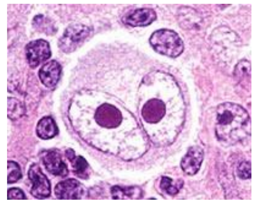
name these cell types - in which condition is it found

REED-STERNBERG CELL = abnormal germinal centre B cell
EOSINOPHILS (pink-staining cytoplasm) - attracted by malignant cells
Found in HODGKIN’S LYMPHOMA
what are lymphomas and what are the main types
Lymphoma = cancer developing from lymphocytes, more often B cells
name the major risk factor for Hodkin’s lymphoma
Epstein-Barr Virus infection - infects lymphocytes
describe the presentation of Hodgkin’s lymphoma