Nerve Tissue Flashcards

(6 cards)

1
Q
A

Sensory Ganglia

LM Spinal Ganglia

How well did you know this?
1
Not at all
2
3
4
5
Perfectly
2
Q
A

Sensory Ganglia

How well did you know this?
1
Not at all
2
3
4
5
Perfectly
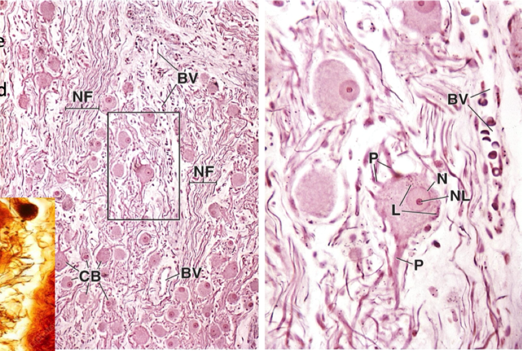
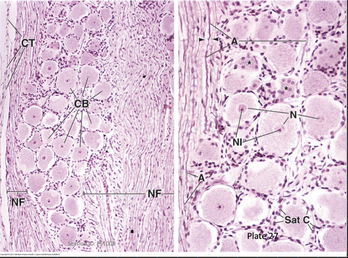
3
Q
A

Sensory Ganglia

  • centrally located cell bodies
  • Large pale staining central nuclei
  • no synaptic connections
  • groups of pseudo-unipolar cell bodies alternating with thick fascicles of nerve fibers(axons)
How well did you know this?
1
Not at all
2
3
4
5
Perfectly
4
Q
A

Autonomic Ganglia

  • Essentric cell bodies with multiple processes
  • Random bundles of fibers mingled with the somas
  • Dispersed Multipolar cell bodies
  • synapsing occurs between neurons
How well did you know this?
1
Not at all
2
3
4
5
Perfectly
5
Q
A

Autonomic Ganglia

How well did you know this?
1
Not at all
2
3
4
5
Perfectly
6
Q
A

Parasympathetic ganglia

How well did you know this?
1
Not at all
2
3
4
5
Perfectly