neuro Flashcards

(3 cards)

1
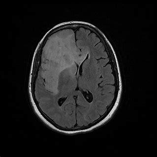
Q

White matter abnormality

Bilateral

frontal and temporal lobes

internal capsule

A
  1. Gliomatosis cerbri
  2. encephalitis
  3. ADEM
How well did you know this?
1
Not at all
2
3
4
5
Perfectly
2
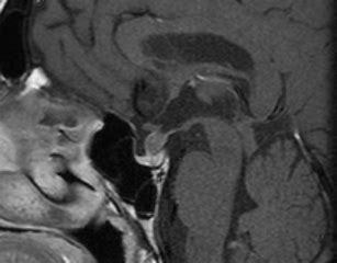
Q

enhancing and thickened hypothalmus

A
  1. sarcoidosis
  2. histiocytosis x
  3. lymphoma
  4. mets
How well did you know this?
1
Not at all
2
3
4
5
Perfectly
3
Q
A
How well did you know this?
1
Not at all
2
3
4
5
Perfectly