Urine sodium with prerenal azotemia? low or high?
LOW!
Whats a Uwave on EKG? When would u see this? 2 common causes & the acid base disorder they are associated with?
Uwave is the additional wave after the flattened Twave seen w/HYPOkalemia.
2common causes: laxative abuse = metabolic acidosis & vomiting or NG suction = metabolic alkalosis
IgA Nephropathy whats another name for this? sx?
aka Berger Disease sx: painless recurrent hematuria, recent viral respiratory infection, Proteinuria
Polyarteritis Nodosa(PAN) initial test? dx?
initial: ESR for inflammation markers, Hepatitis B & C(associated with 30% of PAN) dx: Bx of sural nerve or the kidney, angiography showing “beading”
RTA type 4
whats the defect? cause?
tx?
defect in aldosterone deficiency or RESISTANCE – hypoaldosteronism, ACE/ARB, urinary tract obstruction, heparin
TX: replace aldo if needed, Nabicarb supp or K wasting diuretics
Clinical indications for emergent dialysis?
AEIOU = acidosis, electrolyte/hyperkalemia specifically, ingestion of toxins, Overload volume, Uremic symptoms/encephalopathy
4 common causes of SIADH
any problems with CNS, any lung disease, cancer, medications(sulfonylureas, SSRIs, carbamazepine)
Polyarteritis Nodosa(PAN) tx?
tx: cyclophosphamide & steroids
Slight elevations of Cr above normal(1.5-2.5) means a loss of _______% of renal function at a minimum.
60-70%
Pt is Hyperkalemic with ECG changes(peaked Twaves &/or wide QRS)…. what do u give & why?
Ca-gluconate = stablize cardiac membranes & prevent arrhythmias
B-ag, insulin w/glucose & Na-bicarb = temporary treatment to move K into cells
Loop diuretics, dialysis or Kayexalte = removes K from body
Evaluation of Hyponatremia:
Serum Na <290, patient is hypervolemic with a UNa<20

What can you do to prevent contrast induced renal failure?
Pt who can still get contrast with renal failure will have a Cr between 1.5-2.5. Give NS + N-acetylcysteine + bicarb
3 common causes of hypervolemic hyponatremia? tx?
congestive heart failure(CHF), nephrotic syndrome, cirrhosis tx: treat underlying cause
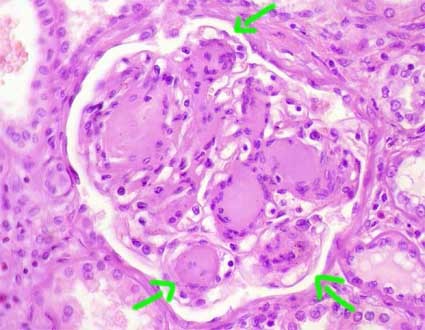
Whats this?

Kimmelstiel-Wilson lesion = seen w/diabetic nephropathy – BM thicking due to non-enzymatic glycosylation causing hypoperfusion and loss of albumin
Churg-Strauss Syndrome best initial test? dx? tx?
Best initial test: CBC for eosinophilia count, MPO-ANCA dx: bx tx: Glucocorticoids, if no response add cyclophosphamide
What is Calciphylaxis?
type of extraskeletal calcification = calcification of blood vessels and skin vessels clotting and necrosis. See with ESRD, hyperparathyroidism, milk-alkali syndrome tx by increasing dialysis and normalizing Ca lvls
Hypomagnesia always presents with hypo—- & cardiac arrhythmias.
hypocalcemia
How do you treat rhabdomyolysis?
Bolus NS, mannitol diuresis(decrease contact time of myoblin with tubule) & Alkalinization of urine to help precipitate myoglobin + EKG(hyperkalemia induced arrhythmia)
Why do you get elevation of BUN with prerenal azotemia? (i want mechanism)
low volume = increased ADH –> ADH increases urea transport activity =D
Henoch-Schonlein Purpura sx?
What type of casts would you see with Acute tubular necrosis(ATN)?
“muddy brown” or granular
What is the mechanism of contrast induced renal failure?
Contrast is directly toxic to the kidney tubule and causes vasoconstriction of the afferent arteriole. ==> decreased perfusion = rapid increase in Cr & decreased in urine Na.
What is associated with Focal Segmental Glomerulonephritis(FSGN)?
HIV, heroine use, more common in african americans
*scarring of the podocytes w/effacement causing decreased filtration
Causes of non anion gap metabolic acidosis: HARDASS
Hyperalimentation
Addisons disease
RTA- kidneys not removing acid properly
Diarrhea - loss of bicarb
Acetazolamide - loss of bicarb
Spironolactone
Saline infusion - elevated Cl causes Cl & bicarb to be eliminated in the urine