Seborrheic Keratosis- Mutation
FGFR3, PIK3CA

Parakeratosis Ptychotropica
Epidermal Nevi- Mutation
Bilateral-Name
Syndrome
Other Syndromes with Epidermal Nevi
FGFR, PIK3CA, HRAS>NRAS>KRAS
Ichythosis Hysterix
Epidermal Nevus Syndrome (Neuro and MSK abnormal)
CLOVES, Proteus, PTEN hamartoma syndrome
Name that Path Finding? Syndrome? Mutation?

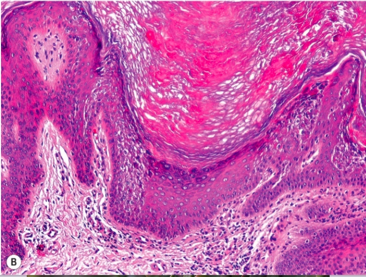
Path Finding: epidermal hyperplasia with prominent compact hyperkeratosis associated with granular and vacuolar degeneration of keratinocytes in the spinous and granular layers (epidermolytic hyperkeratosis).
Diagnosis: Epidermolytic Hyperkeratosis within Epidermal Nevi
Mutation Keratin 1 and 10 (mosaic)
When germline mutation: epidermolytic ichtyosis
Diagnosis?

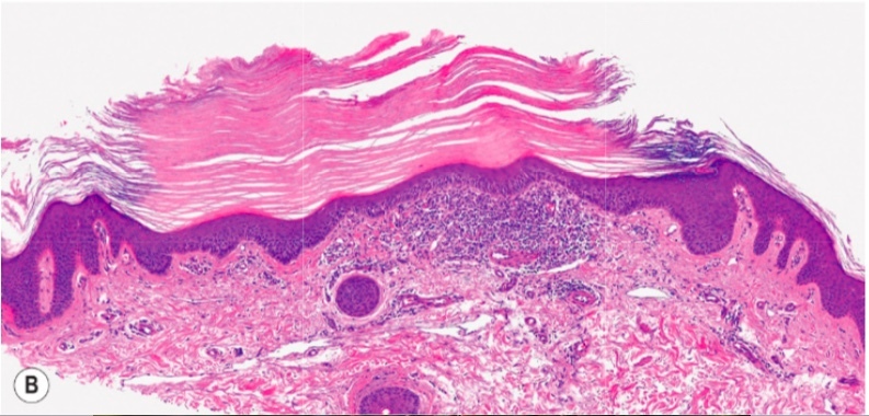
Flegel disease (hyperkeratosis lenticularis perstans)
AD
Characteristic absent lamellar granules
Has been associated with endocrine disorders

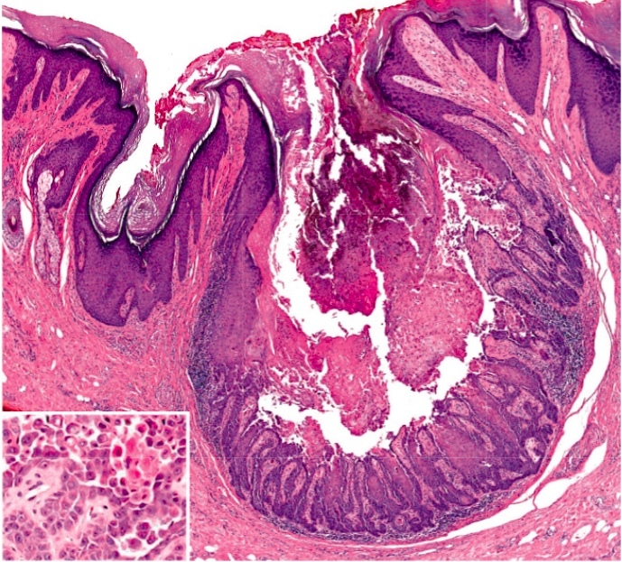
Warty Dyskeratoma
M>F
Usually on the head and neck!!
AK pathogenesis
UVB
thymidine dimers (C-> T, CC-> TT)
p53 mutations

Erythroplasia of Querat
SCCis
High Risk HPV associated
SCC Met Risk Factors
> 2 cm
Breslow > 2mm
Poorly differentiated
Lip, Ear
Immunosuppresion (CLL), Marjolins
Medications associated with SCC
vemuRAFenib (BRAF)
voriconazole
MTX, etanercept
KA syndromes?
Ferguson–Smith syndrome is an autosomal dominant condition (25-30 yo at onset) due to mutations in TGFBR1 which encodes TGF-β receptor type 1.
Recurrent crops with spontaneous resolution
Grzybowski type (older 40-60) present as thousands of papules resembling milia or early eruptive xanthomas.
develop rapidly and may slowly resolve
ectropion, prominent oral involvement, mask-like facies.
Syndromes with BCCs
Gorlin
Bezex-Dupre-Christol
Rombo
Brooke-Spiegler
XP
Schoph-Schultz-Passarge
Multiple Epidermoid Cyst association
Gardner Syndrome (Familial Adenomatous Polyposis)- can have pilomatrical differentiation

Dermoid Cyst
Also has shark tooth lining (, but +granular layer)
Normal Adnexal Structures in cyst lining
Infants; Lateral Eyebrow
Blue Nevus Mutations
GNAQ, GNA11
Epithelioid Blue Nevus

Carney Complex

Baloon Nevus
Hint: Look for the conventional nevus cells within the lesion
Caused by melanosome degeneration
Spitz Mutation
Stains
HRAS
S100A6, S100, Melan-A, p16+ (vs atypical spitz where lost)
FISH with loss of 9p21 (loci for p16, CDKN2a)
Atypical Spitzoid Nevus Mutation
BAP-1 (BAPoma)
Also have BRAF mutations (in contrast to spitz nevi)
Deep Penetrating Nevus vs Cellular Blue
DPN
More likely to have junctional component
superficial ordinary nevus nests
pigmented within the melanocytes
nuclei: small smudged hyperchromatic, no nucleoli
(No GNAQ/GNA11 mutation)
Cellular Blue Nevus
epithelioid
pigment prominent in melanophages
vesicular nucleoli with prominent nucleolis
Congential Nevus
Mutation
Size Cut Offs
Risk of MM with Large
NRAS
< 1.5 cm, 1.5-19.9, >20
2-3%
Common Nevus: Mutation
BRAF
Desmoplastic melanoma stains
Negative Melan-A, HMB-45
Positive S-100, SOX-10
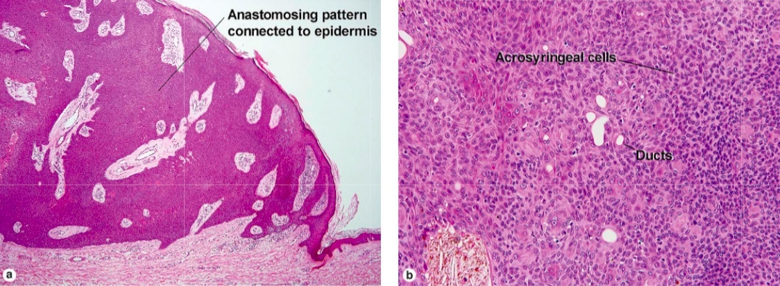
Diagnosis?
Stains?

Poroma
CEA, EMA, and PAS