• Spindled cell variant
Immunopathology/special stains
• Positive for CD31, CD34, and factor VIII antigens
• Human herpesvirus–8 negative
Main differential diagnoses
• Masson’s tumor
• Melanoma and carcinoma (when solid areas predominate)
• Atypical postradiation vascular lesion of the breast
• Kaposi’s sarcoma
Fig 1 Cutaneous angiosarcoma. Low-power view showing an obviously vasoformative dermal tumor.
Fig 2 Cutaneous angiosarcoma. The blood vessels are lined by atypical cells with hyperchromatic nuclei. There is a background of undifferentiated spindled tumor cells.
Fig 3 Cutaneous angiosarcoma. High-power view from another patient showing gross endothelial cell pleomorphism.
Fig 4 Cutaneous angiosarcoma. This view shows dissection of collagen.
Fig 5 Cutaneous angiosarcoma. This tumor shows intraluminal papillae. Elsewhere it presented as a more solid undifferentiated lesion.
Fig 6 Cutaneous angiosarcoma. Undifferentiated angiosarcoma showing conspicuous mitotic activity and intracytoplasmic lumina.
Fig 7 Cutaneous angiosarcoma. Spindled cell variant.
Fig 8 Post radiation angiosarcoma. This vascular lesion arose following prior radiation for breast carcinoma.
Fig 9 Post radiation angiosarcoma. Note the nuclear hyperchromatism and pleomorphism. The endothelial cells show severe atypia.

All of the followings can be used for treatemt of this condition except
1 Cryotherapy
2 Topical Imiquimod 5% cream
3 Topical 5-flurouracil
4 Topical retinoids
5 Surgical excision
Surgical excision
Attached picture is disseminated superficial actinic porokeratosis (DSAP) which is the most common type of all porokeratosis, with multiple thin papules appearing most commonly on the legs of adult women. Many treatments have been used for this condition which include: cryotherapy, topical 5-fluorouracil (5-FU), topical retinoids, CO2 laser, and dermabrasion. Although surgical excision might be used for treatment of other forms of porokeratosis, it is not advised in this case because of number of lesions and increase risk of scarring. Other forms of porokeratosis are: porokeratosis of Mibelli, punctate porokeratosis, linear, and Porokeratosis palmaris et plantaris disseminata.
Porokeratosis
Definition
• Clonal keratinocytic proliferation with characteristic clinical and pathologic appearance characterized by the cornoid lamella; different variants of porokeratosis recognized (porokeratosis of Mibelli, disseminated superficial actinic porokeratosis [DSAP], linear porokeratosis, porokeratosis palmaris et plantaris disseminate, punctuate porokeratosis)
Clinical features
Epidemiology
• Porokeratosis of Mibelli: children, usually male
• DSAP: favors white adults, generally females
• Linear porokeratosis: equal gender incidence; any age
• Porokeratosis palmaris et plantaris disseminata: typically male; any age
• Punctate porokeratosis: typically adults
Presentation
• Papulosquamous lesions characterized by cornoid lamellae: circumferential thin ridge of peripheral scale with central furrow likened to the Great Wall of China
• DSAP: numerous coalescent, generally few- millimeter to few-centimeter thin, glazed skin-colored to erythematous or brown plaques with peripheral cornoid lamella; distributed over sun-exposed areas of arms and legs, with less common facial involvement
• Linear porokeratosis: few-centimeter erythematous plaque in linear arrangement
• Porokeratosis of Mibelli: solitary larger plaque, often on extremities, arising in childhood and evolving in adulthood; sometimes history of antecedent trauma
• Punctate porokeratosis: numerous 1- to 3-mm hyperkeratotic plugs, classically on palms and soles
• Porokeratosis palmaris et plantaris disseminata: numerous 1- to 3-mm hyperkeratotic plugs on the palms and soles, later becoming generalized and sometimes affecting the mucosa
Prognosis and treatment
• Difficult to treat
• Risk for development of squamous cell carcinoma, risk associated with size and duration
• Therapeutic options include cryotherapy, topical 5-fluorouracil, imiquimod, chemical peels, photodynamic therapy, excision of larger lesions
Pathology
Histology
• Cornoid lamella: tilted compact column of parakeratosis arising from a focus of epidermal dysmaturation associated with invagination of the epidermis
• Keratinocyte vacuolation and deficient granular cell layer at base of lamella
• Patchy superficial perivascular chronic inflammation
• Solar elastosis in DSAP
• Check carefully for dysplastic changes
Immunopathology/special stains
• Not contributory
Main differential diagnosis
• Cornoid lamellae may be an incidental finding associated with normal skin and a variety of lesions including in situ and invasive squamous cell carcinoma, basal cell carcinoma, and actinic keratosis
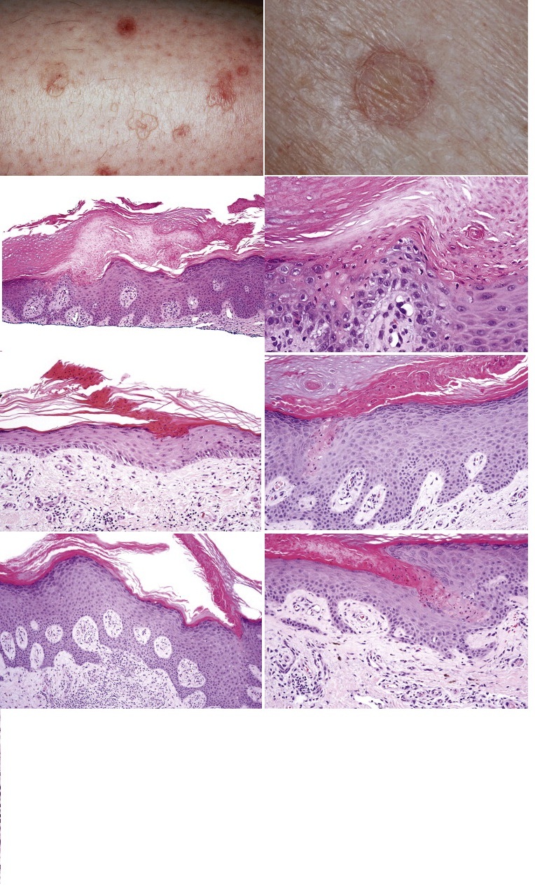
Fig 1 Disseminated superficial actinic porokeratosis. Multiple discrete, erythematous macules with a cornoid lamella.
Fig 2 Disseminated superficial actinic porokeratosis. Close-up view of a lesion showing erythematous, atrophic center and cornoid lamella along the perimeter.
Fig 3 Porokeratosis of Mibelli. Shaved biopsy specimen showing acanthosis, hyperkeratosis, and angulated, parakeratotic cornoid lamella.
Fig 4 Porokeratosis of Mibelli. At the base of the cornoid lamella, the superficial keratinocytes are often vacuolated and a granular cell layer is absent.
Fig 5 Disseminated superficial actinic porokeratosis. There is a well-developed cornoid lamella. Note the elastosis and superficial dermal chronic inflammation.
Fig 6 Porokeratosis. Another case illustrating the tilted cornoid lamella.
Fig 7 Porokeratosis. There is epidermal acanthosis, spongiosis, and a cornoid lamella.
Fig 8 Porokeratosis. The granular cell layer is absent, and there is marked dyskeratosis at the base of the cornoid lamella.

The cure rate of cryotherapy as a treatment for actinic keratoses is:
1 80%
2 85%
3 90%
4 95%
5 99%
99%
Cryotherapy is the most common treatment for AKs, with a cure rate of 98.8%.
Actinic Keratosis
Definition
• Precancerous lesion occurring on sun-exposed skin, associated with risk for squamous cell carcinoma; also known as solar or senile keratosis
Clinical features
Epidemiology
• Most commonly occurs in whites
• Male predominance
• Associated with fair skin (Fitzpatrick types I, II) and extensive sun exposure
Presentation
• Occurs on sun-exposed surfaces: scalp, face, ears, lower lips, dorsal hands, forearms
• Rough, scaly, erythematous macules and thin papules <1 cm in diameter
• Lesions may be easier to feel than to see
• Pigmented variant: flatter, less scale, mimics lentigo
Prognosis and treatment
• Up to 10% risk of evolving into squamous cell carcinoma in 10 years
• True risk probably higher because patients usually have multiple lesions
• Treatment: cryotherapy, topical chemotherapy (5-fluorouracil), topical immunotherapy (imiquimod), photodynamic therapy, chemical peels, laser surgery
Pathology
Histology
• Abnormal maturation, nuclear atypia and crowding, increased mitotic activity
• Often begins in basal layer but commonly affects upper epidermal layers
• Parakeratosis and diminished granular cell layer
• Solar elastosis
• Variable dermal inflammation: lymphocytes, plasma cells
• Histological variants:
• Hypertrophic: marked and often irregular acanthosis, alternating orthokeratosis (over uninvolved follicular ostia) and parakeratosis (overlying involved interfollicular epidermis)
• Atrophic: epidermal atrophy
• Acantholytic: acantholysis of keratinocytes
• Lichenoid: lichenoid infiltrate in upper dermis
• Proliferative: buds of atypical epithelium contiguous with epidermis and extending into dermis
• Pigmented: increased melanin in basal layer, less parakeratosis
• Clear cell (due to cytoplasmic glycogen)
• Epidermolytic (associated with epidermolytic hyperkeratosis)
• Associated with cutaneous horn
• May become full thickness (squamous cell carcinoma in situ, bowenoid actinic keratosis)
Immunopathology/special stains
• Pigmented actinic keratosis demonstrates normal density of S100-positive melanocytes along basal layer
Main differential diagnoses
• Squamous cell carcinoma (invasive and in situ)
• Lentigo maligna (pigmented actinic keratosis)
• Lichenoid keratosis
• Basal cell carcinoma can resemble proliferative actinic keratosis
Fig 1 Actinic keratosis. Erythematous, keratotic, thin papule on the dorsal hand.
Fig 2 Actinic keratosis. There is hyperkeratosis with parakeratosis and psoriasiform epidermal hyperplasia. Note the scattered, pleomorphic, and hyperchromatic nuclei.
Fig 3 Proliferative actinic keratosis. The atypical epithelium has a budding growth pattern. Note the parakeratotic tier.
Fig 4 Proliferative actinic keratosis. Adnexal involvement is characteristic.
Fig 5 Atrophic actinic keratosis. Irregular, hyperchromatic nuclei form a palisade along the basal epithelium. Sometimes immunohistochemistry is necessary to distinguish this lesion from lentigo maligna.
Fig 6 Clear cell actinic keratosis. Cytoplasmic vacuolation is due to glycogen accumulation. Focally, there is severe dysplasia.
Fig 7 Actinic keratosis. Scattered clear cells in this example mimic Paget’s disease.
(Courtesy of E Calonje, MD; St John’s Institute of Dermatology, London.)
Fig 8 Actinic keratosis. This is an acantholytic actinic keratosis with suprabasal cleft formation.
(Courtesy of E Calonje, MD; St John’s Institute of Dermatology, London.)
Fig 9 Actinic keratosis. This case is associated with focally acantholytic invasive squamous cell carcinoma.

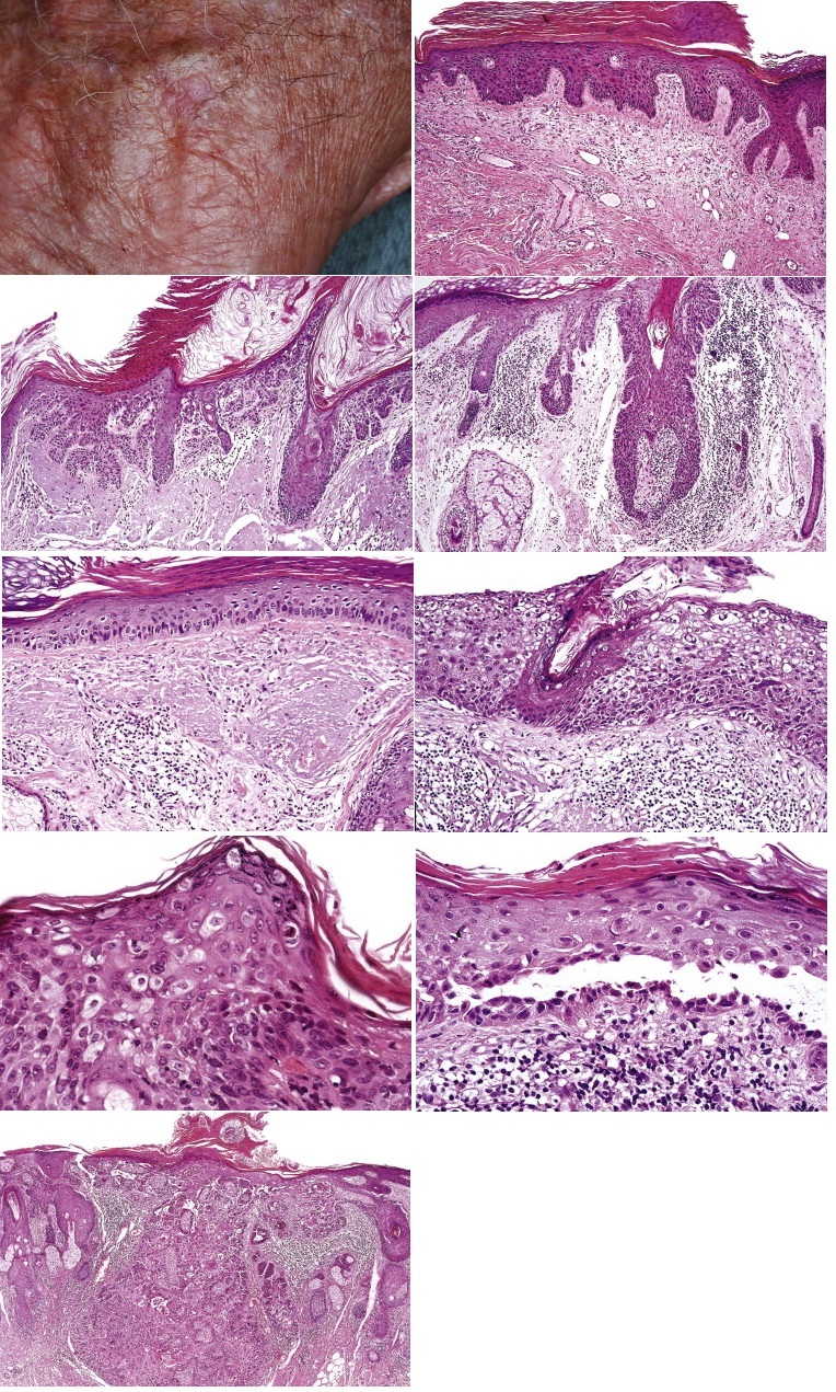
Sixty-year old, male patient that presents with a “stuck on”, waxy, hyperkeratotic and hyperpigmented plaque on his back. The most likely diagnosis is:
1 Actinic keratosis
2 SCC in situ
3 Angiosarcoma
4 Seborrheic keratosis
5 None of these answers are correct
Seborrheic keratosis
The diagnosis is SK. Notice the warty surface of the lesion with a “stuck on” appearance.
Seborrheic Keratosis
Definition
• Common, benign keratinocytic proliferation
Clinical features
Epidemiology
• Generally older adults
• Both genders
• All races, although more common among whites
Presentation
• Rough or waxy, variably colored (skin-colored, yellow, tan, brown, black), discrete papule or plaque
• Superficial nature of lesion confers a “stuck-on” appearance
• Horn pseudocysts visible
• Size ranges from a few millimeters to several centimeters
• Distributed commonly on the trunk, also extremities, sometimes face; spares palms, soles, and mucosae
• Eruption of many seborrheic keratoses within a short period of time may represent the sign of Leser-Trélat, a paraneoplastic phenomenon reflecting underlying malignancy (typically gastrointestinal)
• Dermatosis papulosa nigra: variant of numerous, small 1- to 4-mm, seborrheic keratoses; classically on the face, of darker-skinned individuals
• Verrucous keratosis: variant of seborrheic keratosis with markedly warty surface
Prognosis and treatment
• Benign neoplasm, although, very exceptionally, areas of evolution to in situ squamous …
Pathology
Histology
• Acanthosis to a uniform depth with overlying hyperorthokeratosis
• Flat base demonstrates the “string sign” (i.e., the bottom of the lesion conforms to a horizontal line parallel to the epidermal surface)
• Horn pseudocysts present (“pseudo” in the sense that they communicate directly with the surface)
• Hyperkeratotic variant: prominent hyperorthokeratosis with papillomatosis, in some cases forming a keratin horn
• Acanthotic variant: prominent and symmetrical thickening of the epidermis
• Reticulate variant: trabeculated tumor with thin anastamosing epithelial strands
• Pigmented variant: intralesional pigmentation present; if melanocytic proliferative component also seen, the term melanoacanthoma is often applied
• Verrucous keratosis: prominent verruciform, papillomatous architecture, but lacking koilocytic change
Immunopathology/special stains
• Not contributory
Main differential diagnoses
• Viral wart
• Squamous cell carcinoma
Fig 1 Seborrheic keratosis. Flat, waxy-surfaced, “stuck-on”–appearing, tan-brown, thin, discrete plaque with slight color variegation.
Fig 2 Pigmented seborrheic keratoses. This is a gray-brown, thick, keratotic, stuck-on plaque.
Fig 3 Acanthotic seborrheic keratosis. Note the basaloid cell population and multiple pseudohorn cysts.
Fig 4 Acanthotic seborrheic keratosis. The tumor is composed of a uniform population of small cells with round to oval vesicular nuclei.
Fig 5 Pigmented acanthotic seborrheic keratosis. This example contains abundant melanin, but dendritic melanocytes are not present.
Fig 6 Papillomatous seborrheic keratosis. Typical low-power view showing hyperkeratosis, very marked papillomatosis, and conspicuous pseudohorn cysts.
Fig 7 Papillomatous seborrheic keratosis. High-power view of pseudo horn pseudocysts.

Imiquimod is an immune response modifier that stimulates innate and cell mediated immune pathways. It induces all of the following cytokines EXCEPT:
1 IL-1
2 IL-4
3 IL-5
4 IL-6
5 IL-8
IL-4
Imiquimod induces the synthesis and release of cytokines such as interleukins 1, 5, 6, 8, 10, and 12, among others.

The mucin found in this lesion is produced by:
1 Fibroblasts
2 Keratinocyte
3 Merkel cells
4 Nail matrix
5 Osteoblast
Fibroblasts
Digital mucous cysts are pseudocysts found on the dorsal digits between the distal interphalangeal joint and the nail fold. The fibroblasts in digital mucous cysts produce large quantities of hyaluronic acid.
Digital Myxoid (Mucous) Cyst Definition • Benign pseudocyst classically seen on dorsal distal finger
Clinical features
Epidemiology
• Any age affected, although generally adults
• Unclear racial predilection
• Female predominance
Presentation
• Skin-colored to brown papule, nodule, or tumor
• Measures from 2 to 3 mm to >1 cm
• Surface translucent, may be thick walled
• Located over dorsal aspect of finger between distal interphalangeal joint and proximal nail fold, slightly more common on the radial side
• Middle or index finger of dominant hand most often affected, supporting possibility of traumatic etiology in some cases
• Occasional presentation in analogous location on dorsal toes
• Usually asymptomatic, but can cause discomfort
• May have osteoarthritis, osteophyte of associated joint
• Arises over weeks to months
• Cyst located in proximal nail fold may induce distal longitudinal grooving of the associated nail
• Transillumination can help distinguish cystic lesion from solid tumor
• Fine-needle aspiration yields thick, viscous, clear to yellowish fluid
Prognosis and treatment
• Benign lesion, with potential for recurrence if incompletely treated
• Topical corticosteroids with occlusion; physical compression measures are of variable benefit
• Surgical methods, including repeated aspirations, intralesional corticosteroid injection, curettage, cryotherapy, sclerotherapy, or surgical excision all used
• Possible benefit from treatment of any underlying osteophyte
Pathology
Histology
• Pseudocyst within the dermis surrounded by fibrous pseudocapsule with no epithelial lining
• Center composed of bluish myxoid material
• Stellate and spindled cells
• Overlying hyperkeratosis and acanthosis common
Immunopathology/special stains
• Mucin stains with colloidal iron or alcian blue
Main differential diagnosis
• None relevant
Fig 1 Digital myxoid cyst. Translucent, bluish, cystic papule located on the proximal nail fold. Note the subtle nail plate defect distal to the lesion.
Fig 2 Digital myxoid cyst. The dermis contains a mucin-filled cyst. Myxoid change is present in the surrounding dermis.
Fig 3 Digital myxoid cyst. The pseudocyst consists of a discrete intradermal collection of stromal mucin with scattered spindled cells. There is no epithelial lining.
DDX:
Dilated Pore of Winer
Definition
• Benign comedone-like epithelial proliferation arising at the follicular infundibulum
Clinical features
Epidemiology
• Growth of adulthood, usually fourth to sixth decades of life
• More common among whites
• Slight male predilection
Presentation
• Skin-colored pore, often with history of patient recurrently expressing cheesy discharge on manipulation
• 2 to 3 mm in size
• Central cystic invagination
• Commonly located on head and neck
Prognosis and treatment
• Benign lesion
• Surgical excision curative
Fig 1 Dilated pore of Winer. The lesion consists of a cystic follicular invagination and shows hyperplasia of the squamous epithelium at its base.
Fig 2 Dilated pore of Winer. There is budding of the epithelium along the sides and base of this lesion.
Epidermoid (Infundibular) Cyst
Definition
• Common, benign cutaneous cyst
Clinical features
Epidemiology
• Typically adults
• Both genders
• All races
Presentation
• Skin-colored, dome-shaped nodule with rubbery texture and overlying punctum
• Ranges in size from few millimeters up to several centimeters
• May be solitary or multiple (especially in the inherited form)
• Trunk (particularly back) most commonly affected, but may also occur on extremities and face
• Milia (small epidermoid cysts, <3 mm) commonly arise on the face
• May become rock-hard when they calcify, particularly on face and scrotum
• A feature of Gardner’s syndrome (polyposis coli, fibromatosis, jaw osteomas)
• Malodorous cheesy cystic contents can be expressed by patient
• Can become inflamed due to rupture and secondary infection
Prognosis and treatment
• Benign cyst
• Surgical excision if symptomatic (e.g., history of inflammation) or for cosmetic purposes
• Exceptionally may develop basal cell and squamous cell carcinoma
Pathology
Histology
• Dermal-based cyst often with extension into the underlying fat
• Variably contiguous with epidermis
• Cyst lined by epithelium a few layers thick showing epidermal differentiation
• Epithelial lining resembles epidermis and follicular infundibulum including a granular cell layer
• Central lamellar keratinization
• Cysts with hybrid features demonstrate areas of trichilemmal-type differentiation (hybrid cyst)
• Occasional areas of acanthosis or proliferation of the epithelium
• Some cysts demonstrate lining with epithelial verrucous architecture attributed to human papillomavirus infection (verrucous cyst)
• In Gardner’s syndrome, may see hybrid cyst combining epidermoid features with pilomatrixoma
Immunopathology/special stains
• Not contributory
Main differential diagnoses
• Trichilemmal (pilar) cyst
• Hybrid cyst
• Verrucous cyst
• Dilated pore of Winer
• Pilar sheath acanthoma
• Trichoadenoma
Fig 1 Epidermoid cyst. Firm, cystic nodule with visible punctum.
Fig 2 Epidermoid cyst. Scanning view of cyst showing central punctum.
Fig 3 Epidermoid cyst. High-power view showing epidermoid keratinization. There is a thin granular cell layer.
Pilar (Trichilemmal) Cyst
Definition
• Common, benign cutaneous cyst
Clinical features
Epidemiology
• Can be inherited in autosomal dominant fashion or sporadic
• Classically seen in middle-aged women
• May develop in young adulthood
• All races affected, commonly found in white population
• Up to one tenth of the population affected
Presentation
• Skin-colored, dome-shaped nodule with rubbery texture
• Range in size from 2 to 3 mm to up to 3 cm
• More frequently multiple (particularly in inherited form), may be solitary
• Scalp is most common site, but may be located elsewhere on head, neck; also occasionally on trunk, extremities
• Unlike epidermoid cyst, overlying punctum is absent
Prognosis and treatment
• Benign cyst, generally shells out at surgery
• Surgical excision if symptomatic or for cosmetic purposes
Pathology
Histology
• Dermal-based cyst sometimes with extension into underlying fat
• Cyst lined by epithelium a few layers thick showing trichilemmal differentiation (i.e., lacking a granular cell layer)
• Epithelial lining resembles isthmic follicular outer root sheath
• Central abrupt compact keratinization
• Cholesterol clefts and calcification
• Adjacent fibrosis and giant cell reaction to keratin in ruptured lesions
• Occasional cysts with hybrid features demonstrate areas of epidermal-type differentiation (hybrid cyst)
• Occasional areas of acanthosis or proliferation of the epithelium
Immunopathology/special stains
• Not contributory
Main differential diagnoses
• Epidermoid cyst
• Hybrid cyst
• Proliferating pilar tumor
Fig 1 Pilar cyst. Exceptionally large and exophytic example on the occipital scalp.
Fig 2 Pilar cyst. Scanning view showing a circumscribed cyst with a thin wall surrounding homogenous keratin. Note the stippled calcification.
Fig 3 Pilar cyst. High-power view showing large pale-staining cells undergoing abrupt keratinization in the absence of a granular cell layer.
Proliferating Pilar Tumor
Definition
• Squamous proliferation thought to be of folliculoisthmic origin
Clinical features
Epidemiology
• Tumor of adults, usually middle-aged
• More common among white population
• More frequent in women
• Trauma, inflammation postulated as risk factors for tumor development
• Isolated cases inherited in autosomal dominant fashion
• Majority of cases appear to arise from preexisting pilar cyst
Presentation
• Skin-colored to erythematous papule, nodule, or plaque
• Growth may be slow or rapid
• Surface ulceration, bleeding, crusting seen
• Scalp is favored site, although other locations (e.g., back and chest) affected
Prognosis and Treatment
• Spectrum of biologic behavior described, from wholly benign to low-grade malignant
• Small risk of metastasis in malignant variant
• Complete excision curative
Pathology
Histology
• Well-demarcated proliferation of squamous lobules and islands with trichilemmal differentiation, exhibiting glassy eosinophilic cytomorphology
• Areas of peripheral palisading observed
• Hyalinized basement membranes
• Clear cell change sometimes present
• Foreign-body reaction to keratin common
• Usually basal epithelial mitoses only
• Underlying pilar cyst sometimes evident
• Squamous eddies and horn pseudocysts seen
• Areas of calcification sometimes present
• Malignant potential may be suggested by large size, marked pleomorphism, widespread necrosis, numerous mitoses including atypical variants, and an infiltrative growth pattern
Immunopathology/special stains
• Not contributory
Main differential diagnoses
• Squamous cell carcinoma
• Trichilemmal carcinoma
Fig 1 Proliferating pilar tumor. Low-power view of a squamous proliferative lesion with widespread keratinization
Fig 2 Proliferating pilar tumor. Keratinization is pilar type. Note the thickened basement membrane at the top of the field.
Fig 3 Proliferating pilar tumor. Ground-glass epithelium merges with clear cell change.
Fig 4 Proliferating pilar tumor. Note the mitotic figure in the basal layer.
Fig 5 Proliferating pilar tumor. Focal calcification is a common feature.
Fig 6 Proliferating pilar tumor. Free keratinous debris has provoked a foreign body giant cell reaction.
Fig 7 Proliferating pilar tumor. Note that the transition from epithelium to keratin is abrupt and devoid of a granular cell layer.
Fig 8 Malignant proliferating pilar tumor. This example is associated with an infiltrating growth pattern. It arose within a prior pilar cyst.
(Courtesy of E Calonje, MD; St John’s Institute of Dermatology, London.)
Fig 9 Malignant proliferating pilar tumor. There is nuclear pleomorphism, hyperchromatism, and mitotic activity.
(Courtesy of E Calonje, MD; St John’s Institute of Dermatology, London.)
Steatocystoma
Definition
• Benign dermal-based cyst with associated sebaceous glands
Clinical features
Epidemiology
• May arise as a solitary lesion (steatocystoma simplex) or as multiple lesions (steatocystoma multiplex)
• Steatocystoma multiplex linked to defect in keratin 17, which is also mutated in pachyonychia congenita
• Familial form autosomal dominantly inherited
• Lesion usually arises in second and third decades of life
• No clear gender predilection
• No clear racial tendency
Presentation
• Skin-colored to translucent, smooth, 1- to 5-mm papule
• If lanced, clear fluid expressed
• Occurs in areas with sebaceous gland concentration, particularly the chest
• May exceptionally occur in conjunction with eruptive vellus hair cysts
Prognosis and treatment
• Sporadic and inherited forms benign, although lesions may rupture and incite inflammation and scarring
• Surgical excision, aspiration, and laser therapy performed
Pathology
Histology
• Dermal-based cystic lesion
• Lined by thin squamous epithelium
• Absent granular cell layer
• Mature sebaceous glands attached to wall
• Cyst lined by an eosinophilic cuticle
• Cyst lumen contains sebaceous material, keratin, and rare vellus hair fragments
Immunopathology/special stains
• Keratins 17 and 10 positive (see Eruptive Vellus Hair Cyst)
Main differential diagnoses
• Eruptive vellus hair cyst
• Epidermoid cyst
• Dermoid cyst
Fig 1 Steatocystoma. Scanning view showing a thin-walled empty cyst.
Fig 2 Steatocystoma. The stratified squamous epithelium has an inner, undulating hyaline cuticle.
Fig 3 Steatocystoma. The presence of a sebaceous gland adjacent to or in the cyst wall is a diagnostic feature.
Eruptive Vellus Hair Cyst
Definition
• Benign dermal-based cyst containing vellus hairs, and potentially associated with a variety of syndromes
Clinical features
Epidemiology
• Sporadic or familial
• Familial cases autosomal dominant
• Has been associated with multiple syndromes (pachyonychia congenita, anhidrotic ectodermal dysplasia, hidrotic ectodermal dysplasia)
• No clear gender or racial predilection
Presentation
• Usually presents with numerous, sometimes hundreds of lesions
• Commonly located on the chest, head, flexor surfaces; may resemble acne vulgaris
• Generally diagnosed in neonatal or infancy period in familial cases, childhood or adolescence in sporadic cases
• Skin-colored to erythematous, yellowish or brown, often translucent, dome-shaped, 2- to 3-mm papules
• Can be crusted or umbilicated with central punctum
• Asymptomatic
• Extraction of vellus hairs helpful diagnostically
Prognosis and treatment
• Benign lesion, with a quarter of lesions spontaneously resolving through spontaneous hair elimination
• Keratolytics and retinoids used
• Ablative laser therapy an option for numerous lesions
Pathology
Histology
• Dermal-based cyst, sometimes with an epidermal or follicular connection
• Cyst lined by thin, few-cell-layer–thick, squamous epithelium with a thin granular cell layer
• Cyst contains vellus hairs, often in cross-section, as well as lamellated keratinous material
• Cystic rupture may induce surrounding granulomatous inflammation
• Overlapping features with steatocystoma sometimes occurs
Immunopathology/special stains
• Keratin 17 positive, keratin 10 negative (see Steatocystoma)
Main differential diagnoses
• Epidermoid cyst
• Steatocystoma
Fig 1 Eruptive vellus hair cyst. Scanning view of a thin-walled intradermal cyst containing transversely sectioned vellus hairs.
Fig 2 Eruptive vellus hair cyst. High-power view of vellus hairs.
Hidrocystoma
Definition
• Benign, apocrine gland–derived epithelial-lined cyst
Clinical features
Epidemiology
• No gender predilection
• No definite racial preference
• Usually arises during adulthood
Presentation
• Translucent, sometimes bluish, dome-shaped, 2- to 3-mm to >1-cm, soft cystic papule or nodule
• Periorbital areas, particularly eyelids (Moll’s gland cyst) near medial canthus and cheek are characteristic
• Also seen in other areas on head, neck, trunk, or genitalia
• May be single or, less often, multiple
• Can enlarge during hot weather
Prognosis and treatment
• Benign cyst
• Electrosurgery or surgical excision sometimes used
Pathology
Histology
• Epithelial-lined cyst within the dermis
• Unilocular or multilocular
• Thin, flattened cyst wall, two cell layers thick
• Inner columnar type epithelium manifesting decapitation secretion and an outer myoepithelial layer
• Intraluminal secretion with occasional pigment
• Papillary projections sometimes evident (overlaps apocrine cystadenoma)
• Occasionally seen in nevus sebaceus
• Should not be confused with so-called eccrine hidrocystoma, which merely represents a cystic sweat duct (of either eccrine or apocrine derivation) (ductal hidrocystoma)
• Apocrine hidrocystoma is sometimes associated with papillary epithelial hyperplasia (apocrine papillary cystadenoma)
Immunopathology/special stains
• Myoepithelial layer is SMA and variably S100 protein positive
Main differential diagnosis
• Apocrine cystadenoma
Fig 1 Hidrocystoma. Multiple translucent to bluish cysts along and around the eyelid margin.
Fig 2 Apocrine hidrocystoma. Low-power view of an eyelid lesion. Apocrine glands are present at the deep margin on the right side.
Fig 3 Apocrine hidrocystoma. High-power view showing a double-layered epithelium. There is a hint of decapitation secretion.
Fig 4 Apocrine cystadenoma. Low-power view showing marked epithelial papillary proliferation arising within a simple hidrocystoma.
Fig 5 Apocrine cystadenoma. High-power view showing a double-layered epithelium and decapitation secretion.
Fig 6 Ductal hidrocystoma. There is a single-layered epithelium. This entity represents a cystic duct and can be of eccrine or apocrine derivation.
Cutaneous Ciliated Cyst
Definition
• Uncommon benign developmental (müllerian) cyst
Clinical features
Epidemiology
• Typically seen in girls and young women
• Usually noted postpubertal, in teens and twenties
Presentation
• Commonly located on the legs
• Skin-colored to erythematous nodule lacking an overlying punctum
• Measures from 2 to 3 mm to >1 cm
• Usually asymptomatic
Prognosis and treatment
• Benign lesion
• Surgical excision curative
Pathology
Histology
• Dermal-based cyst
• Fibrous wall
• Ciliated single- or multiple-layered cuboidal to columnar epithelium
• Papillary projections usually present
• Squamous metaplasia often seen
• Rare mucinous cells may be present
Immunopathology/special stains
• Not contributory
Main differential diagnosis
• Hidrocystoma
Fig 1 Cutaneous ciliated cyst. Low-power view.
Fig 2 Cutaneous ciliated cyst. The epithelium is multilayered, and there are conspicuous cilia.
Dermoid Cyst
Definition
• Benign, embryologically derived, squamous epithelium-lined, hamartomatous cyst
Clinical features
Epidemiology
• No gender predilection
• No definite racial preference
• Appears at or soon after birth
Presentation
• Skin-colored, rubbery, dome-shaped nodule measuring 2 to 3 mm to >1 cm
• Head and neck classic sites
• Located along embryonic suture closure lines of skull; frontolateral forehead around eyes common location
• May adhere to periosteum
• Similar cysts reported on testes, scrotum, and floor of mouth
Prognosis and treatment
• Benign cyst
• Connection to CNS possible
• Surgical excision curative
• Exceptionally, squamous cell carcinoma develops from the cyst wall
Pathology
Histology
• Squamous epithelial-lined cyst including a granular cell layer
• Sebaceous glands and other adnexal structures (including hair follicles and sweat glands) attached to cyst wall or within surrounding dermis
• Cyst may contain hair within lumen
Immunopathology/special stains
• Not contributory
Main differential diagnoses
• Epidermoid cyst
• Steatocystoma
• Cystic teratoma
Fig 1 Dermoid cyst. Scanning view of part of the cyst wall. Sebaceous glands are clearly visible. The cyst is lined by stratified squamous epithelium. Detached keratin is evident.
Fig 2 Dermoid cyst. High-power view showing a sebaceous gland and a pale-staining hair shaft.

What is the diagnosis?
1 Condyloma acuminata
2 Molloscum contagiosum
3 Pearly penile papules
4 Lichen planus
5 Psoriasis

Pearly penile papules
Pearly penile papules are benign, filiform papules that form along the corona of the penis. THey are often mistaken for a form of veneral disease. Histologically, they are similar to angiofibromas and show ectatic vessels surrounded by dense connective tissue.
Mohs micrographic surgery the treatment of choice for all of the following, except:
1 1 cm SCC located on the chest
2 2 cms BCC on lower extremities
3 1 cm BCC on the eyelid
4 Morpheaform BCC on the cheek
5 Recurrent BCC on the chest
1 cm SCC located on the chest
SCCs that measure 1cm on the chest are not an indication for Mohs micrographic surgery. Lesions must measure 2cms on the chest and extremities, or ?1cm for those located on the face to be considered for Mohs surgery. Due to the aggressive growth patter and subclinical spread of morpheaform and recurrent BCCs are always and indication for Mohs surgery.
Which of the following is an immunhistochemical marker for Merkel Cell Carcinoma?:
1 S-100
2 Vimentin
3 HMB-45
4 Neuron specific enolase
5 All of these answers are correct
Neuron specific enolase
Neuron specific enolase stains merkel cells. Vimentin stains melanocytic lesions, sarcomas and lymphomas. S-100 and HMB-45 stains melanocytic lesions, such as melanoma.
The patient is a 45 year old male complaining of red, chapped lower lip. Which of the following lasers is the most appropriate to treat this condition?
1 Pulsed Dye Laser
2 Nd:YAG laser
3 CO2 laser
4 Diode laser
5 Laser treatment is not an option
CO2 laser
The patient has actinic cheilitis. Notice the red, scaly lower lip, with erosions and fissures. The CO2 laser is currently a common treatment alternative for this condition.

Pseudorosettes in Merkel cell carcinoma:
1 Are seen in the trabecular variant
2 Are seen in the intermediate-cell type
3 Are seen in the small-cell type
4 All of these answers are correct
5 None of these answers are correct
Are seen in the trabecular variant
There are three histologic patterns of MCC: trabecular, intermediate-cell type, and small-cell type. The trabecular variant consists of interconnecting trabeculae separated by strands of connective tissue. Pseudorosettes may be seen in this type.
Merkel Cell Carcinoma
Definition
• Primary cutaneous neuroendocrine carcinoma
Clinical features
Epidemiology
• Older individuals
• Predilection for fair-complexioned skin, although darker skin types also occasionally affected
Presentation
• Skin-colored to erythematous or violaceous papule, nodule, or plaque
• Typically sun-exposed distribution
• Subset affects the extremities
• Ulceration not uncommon
• Clinically often misdiagnosed as basal cell carcinoma or squamous cell carcinoma
Prognosis and treatment
• Generally aggressive course
• Excision with wide margins
• Optimal therapy still being evaluated; radiation appears beneficial to some patients
• Sentinel lymph node biopsy may provide valuable information
Pathology
Histology
• Nodules and sheets of round blue cells occupy the dermis and may extend into fat
• Trabecular growth pattern occasionally seen
• Spindled cell variant
• Rare epidermotropism
• Malignant cytomorphology demonstrates “salt and pepper” chromatin pattern with conspicuous mitotic activity
• Hyperchromatic “oat-cell”–like variant
• Lymphovascular invasion common
• Very occasionally coexists with in situ or invasive squamous cell carcinoma, or rarely basal cell carcinoma, glandular differentiation, and sarcoma
Immunopathology/special stains
• Cytokeratin 20 positive (perinuclear dot pattern; positive in approximately 90% of cases)
• CAM5.2 positive
• Neurofilament, NSE positive
• Chromogranin, synaptophysin positive
• Cytokeratin 7 usually negative
• Thyroid transcription factor-1 negative
• S100 negative
• Leukocyte common antigen negative
Main differential diagnoses
• Metastatic neuroendocrine carcinoma (e.g., lung primary)
• Lymphoma, leukemia
• Small cell melanoma
Fig 1 Merkel cell carcinoma. Low-power view showing a small blue cell tumor.
Fig 2 Merkel cell carcinoma. High-power view showing the undifferentiated variant. Note the mitotic activity.
Fig 3 Merkel cell carcinoma. Trabecular variant showing “Indian file” growth pattern.
Fig 4 Metastatic Merkel cell carcinoma.
Fig 5 Merkel cell carcinoma. High-power view. The nuclear morphology, although uncommon, is virtually pathognomonic for this tumor.
Fig 6 Merkel cell carcinoma. This field shows spindled cell morphology.
Fig 7 Merkel cell carcinoma. Epidermotropism is uncommon and can result in confusion with melanoma.
Fig 8 Merkel cell carcinoma. This example shows extensive necrosis.
Fig 9 Merkel cell carcinoma. Low-power view showing admixed squamous cell and Merkel cell carcinoma.
Fig 10 Merkel cell carcinoma. This field shows undifferentiated and trabecular Merkel cell tumor with admixed squamous cell carcin

Which of the following is the most common initial site of metastasis from a primary BCC?
1 Lungs
2 Regional lymph nodes
3 Bone
4 Liver
5 Pleura
Regional lymph nodes
The metastatic potential of BCC is very low with rates ranging from 0.0028 to 0.1%. The head and neck region is the most frequent location of the primary tumor with regional lymph nodes being the most common site of metastasis. The lungs, bone, liver, and pleural are also potential sites of metastasis.
What is the mean time-frame for development of Stewart-Treves Syndrome?
1 Less than 1 year
2 1 year
3 5 years
4 10 years
5 >20 years
>20 years
Stewart-Treves syndrome refers to an angiosarcoma arising from chronic lymphedema. It typically occurs as a complication of long-lasting lymphedema of the arm after mastectomy and/or radiotherapy for breast cancer. It is a very late complication of disease, usually developing several years later. The mean time-frame for development of Stewart-Treves Syndrome in the literature is 23 years (4-40 years).

Mutations in which gene would likely be found in the neoplastic cells of this lesion?
1 PATCH
2 p53
3 Fumarate hydratase
4 CREBBP
5 p63

p53
Squamous cell carcinoma is the second most common cancer of the skin. Mutations in the tumor suppressor p16 and p53 are commonly found in SCC’s. Normally, UV damage upregulates p53 thereby delaying cell cycle progression. DNA damage can then be repaired or the cell could undergo apoptosis. In squamous cell carcinoma, p53 exhibits loss of heterozygosity due to C to T or CC to TT mutations.

All of the following cytokines have demonstrated therapeutic benefit in the treatment of melanoma EXCEPT:
1 IFN-alpha
2 IL-2
3 TNF-alpha
4 IL-10
5 GM-CSF
GM-CSF
IFN-alpha, IL-2, TNF-alpha, and IL-10 have all been demonstrated to have some therapeutic benefit in the treatment of melanoma. IL-10 has been used to treat inflammatory disorders such as atopic dermatitis and psoriasis.
What is the most likely diagnosis?
1 Acquired digital fibrokeratoma
2 Supernumery digit
3 Verruca
4 Infantile digital fibroma
5 Acrochordon

Acquired digital fibrokeratoma
The condition shown is an acquired digital fibrokeratoma. It is a pedunculated, acral lesion with collarette which is defined by the lack of nernve twigs and bone on pathologic exam.
Acquired Digital Fibrokeratoma
Definition
• Benign hamartomatous lesion of the digits
Clinical features
Epidemiology
• Acquired lesion, sometimes history of trauma
• Middle-aged adults
• Predilection for males
• No racial predilection
Presentation
• Skin-colored papule or nodule, may be variably dome-shaped or with prominent verruciform projection resembling a cutaneous horn
• Measures from a few millimeters to over one centimeter in size
• Surrounding hyperkeratotic collarette at the base of the lesion is characteristic
• Usually asymptomatic, but patients may complain of pain, bleeding, catching on clothing, or appearance
• Classically located on fingers or toes
Prognosis and treatment
• Benign entity, although discomfort or nuisance may prompt treatment
• Excision curative, little risk of recurrence
Pathology
Histology
• Polypoid skin proliferation composed of variably hyperplastic epidermis surrounding a fibrovascular core
• Orthohyperkeratosis, irregular acanthosis common
• Dermal collagen bundles often vertically oriented
• Fibroblasts, blood vessels, and elastic tissue
• Lacks large nerves or cartilage
Immunopathology/special stains
• Not contributory
Main differential diagnoses
• Supernumerary digit
• Periungual fibroma (Koenen tumor)
Fig 1 Acquired digital fibrokeratoma. There is massive hyperkeratosis and psoriasiform epidermal hyperplasia overlying a fibrovascular stroma.
Fig 2 Acquired digital fibrokeratoma. High-power view of core of lesion.
Fig 3 Acquired digital fibrokeratoma. In this field from a different example, the vertically orientated collagen bundles are conspicuous.

Which one of the following malignancies is associated with HPV infection?
1 Verrucous carcinoma
2 Metastatic melanoma
3 Basal cell carcinoma
4 Sebaceous carcinoma
5 Atypical fibroxanthoma

Verrucous carcinoma
Verrucous carcinomas are low-grade carcinomas which are slow-growing and metastasize very late in the course. The presence of HPV has been demonstrated in cases both by electron microscopy and DNA hybridization.
Verrucous Carcinoma
Definition
• Well-differentiated variant of squamous cell carcinoma that in the early stages may be confused with a viral wart
Clinical features
Epidemiology
• Most commonly occurs in whites
• Cutaneous, anogenital, and oral variants
• Cutaneous variant seen in sixth to seventh decade
• Anogenital variant occurs in slightly younger patients
• Risk factors:
• Cutaneous: chronic inflammation, scarring, chronic infection
• Anogential: human papilloma virus infection
• Oral: alcohol, smoking
Presentation
• Cutaneous variant:
• Occurs on plantar surface of foot most commonly (carcinoma cuniculatum)
• Also described in nail bed, fingers, trunk, face
• Verrucous, hyperkeratotic plaque/nodule
• Sinus tracts
• May erode into bone
Prognosis and treatment
• Locally aggressive; erodes into soft tissue and bone
• Cutaneous variant only exceptionally is associated with metastasis (lymph node and cutaneous)
• Perianal and anal lesions associated with high morbidity; 70% local recurrence and 20% to 30% mortality
• Treatment: surgical excision
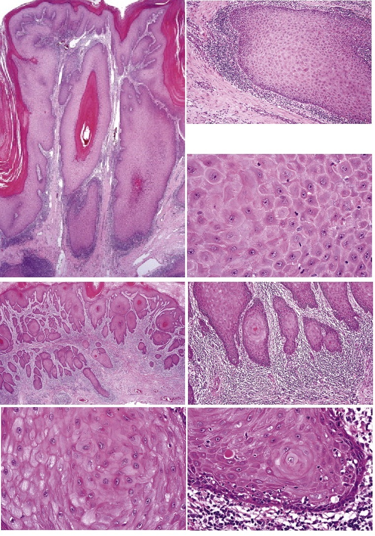
Pathology
Histology
• Lobules of well-differentiated squamous epithelium arising from epidermis
• Superficial component is papillomatous with hyperkeratosis
• Lobules push deeply into dermis and subcutaneous fat with blunt borders (not infiltrative)
• Prominent keratinization
• Minimal cytological pleomorphism, mitotic activity
• Intraepithelial microabscess formation
• Dense chronic inflammation
Immunopathology/special stains
• Not contributory
Main differential diagnoses
• Verruca vulgaris
• Keratoacanthoma
• Conventional squamous cell carcinoma
Fig 1 Verrucous carcinoma. Verrucous plaque with multifocal ulcers on the sole of an elderly man.
(Courtesy of J Nunley, MD; Virginia Commonwealth University, Richmond.)
Fig 2 Verrucous carcinoma. Scanning view showing hyperkeratosis and deeply penetrating epithelial processes with characteristic blunt lower borders.
Fig 3 Verrucous carcinoma. Note that this tumor does not have an infiltrating growth pattern.
Fig 4 Verrucous carcinoma. The epithelium is differentiated. Mitotic activity is very low and typically restricted to the basal layer.
Fig 5 Verrucous carcinoma. Scanning view showing islands of well-differentiated epithelium in the dermis. The tumor has a pushing rather than infiltrating lower border.
Fig 6 Verrucous carcinoma. The tumor islands are composed of epithelium with a ground-glass appearance.
Fig 7 Verrucous carcinoma. High-power view. Note the absence of pleomorphism.
Fig 8 Verrucous carcinoma. The tumor islands are sharply delineated.
Copyright © 2013 Elsevier Inc. All rights reserved. Read our Terms and Conditions of Use and our Privacy Policy.
For problems or sugges

Keratoacanthomas have been linked etiologically to:
1 Ultraviolet exposure
2 Human papilloma virus
3 Chemical carcinogens such as tar and pitch
4 Smoking
5 All of these answers are correct
All of these answers are correct
The origin of KAs has not been established. Ultraviolet exposure, exposure to chemical carcinogens such as tar and pitch, as well as smoking, and a viral etiology, specifically the human papilloma virus, have all been proposed as etiologic factors.
Keratoacanthoma
Definition
• Rapidly growing tumor developing on sun-exposed skin with potential to regress; classification controversial, probable variant of squamous cell carcinoma
Epidemiology
• Older males most commonly
• Sun-exposed skin
• Similar risk factors to squamous cell carcinoma
• Variants with multiple lesions
• Fergusson-Smith syndrome
– Autosomal dominant
– Scottish ancestry
– More common in men
– Younger patients
– Multiple lesions (100s) sun-exposed and sun-protected sites
– Lower likelihood of involution
• Grzybowski syndrome
– No gender predilection
– Multiple eruptive lesions (100s to 1000s)
– Sun-exposed sites or generalized
– May involve mucous membranes
• Muir-Torre syndrome
Presentation
• Solitary or multiple lesions; solitary more common
• Cup-shaped, rapidly growing lesion on sun-exposed site
• Keratin core with raised, erythematous border
• 1 to 2 cm in diameter
• Giant keratoacanthoma: >3 cm diameter
• Involutes over several weeks, leaving scar
• Typical lesion life cycle is 5 to 6 months
Prognosis and treatment
• Overall good prognosis
• Potential to regress without treatment
• Rare lesions reported to metastasize
• Treatment: surgical excision, intralesional methotrexate; systemic retinoids in patients with multiple lesions
Pathology
Histology
• Symmetrical, cup-shaped, endo-/exophytic tumor with collarette and central keratin plug
• Well-differentiated squamous epithelium with glassy, pale cytoplasm
• Mitotic activity low and generally basal
• Neutrophilic microabscesses in tumor epithelium may be present
• Entrapped elastic fibers in center of lesion sometimes evident
• Regressing lesions demonstrate flattening of epithelium, loss of keratin plug; dermal, foreign-body, giant cell reaction often present
Immunopathology/special stains
• Not contributory
Main differential diagnoses
• Squamous cell carcinoma with keratoacanthoma-like features (often a very difficult differential diagnosis)
• When in doubt, treat as squamous cell carcinoma
Fig 1 Keratoacanthoma. Rapidly growing, dome-shaped, keratotic nodule within the eyebrow.
Fig 2 Keratoacanthoma. Dome-shaped pink nodule with keratotic center on the chin.
(From the collection of the late NP Smith, MD; the Institute of Pathology, London.)
Fig 3 Keratoacanthoma. Scanning view showing lateral collarette and characteristic cup-shaped squamous proliferation with keratinous plug.
Fig 4 Keratoacanthoma. High-power view showing well-differentiated “ground-glass” cytoplasm.
Fig 5 Keratoacanthoma. Lower border of the lesion showing a lymphohistiocytic infiltrate.
Fig 6 Keratoacanthoma. Intraepithelial neutrophil microabscesses are common in this tumor.
Fig 7 Regressing keratoacanthoma. The epithelial proliferation is lost. Note the flat lower border characteristic of regression.
Fig 8 Regressing keratoacanthoma. Higher-power view of the edge of the lesion.
Fig 9 Regressing keratoacanthoma. The dermis is scarred, and there is a foreign-body reaction to keratin.

A patient with a innumerable disseminated keratoacanthomas, including lesions on the larynx and oral mucosa:
1 Is unlikely to have palmoplantar involvement
2 Likely has an underlying immune deficiency
3 Is at high risk for myelodysplasia
4 Likely inherited their condition in an autosomal dominant manner
5 Likely developed them during adulthood

Likely developed them during adulthood
This patient has the Grzybowski type of keratoacanthomas. Typically diagnosed in adulthood, these patients have the sudden appearance of hundreds of small lesions in a disseminated fashion. The lesions can be found anywhere on the body including palms, soles, larynx, and oral mucosa.
What is the most common location of oral SCC?
1 Soft palate
2 Buccal mucosa
3 Gingiva
4 Dorsal tongue
5 Lateral tongue
Lateral tongue
Squamous cell carcinomas are the most common carcinoma of the oral cavity. The most common locations for this tumor are the lateral and ventral surfaces of the tongue and the floor of the mouth.

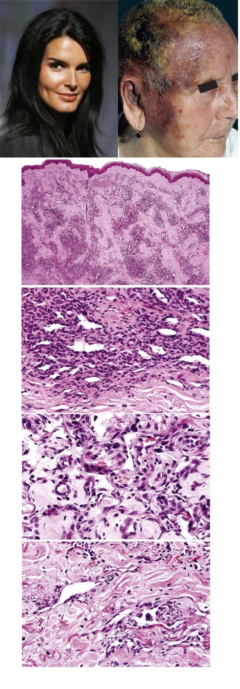
All of the following statements are true regarding angiosarcomas EXCEPT:
1 They occur more commonly in Caucasians than in non-Caucasians
2 Men are more often affected than women
3 They are rarely symptomatic
4 Radiation is usually employed after surgical excision
5 Cervical lymph nodes are a common site of metastases
They are rarely symptomatic
Angiosarcomas are very rare, aggressive vascular tumors. They occur most commonly in the head and neck region of white, elderly individuals. Men are more commonly diagnosed with this neoplasm. The lesion initially arises as a painless, purple macule or plaque on the scalp or face. Later on it becomes an elevated bluish or purple nodule that may ulcerate. Common symptoms include bleeding, edema, and ultimately pain. Cervical lymph node and hematogenous metastases commonly occur. Wide surgical excision is the treatment of choice, with radiation therapy usually employed after surgical excision.
Cutaneous Angiosarcoma
Definition
• A malignant vascular neoplasm with a very poor prognosis
Clinical features
Epidemiology
• Different variants:
• Angiosarcoma in the elderly
• Lymphedema-associated angiosarcoma occurring particularly in women postmastectomy and axillary node dissection: Stewart-Treves syndrome (represents vast majority of cases but can also occur in patients with lymphedema from other causes); typically develops many years after surgery
• Postradiation: typically occurs years after radiation therapy
• Visceral angiosarcoma may present in the skin
• Generally older patients, although depends on subtype
Presentation
• Angiosarcoma in the elderly: presents on the head and neck with red or purple nodules, and plaques often associated with an ill-defined macular component; margin of the tumor is very difficult to identify both clinically and histologically
• Lymphedema associated: purple or reddish nodules in a background of lymphedema
• Postirradiation: very rare, with variable period following radiotherapy before development of lesions (2 to many years following radiation)
• Tumors typically ulcerate, crust, and sometimes bleed (can prove fatal) and thus are a major problem
Prognosis and treatment
• Very high incidence of recurrence despite therapy (excision, radiation, chemotherapy)
• Metastases, particularly lymph nodes and lung
• Very poor prognosis (5-year survival less than 20%)
Pathology
Histology
• Irregular vascular channels, lined by hyperchromatic, obviously atypical endothelium
• Endothelial multilayering
• Mitotic activity including atypical forms
• Atypical vessels dissecting between collagen bundles; this can be deceptively subtle, and easily missed on frozen section, particularly when assessing margins
• Solid areas of undifferentiated tumor cells are often present
• Necrosis
• Chronic inflammation
• Spindled cell variant
Immunopathology/special stains
• Positive for CD31, CD34, and factor VIII antigens
• Human herpesvirus–8 negative
Main differential diagnoses
• Masson’s tumor
• Melanoma and carcinoma (when solid areas predominate)
• Atypical postradiation vascular lesion of the breast
• Kaposi’s sarcoma
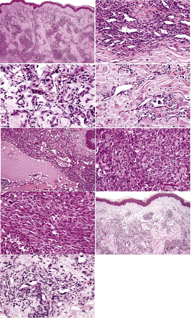
Fig 1 Cutaneous angiosarcoma. Low-power view showing an obviously vasoformative dermal tumor.
Fig 2 Cutaneous angiosarcoma. The blood vessels are lined by atypical cells with hyperchromatic nuclei. There is a background of undifferentiated spindled tumor cells.
Fig 3 Cutaneous angiosarcoma. High-power view from another patient showing gross endothelial cell pleomorphism.
Fig 4 Cutaneous angiosarcoma. This view shows dissection of collagen.

The most common location for primary mucinous carcinoma is:
1 neck
2 eyelid
3 areola
4 scrotum
5 nose
eyelid
Mucinous carcinoma presents as a slowly growing, asymptomatic, round, erythematous nodule on the head and neck. Forty percent of cases occur on the eyelid. Histologically it is characterized by the presence of large areas of mucin (âsea of mucous) with small islands of basophilic epithelial cells. Primary mucinous carcinoma of the skin has an indolent course. Local recurrence occurs in 1/3 of patients following excision. The rate of metastasis is low (9.6%).
Primary cutaneous mucinous carcinoma of the eyelid, a rare pathologic entity, is an adenocarcinoma of the eccrine glands. Though it has low metastatic potential, it does have a significant recurrence rate. We present the occurrence, clinical and histological features, and management of this tumor in a 62-year-old male who presented with a recurrent, firm, nodular left lower lid lesion. He underwent excision with a 5 mm margin and the defect was repaired with a Mustarde’s cheek rotation flap. A full oncological screening, including whole-body Positron Emission Tomography scan, excluded the presence of primary mucinous carcinoma elsewhere and any metastatic spread. This case underscores the importance of considering this tumor in recalcitrant eyelid lesions and highlights the pathology of this tumor.
Keywords: Eyelid, primary mucinous adenocarcinoma
Primary cutaneous mucinous carcinoma (MC) of the eyelid is an adenocarcinoma of the eccrine glands. It is a rare tumor with indolent growth.[1] About 120 cases have been reported in literature so far, mostly as case reports.[2] We report a case of primary MC of the eyelid and present a brief review of literature on its pathology and treatment options.
Discussion
First described by Lenox et al.,[3] in 1951, primary mucinous carcinoma of the skin (MCS) is a rare subtype of sweat gland tumor. While some debate exists as to the apocrine or eccrine origins of this tumor, most authors favor eccrine differentiation based on evidence obtained from immunohistochemical studies and electron microscopic ultra structural analysis.[4] MC most commonly arises in the head or neck, with the eyelid being the most common site. Men are more affected than women in a 2:1 ratio and it tends to occur in more elderly individuals (average age 62 years, range 34-84 years).[5]
Primary mucinous carcinoma of the skin typically has an indolent course. Local recurrence occurs frequently (29.4%) following excision, but the rate of metastasis is low (9.6%) and most metastases are to regional lymph nodes.[2,5,6] Primary MC has distinctive histochemical and ultrastructural features. The tumor is composed of small, irregular clusters of tumor cells around a ductal lumen in mucinous stroma. The tumor cells have a centrally placed, cuboidal nucleus and eosinophilic cytoplasm with little mitosis. Mucin production is consistent with retained cellular function and an indication that the tumor is well-differentiated. Additionally, mucinous carcinomas are typically avascular, a factor that helps explain their low rate of metastasis.[4] The mucin is diastase-resistant, periodic acid Schiff-positive, hyaluronidase-resistant and alcian blue-positive (pH 2.5). This histochemical profile is consistent with the presence of a non-sulfated mucoprotein, most likely sialomucin. Indeed, in the largest series on the subject described by Kazakov et al., authors conclude that primary cutaneous MCs span a morphologic spectrum compatible with their mammary counterparts.[7] It is recognized that distinguishing primary cutaneous adnexal neoplasms from metastatic carcinomas can be difficult and hence organ-specific immunostaining profiles using multiple markers can be used with high sensitivity, specificity, and positive predictive value in detecting primary adenocarcinomas.[8] Although multiple markers may help to differentiate primary MC from metastatic adenocarcinomas, histologic and immunohistochemical findings of the two forms tend to overlap, and therefore, a careful workup to rule out metastatic tumors is necessary in all cases of primary cutaneous MC. To this end an extensive search for other possible primary site was done with relevant imaging procedures.
Treatment for primary MC of the skin is wide local excision and since there is a significant risk of local recurrence, it has been recommended that the excision be done with at least 1 cm margins.[1,9] Some authors have suggested Moh’s micrographic technique as an alternative to wide local excision.[2] It is also recognized that these tumors have a locally invasive natural history and there is a high risk of local recurrence despite Moh’s surgery.[9,10] In our case as the lower eyelid was involved into entirety, such wide margins could not be possible. Nevertheless, the 5 mm margin we could achieve was sufficient to have clear lateral margins on histopathology. Opinion is divided over the use of adjuvant radiotherapy with some favoring it,[11] while others not favoring it.[12] We have scheduled the patient for adjuvant external beam radiotherapy as the deep margin was positive for tumor deposit.
This case brings forth a rare skin adnexal tumor involving the lower eyelid. Surgeons and ophthalmologists should be aware of this tumor in the periocular region and should consider these carcinomas in the differential diagnosis of cystic/solid eyelid lesions even though they appear benign on clinical course.
