What is the inheritance pattern of NF1?
Autosomal dominant
Which chromosome is home to the NF1 gene?
17q11.2
Which cellular pathway is disrupted in NF1?
Ras/MAPK pathways
List at least 4 RASopathies
NF1 Noonan syndrome Costello syndrome Capillary malformation arteriovenous malformation syndrome Cardiofaciocutaneous syndrome Legius syndrome NS with multiple lentigenes (leopard)
What are the diagnostic criteria for NF1?
Two or more of the following: 1)6 or more cafe au lait spots (>5 mm before puberty, >15 after) 2) >2 neurofibromas or 1 plexiform neurofibroma 3) inguinal or axillary freckling 4) optic glioma 5) >2 Lisch nodules (pigmented hamartomas of the iris) 6) Distinct osseus lesions (sphenoid dysplasia president thinking of bone cortex) 7) First degree relative with NF1
Name at least 6 clinical features that can be seen outside of those included in the NF1 diagnostic criteria?
Scoliosis Vascular dysplasias (moya moya included) Nerve sheath tumors Microcephaly Astrocytomas Sarcomas Pheochromocytomas Learning disabilities
By what age do most optic gliomas present for children with NF1
Before 6 years
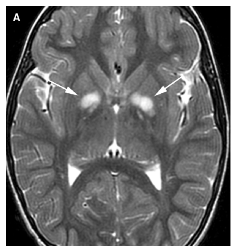
What are the imaging characteristics of NF spots of myelin vacuolization?
Increased white matter volume of corpus callosum
Increased ADC signal T2 hyperintensity in brainstem, cerebellum, thalamus, internal capsule, CC but spares subcortical white matter and centrum semiovale
T1 isointense

Between what ages would you expect to see evolution of myelin vacuolization in NF1?
Generally develop between 2-12 years Regress through adolescence and usually gone by 20 yrs
Name at least 2 differences between NF spots or myelin vacuolization and astrocytomas on MRI
Tumor has mass effect, NF spots don’t Tumor enhances, NF spots don’t Tumor may have restricted diffusion in solid portion, NF spots don’t Elevated choline, decreased NAA and creatine on spectoscropy =tumor Levels relatively normal for NFspots
What is the inheritance pattern of NF2?
Autosomal dominant 50% sporadic/new mutations
Which chromosome is effected in NF1?
Chromosome 22 (22q12.2)
What are the clinical hallmarks of NF2?
Bilateral vestibular schwannomas Also have meningiomas, skin lesions and cataracts
What are the most common presenting symptoms of NF2 in childhood?
Seizures Facial nerve palsy (More so than hearing loss!) Barkovich neurocutaneous disorders
What are the diagnostic criteria for definite NF2?
Definite: 1) Bilateral vestibular schwannomas 2) first degree relative with NF2 and unilateral 8th nerve tumor under 30 or two of the following (neurofibroma, meningioma, glioma, schwannoma, juvenile posterior cortical cataracts)
What are the diagnostic criteria for presumptive/probable NF2?
1) unilateral vestibular schwannoma plus one of the following (meningioma, glioma, schwannoma, juvenile posterior cortical cataracts) 2) two or more meningiomas and unilateral vestibular schwannoma
What are the most common intrinsic spinal cord tumors in NF2 patients?
Ependymomas Astrocytomas Intramedullary Schwannomas Meningiomas
What is the inheritance pattern of tuberous sclerosis?
Autosomal dominant
What are the two genes associated with TS?
TSC1 and TSC2
Which chromosome is the locus for TSC1?
Chromosome 9
Which chromosome is the locus for TSC2?
Chromosome 16
What important molecular pathway is disrupted in TS and provides a good therapeutic target in TS?
MTOR pathway
What are the diagnostic criteria for definite TS?
Two major features or one major plus two minor features Major features: Facial angiofibromas Non traumatic ungual/periungual fibromas Hypomelanotic macules (>3) Shagreen patches (connective tissue nevi) Retinal hamartomas Cortical tuber Subependymal nodule SEGA Lymphangioleiomyomatosis Renal angiomyolipomas Minor features: Enamel pitting Hamartomaous rectal polyps Bone cysts Affected first degree relative White matter radial migration lines Gingival fibromas Non renal hamartomas Retinal achromatic patch Confetti skin lesions Renal cysts
What are the diagnostic criteria for probable TS?
One major and one minor feature Major features: Facial angiofibromas Non traumatic ungual/periungual fibromas Hypomelanotic macules (>3) Shagreen patches (connective tissue nevi) Retinal hamartomas Cortical tuber Subependymal nodule SEGA Lymphangioleiomyomatosis Renal angiomyolipomas Minor features: Enamel pitting Hamartomaous rectal polyps Bone cysts Affected first degree relative White matter radial migration lines Gingival fibromas Non renal hamartomas Retinal achromatic patch Confetti skin lesions Renal cysts