What are the two classes of cells in nervous tissue?
Neurons and glia
What is the CNS?
Central nervous system is contained within the spinal column and skull: 1. Brain 2. Spinal chord
What is the PNS?
Peripheral nervous system is primarily outside of spinal columns and skull: 1. nerves 2. ganglia
What is the difference between afferent and efferent?
Afferent = sensory = incoming – from receptor to CNS Efferent = motor = outgoing – from CNS to effector
What is the difference between somatic and autonomic divisions?
Based on targets of efferent information and sources of afferent information: Somatic = part of the nervous system having to do with the body (soma = body) Autonomic = monitors and controls functions that are internal (i.e. blood pressure, heart rate, gut motility, oxygenation, etc)
What do somatic efferent fibers do?
ALWAYS and ONLY innervate skeletal muscle (AKA: General Somatic Efferent)
What do Autonomic efferent fibers do?
Innervate: Cardiac muscle, smooth muscle, glands, and fat NEVER innervate: skeletal muscle (AKA General Visceral Efferent)
What do Somatic afferent fibers do?
Collect information regarding the body. Includes: - Pain - Temperature - Touch - Pressure - joint position - information from golgi tendon organs and muscle spindles Most of which we can be concious of and can pinpoint (AKA General Somatic Afferent)
What do Autonomic afferent fibers do?
Collect information such as degree of stretch and chemical composition from internal organs and blood vessels (AKA General Visceral Afferent)
What is the embryonic origin of the cells int he CNS?
Both neuronal and non-neuronal CNS cells are derived from the neural tube. - The neural tube originates from epithelial cells in the ectoderm.
What characteristics do epithelial tissue and nervous tissue share?
Because nervous tissue originates from epithelial tissue in the neural tube, it has: - No connective tissue except that which surrounds the CNS and the blood vessels that penetrate the CNS - Entire CNS is surrounded by basal lamina (that began as basal lamina of neural tube) - Brain and spinal cord have fluid filled cavities lined by ependyma (epithelial cells)
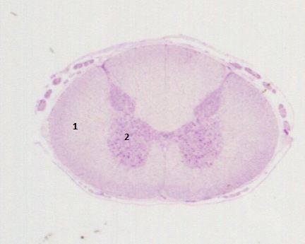
Describe the two sections shown

Where would you find spinal nerves?
They are formed where the dorsal and ventral roots meet.
What type of nerve fibers exist in spinal nerves?
Spinal nerves are mixed nerves
How many spinal nerves are there in a human?
31
What would result from cutting a dorsal root?
Dorsal roots are completely sensory
What is the dorsal root ganglion?
Near the distal end of the dorsal root, right where it exits an intervertebral foramen, is the DRG
What would result from cutting a ventral root?
Ventral roots are completely motor
What is the general principal of Autonomic Efferents? What makes them differnt from Somatic Efferents?
Fill in the chart:


What can be found in the gray matter of the spinal cord?
neuronal cell bodies and their dendrites, along with axons and central microglia
What can be found in the white matter of the spinal cord?
Explain the connective tissue of the CNS
Three sequential connective tissue membranes, called the meninges, cover the brain and spinal cord:
What is a Nissl body?
Prominent in neuron cell bodies with toluidine blue stain, Nissl bodies are stacks of rER.