Neuro Dr Vidhya Flashcards

(50 cards)

1
Q

Headache: Cluster or Migrainous Neuralgia CLINICAL FEATURES

A

TRIAD:
* Retroorbital Headache
* Rhinorrhoea
* Lacrimation

Unilateral headache

Occurs nightly or in the early hours of
the morning

No visual disturbances or vomiting

Hallmark : Cyclical nature of the attacks and at least 5 attacks. Occurs typically in males; Rare in childhood.

How well did you know this?
1
Not at all
2
3
4
5
Perfectly
2
Q

Headache: Cluster or Migrainous Neuralgia ACUTE Management

A

1st line: 100% O2 15 L/min for 15 minutes

2nd line: Sumatriptan sc injection or intranasally

How well did you know this?
1
Not at all
2
3
4
5
Perfectly
3
Q

Headache: Cluster or Migrainous Neuralgia PROPHYLAXIS (once a cluster starts TO PREVENT FURTHER ATTACKS)

A
  1. For control of attack – Naratriptan
  2. Methysergide
  3. Prednisolone
  4. Lithium
  5. Verapamil
How well did you know this?
1
Not at all
2
3
4
5
Perfectly
4
Q

Headache: Tensional Clinical findings

A

Symmetrical bilateral tightness (muscle contraction headaches)

Lasts from 30 minutes to 7 days

Non-pulsating, mild to moderate intensity

No nausea, vomiting, photophobia, or phonophobia

How well did you know this?
1
Not at all
2
3
4
5
Perfectly
5
Q

Headache: Tensional Management

A

Relaxation techniques

Lifestyle modifications

Avoid tranquilisers and stronger analgesics

How well did you know this?
1
Not at all
2
3
4
5
Perfectly
6
Q

Headache: Tensional Treatment

A
  1. CBT
  2. Mild non-opioid analgesics – aspirin, ibuprofen, paracetamol
How well did you know this?
1
Not at all
2
3
4
5
Perfectly
7
Q

Headache: Migraine Clinical Features

A

MC triggered by Stress

Headache lasts 4- 72 “hours”

Unilateral, Pulsatile in nature.

Moderate or severe intensity, inhibiting daily activities associated with nausea, vomiting, photophobia, or phonophobia

Not attributable to another disorder

How well did you know this?
1
Not at all
2
3
4
5
Perfectly
8
Q

Headache: MILD
Acute Migraine Management

A

1st line: ASPIRIN OR
PARACETAMOL + METOCLOPRAMIDE

ADVISE LYING DOWN
IN A QUIET DARK COOL ROOM.

COLD PACKS ON THE FOREHEAD OR NECK.

AVOID: COFFEE, TEA, MOVING AROUND TOO MUCH, READING, WATCHING TV

How well did you know this?
1
Not at all
2
3
4
5
Perfectly
9
Q

Headache: SEVERE
Acute Migraine Management

A

1st line: TRIPTANS (BEST AT START OF ATTACK)

AVOID IN:

  • CORONARY ARTERY
  • DISEASE
  • ANGINA
  • UNCONTROLLED HYPERTENSION
  • PREGNANCY
How well did you know this?
1
Not at all
2
3
4
5
Perfectly
10
Q

Management of Acute Migraine attack during pregnancy

A

Paracetamol is the preferred non-opioid analgesic.

Avoid NSAIDs and
Aspirin in the first trimester and after 30 weeks of gestation

How well did you know this?
1
Not at all
2
3
4
5
Perfectly
11
Q

Management of severe refractory Acute Migraine attack during pregnancy

A
  • IV fluids
  • Short course of IV
  • MgSO4 or oral steroids.

NOTE: Beta blockers can cause IUGR and should be weaned off before labour to prevent Fetal bradycardia.

How well did you know this?
1
Not at all
2
3
4
5
Perfectly
12
Q

Migraine Prophylaxis

A

1st line: Avoidance of known trigger factors.

Indication: 2 or more
severe migraine attacks per month attacks disrupting the
patient’s well being/lifestyle.

Drugs:
* Beta blockers (Propranolol)
* TCA (Amitryptyline)
* Sodium valproate
* CCBs ( Verapamil, Nifedipine)
* Candesartan
* Sumatriptan
* Gabapentin
* Botulinum toxin into the muscles of the face, scalp or neck

How well did you know this?
1
Not at all
2
3
4
5
Perfectly
13
Q

Headache: Temporal
arteritis (Giant cell arteritis) CLINICAL FEATURES

A

Persistent/intermittent unilateral throbbing headache in the
temporal region and scalp sensitivity with localized thickening

With or without loss of pulsation of the Superficial temporal artery.

Age > 50 years

Intermittent blurred vision

Tenderness on brushing hair

Jaw claudication on eating

Hypertension

Polymyalgia Rheumatica

How well did you know this?
1
Not at all
2
3
4
5
Perfectly
14
Q

Headache: Temporal
arteritis (Giant cell arteritis) MANAGEMENT

A

1) Very responsive to corticosteroids- start treatment immediately to prevent permanent blindness.

2) Aspirin to prevent ischemic events

How well did you know this?
1
Not at all
2
3
4
5
Perfectly
15
Q

Headache: Subarachnoid Hemorrhage CLINICAL FEATURES

A

Presentation: Acute severe headache “thunderclap” (in 75% patients); Loss of consciousness in the remaining 25%.

TRIAD
* Occipital Headache
* Vomiting
* Neck stiffness

Also:
- With or without seizures
- Kernig sign positive

How well did you know this?
1
Not at all
2
3
4
5
Perfectly
16
Q

Headache: Subarachnoid Hemorrhage INVESTIGATIONS

A

Dx: 1) CT Head – investigation of
choice

2) Lumbar puncture is used if CT scan is
negative – Homogenous blood staining of CSF
and Xanthochromia are diagnostic of SAH

How well did you know this?
1
Not at all
2
3
4
5
Perfectly
17
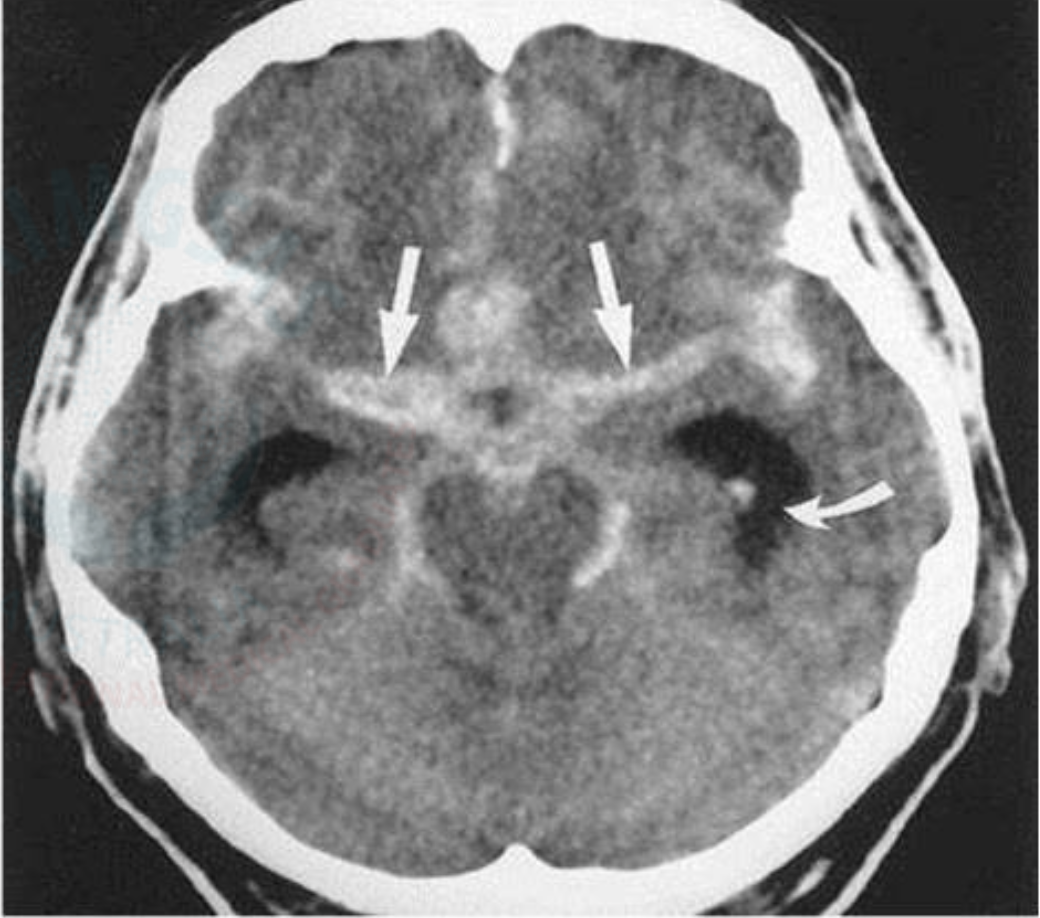
Q

Headache: Subarachnoid Hemorrhage CT Imagen

A

Areas of hyper density within the cisterns and sulci

How well did you know this?
1
Not at all
2
3
4
5
Perfectly
18
Q

Headache: Subarachnoid Hemorrhage Management

A

URGENT REFERRAL!!

How well did you know this?
1
Not at all
2
3
4
5
Perfectly
19
Q

Headache: Trigeminal
Neuralgia CLINICAL FEATURES

A

> 50 yo

Almost always unilateral

Presentation:
* Brief paroxysms of pain 1-2 minutes (upto 15 minutes)
* Excruciating burning knife or electric shock like pain.
* Precipitated by talking, chewing, touching trigger areas on face, cold weather, and wind.

How well did you know this?
1
Not at all
2
3
4
5
Perfectly
20
Q

Headache: Trigeminal
Neuralgia. Associated diseases

A
  • Multiple sclerosis
  • Neurosyphilis
  • Posterior fossa Tumours
How well did you know this?
1
Not at all
2
3
4
5
Perfectly
21
Q

Headache: Trigeminal
Neuralgia Investigation

22
Q

Headache: Trigeminal
Neuralgia MANAGEMENT

A

1st line: Patient education and reassurance.

2nd line: Carbamazepine (from onset of attack until resolution)

3rd line: Surgery. Just if medical treatment is ineffective: Decompression of the Trigeminal nerve root

23
Q

CLINICAL FEATURES Idiopathic Intracranial Hypertension (Pseudotumour cerebri)

A
  • Obese young patient
  • Headache
  • Nausea
  • Visual obscuration or blurring (main concern
    from high ICP) check papilledema.
24
Q

FIRST INVESTIGATION Idiopathic Intracranial Hypertension (Pseudotumour cerebri)

A

CT and MRI are normal.

Pseudotumor Cerebri, also known as Idiopathic Intracranial Hypertension (IIH), is a condition where the pressure inside your skull (intracranial pressure) is increased without any obvious reason, like a tumor or brain swelling. The symptoms mimic those of a brain tumor, but no tumor is actually present.

  1. Increased Intracranial Pressure:
    • The main issue in pseudotumor cerebri is high pressure inside the skull. This can cause headaches, vision problems, and other symptoms.
  2. Symptoms:
    • Headaches: Often severe and persistent, typically worse in the morning or when lying down.
    • Visual Disturbances: Blurred vision, double vision, and in severe cases, temporary or permanent vision loss due to pressure on the optic nerves.
    • Whooshing Sound in the Ears: Some people hear a pulsating sound in their ears, called pulsatile tinnitus.
    • Nausea and Vomiting: Due to the increased pressure.
    • Neck or Shoulder Pain: Sometimes, pressure can cause pain in the neck or shoulders.
  3. Risk Factors:
    • Obesity: Particularly in young women of childbearing age.
    • Certain Medications: Such as oral contraceptives, steroids, and some antibiotics like tetracycline.
    • Other Medical Conditions: Including sleep apnea and certain endocrine disorders.
  4. Diagnosis:
    • Lumbar Puncture: Measuring the pressure of the cerebrospinal fluid (CSF) through a spinal tap helps confirm the diagnosis.
    • Imaging: MRI or CT scans are done to rule out other causes of increased intracranial pressure, like tumors.
  5. Treatment:
    • Weight Loss: For overweight patients, losing weight can significantly reduce symptoms.
    • Medications: Such as acetazolamide, which decreases CSF production, or diuretics, which reduce fluid buildup.
    • Surgery: In severe cases, surgical options like a shunt to drain excess fluid or optic nerve sheath fenestration to relieve pressure on the optic nerves may be considered.
  6. Prognosis:
    • With proper treatment, symptoms can often be managed, and vision loss can be prevented or reduced. However, ongoing monitoring is important, as the condition can recur.

Pseudotumor cerebri is a condition where increased pressure inside the skull causes symptoms similar to a brain tumor, but without any actual tumor present. It mainly affects young, overweight women and can lead to headaches and vision problems. Treatment focuses on reducing the pressure and addressing any underlying risk factors.

25
BEST INVESTIGATION Idiopathic Intracranial Hypertension (Pseudotumour cerebri)
Lumbar puncture: Increased CSF pressure 25 cm H2O with Normal CSF analysis.
26
MANAGEMENT Idiopathic Intracranial Hypertension (Pseudotumour cerebri)
1st: URGENT REFERRAL!! 2nd: * Stop causative drugs * Weight reduction * Corticosteroids and diuretics NOTE: Choice to alleviate symptoms: Repeated Lumbar Puncture
27
Medication overuse Headache CLINICAL FEATURES
BILATERAL “Headache all day everyday”
28
Medication overuse Headache CAUSE
NSAIDs, triptans, ergotamine. Typically with regular use > 15 days per month for 3 months
29
Medication overuse Headache Treatment
Gradual withdrawal of the drugs; Bridging therapy with a short course of steroids or NSAID
30
GCS
31
MANAGEMENT of Coma of unknown cause in the ED
TONG(F) or Coma cocktail
32
Transient Ischemic Attack (TIA) CLINICAL FEATURES
* Short duration (< 60 minutes) * Consciousness preserved * Complete clinical recovery in < 24 hours (spontaneous)
33
Carotid TIAs CLINICAL FEATURES
90% ischemic attack in anterior circulation (Carotid) Unilateral features: * Amaurosis fugax * Dysphasia * Unilateral weakness, paralysis or numbness of face and arm (especially) and leg.
34
Vertebrobasilar TIAs CLINICAL FEATURES
Bilateral or crossed features: * Homonymous hemianopia * Bilateral blurring of vision, blindness, or diplopia * Vertigo * Nausea ± vomiting * Dysarthria * Hemiplegia * Ataxia ± bilateral weakness or numbness, drop attacks.
35
TIA INVESTIGATIONS
1. CT or MRI 2. Carotid duplex Doppler NOTE: Also ECG but depends on the question
36
TIA MEDICAL MANAGEMENT
FIRST: Aspirin or (Clopidogrel + Aspirin) or (Dipyridamole + Aspirin) or Ticlopidine NOTE: Dual therapy within 24 hours and cease at three weeks. If failed antiplatelet therapy or vertebrabasilar ischemia: WARFARIN DOACs for non-valvular, AF >65 yo
37
TIA SURGICAL MANAGEMENT
Based on the Carotid duplex Doppler Results (CDUS): Symptomatic (Ipsilateral TIA or Stroke) – 70-99%: Intervention – 50-69%: Grey area- REFER! – <50%: Observe Asymptomatic: > 80%: Non-urgent intervention < 80%: Annual survillance with CDUS Surgery: **Carotid Endarderectomy**
38
STROKES TERRITORIES. Anterior Circulation Arteries
1. Anterior Cerebral Artery 2. Middle Cerebral Artery 3. Lenticulo-striate Artery
39
STROKES TERRITORIES. Posterior Circulation Arteries
1. Posterior Cerebral Artery 2. Basilar Artery 3. Anterior inferior cerebellar artery 4. Posterior inferior cerebellar artery 5. Anterior spinal artery
40
Anterior Cerebral Artery Stroke CLINICAL FEATURES
41
Middle Cerebral Artery Stroke CLINICAL FEATURES
42
Lenticulo-striate Artery Stroke CLINICAL FEATURES
A lenticulostriate artery stroke, also known as a lacunar stroke, affects the small penetrating arteries that supply the deep structures of the brain, such as the basal ganglia, internal capsule, and thalamus. The clinical features of such a stroke can vary depending on the exact location of the infarct, but common presentations include: ### Clinical Features 1. **Pure Motor Stroke** - **Presentation**: Sudden onset of weakness or paralysis on one side of the body (hemiparesis or hemiplegia) affecting the face, arm, and leg equally. - **Location**: Often due to an infarct in the posterior limb of the internal capsule or the corona radiata. 2. **Pure Sensory Stroke** - **Presentation**: Sudden onset of numbness, tingling, or loss of sensation on one side of the body (hemianesthesia). - **Location**: Typically involves the thalamus. 3. **Sensorimotor Stroke** - **Presentation**: Combination of motor and sensory deficits on one side of the body. - **Location**: Involves the thalamus and adjacent internal capsule. 4. **Ataxic Hemiparesis** - **Presentation**: Weakness and ataxia (lack of coordination) on the same side of the body. - **Location**: Often results from a stroke in the pons, internal capsule, or corona radiata. 5. **Dysarthria-Clumsy Hand Syndrome** - **Presentation**: Dysarthria (difficulty speaking due to motor deficits) and clumsiness or weakness of one hand. - **Location**: Typically due to a lesion in the pons or the genu of the internal capsule. ### Additional Considerations - **Risk Factors**: Hypertension is the most significant risk factor for lacunar strokes, along with diabetes mellitus, smoking, and hyperlipidemia. - **Imaging**: MRI is typically more sensitive than CT for detecting small lacunar infarcts. The infarcts are usually less than 15 mm in diameter. ### Pathophysiology Lacunar strokes are caused by occlusion of the small penetrating arteries, leading to small areas of infarction. These strokes account for about 20% of all ischemic strokes. ### Sources For further detailed information, you can refer to the following sources: - [MedlinePlus](https://medlineplus.gov/ency/article/000726.htm) - [American Heart Association](https://www.heart.org/en/health-topics/high-blood-pressure/health-threats-from-high-blood-pressure/lacunar-stroke) - [National Institutes of Health](https://www.ncbi.nlm.nih.gov/books/NBK532287/) These sources provide comprehensive overviews and detailed explanations of the clinical features and pathophysiology of lacunar strokes.
43
Posterior Cerebral Artery Stroke CLINICAL FEATURES
A **Posterior Cerebral Artery (PCA) stroke** affects the region of the brain supplied by the posterior cerebral artery, which primarily includes the occipital lobe, the bottom of the temporal lobe, and parts of the thalamus and brainstem. The clinical features of a PCA stroke can vary depending on the specific areas affected, but here are the key symptoms made easy to remember: ### Clinical Features of PCA Stroke: 1. **Visual Deficits**: - **Homonymous Hemianopia**: Loss of half of the visual field in both eyes, often the most common symptom of a PCA stroke. For example, if the stroke affects the right PCA, the patient may lose the left visual field of both eyes. - **Cortical Blindness**: Total loss of vision due to damage in the occipital cortex, despite normal functioning eyes. - **Visual Agnosia**: Inability to recognize objects or faces despite having intact vision. This can occur when the stroke affects the visual association areas. 2. **Sensory Symptoms**: - **Thalamic Syndrome**: This includes contralateral sensory loss, which can affect pain, temperature, touch, and proprioception on the opposite side of the body to the lesion. Patients may experience persistent, often severe pain (thalamic pain syndrome). 3. **Language and Memory Impairments**: - **Alexia without Agraphia**: A condition where the patient cannot read (alexia) but can still write (agraphia). This occurs if the stroke affects the dominant hemisphere (usually the left) PCA territory involving the splenium of the corpus callosum. - **Memory Problems**: Particularly when the stroke affects the medial temporal lobe, patients may have difficulty forming new memories. 4. **Other Cognitive and Behavioral Changes**: - **Visual Hallucinations**: This can occur due to occipital lobe involvement, where the brain misinterprets signals due to damage. - **Confusion or Delirium**: If the stroke impacts areas that connect to other parts of the brain, it can lead to confusion or a state of delirium. 5. **Motor Symptoms**: - **Mild Hemiparesis**: If the stroke extends into the midbrain, there may be mild weakness on the opposite side of the body. ### Summary: PCA strokes primarily cause **visual disturbances** due to occipital lobe involvement, **sensory deficits** from thalamic damage, **language and memory issues** from temporal lobe involvement, and occasionally **motor deficits** if the stroke spreads to areas involving motor pathways. Remembering these key features can help quickly identify a PCA stroke and differentiate it from strokes affecting other vascular territories in the brain. For a detailed assessment, always refer to clinical guidelines or consult a healthcare professional.
44
Basilar Artery Stroke CLINICAL FEATURES
45
Anterior inferior cerebellar artery Stroke CLINICAL FEATURES
**Lateral Pontine Syndrome** - *General* (VII Nerve Nuclei) ↓ Lacrimation ↓ Salivation ↓ Taste anterior 2/3 of the tongue (Vestibular nuclei) Vomiting Vertigo Nystagmus - *Contralateral* BODY↓ Pain and temperature sensation - *Ipsilateral* FACE ↓ Pain and temperature sensation Horner syndrome Ataxia Dysmetria (Inner ear) Sensorineural deafness
46
Posterior inferior cerebellar artery Stroke CLINICAL FEATURES
**Lateral Medullary (Wallenberg) Syndrome** (IX, X, XI Nerves Nucleus) **Dysphagia Hoarseness** Dysphonia ↓ Gag reflex Hiccups Vomiting Vertigo Diplopia Nystagmus (horizontal and vertical) - *Contralateral* BODY↓ Pain and temperature sensation - *Ipsilateral* FACE ↓ Pain and temperature sensation Horner syndrome Limb Ataxia Dysmetria
47
Anterior spinal artery Stroke CLINICAL FEATURES
**Medial Medullary Syndrome** **Medial Medullary Syndrome** is a condition that happens when there's damage to a specific part of the brainstem called the **medulla**. Here’s a simple breakdown: ### What Happens: 1. **Cause**: It usually occurs due to a stroke or blockage in one of the arteries that supply blood to the medulla. 2. **Affected Area**: The damage is specifically in the **medial (middle) part of the medulla**, which is located in the lower part of the brainstem. ### Main Symptoms: 1. **Weakness on One Side of the Body**: - The muscles on one side of the body (usually the opposite side of the damage) become weak or paralyzed. This is called **contralateral hemiparesis**. 2. **Loss of Sensation**: - You lose the ability to feel vibrations and position (knowing where your body parts are) on the same side as the weakness. 3. **Tongue Problems**: - The tongue might deviate (point) toward the side of the damage when you stick it out. This happens because the **hypoglossal nerve** (which controls the tongue) is affected. ### Easy Way to Remember: - **"One-sided body weakness + tongue points to the problem"** is a quick way to recall the key features of Medial Medullary Syndrome. This syndrome is important to recognize because it tells doctors that there's been damage to a specific part of the brainstem, and quick treatment is necessary to prevent further complications.
48
Lacunar Infartcts Types
1. Pure motor (contralateral) 2. Pure sensory (contralateral) 3. Ataxic hemiparesis 4. Dysarthria-Clumsy hand Syndrome
49
Dominant side- Parietal Lobe Lesion
**Gerstmann’s Syndrome** Tetrad 1. dysgraphia 2. dyscalculia 3. finger agnosia (can't touch the fingers together) 4. Left to right disorientation ALSO: Aphasia, dysphasia Alexia, dyslexia
50
Non dominant Parietal lobe lesion
* Geographical agnosia * Phonagnosia (difficulty in recognizing familiar voices) * Amusia * Constructional Apraxia * Asomatognosia * Anosognosia * Spatial neglect * Neglect of contralateral limb * Dressing apraxia