which area of the brain contains most of the dopamine neurons in the brain?
cerebellum
temporal
midbrain
occipital
frontal
which area of the brain contains most of the dopamine neurons in the brain?
cerebellum
temporal
midbrain
occipital
frontal
which area of the brain contains the primary motor cortex?
cerebellum
temporal
midbrain
occipital
frontal
which area of the brain contains the primary motor cortex?
cerebellum
temporal
midbrain
occipital
frontal
which part of the brain does the corticospianl tract start in ?
cerebellum
temporal
midbrain
occipital
frontal
which part of the brain does the corticospianl tract start in ?
cerebellum
temporal
midbrain
occipital
frontal
what are the 3 components of the motor cortex? [3]
what are the 3 components of the motor cortex? [3]
primary motor cortex
premotor cortex
supplementary motor area
which part of brain integrates sensory information?
cerebellum
temporal
midbrain
parietal
occipital
which part of brain integrates sensory information?
cerebellum
temporal
midbrain
pariteal
occipital
where exactly is the primary somatosensory cortex found in the parietal lobe? [1]
which tracts does the primary somatosensory cortex mainly recieve input from? [2]
where exactly is the primary somatosensory cortex found in the parietal lobe? [1]
postcentral gyrus
which tracts does the primary somatosensory cortex mainly recieve input from? [2]
DCML
Spinothalamic
which part of the brain is involved in processing sensory input in terms of forming memory and is integral in language recognition
cerebellum
temporal
midbrain
occipital
frontal
which part of the brain is involved in processing sensory input in terms of forming memory and is integral in language recognition
cerebellum
temporal
midbrain
occipital
frontal
what is the role of the basal ganglia? [3]
involved with voluntary motor movements, procedural learning, habit learning, eye movements & cognition and emotion
what do each of the brain ventricles contain? [1]
what do each of the brain ventricles contain? [1]
choroid plexus: produces CSF
which plane of imagine is this?
sagittal
coronal
axial

which plane of imagine is this?
sagittal
coronal
axial
what would you use skull XR? [1]
what would you use skull XR? [1]
**depressed skull fracture
VERY RARELY USED**
why is CT the standard for brain scans? [3]
what is bad about CT scans? [1]
why is CT the standard for brain scans? [3]
soft issue images
bone images
reasonable info on perfusion of structures
what is bad about CT scans? [1]
radiation exposure !!
what do the following assess? [4]
plain CT head
CT angiography
CT perfusion
CT venogram
what do the following assess? [4]
plain CT head: trauma / or blood
CT angiography: arterial supply
CT perfusion: localised areas that are under perfused
CT venogram: major venous structures
what is an extradural haemorrhage blood between/? [2]
what is an extradural haemorrhage blood between/? [2]
dura mater and skull !
which of the following would you use to assess subdural haemorrhage?
CT venogram
plain CT head
CT angiography
CT perfusion
MRI
which of the following would you use to assess subdural haemorrhage?
CT venogram
plain CT head
CT angiography
CT perfusion
MRI

which of the following would you use to assess extradural haemorrhage?
CT venogram
plain CT head
CT angiography
CT perfusion
MRI
which of the following would you use to assess extradural haemorrhage?
CT venogram
plain CT head
CT angiography
CT perfusion
MRI

what is an intraparenchymal haemorrage bleeding between? [1]
what is intraventricular haem bleediing within? [1]
what is an intraparenchymal haemorrage bleeding between? [1]
bleeding within the brain parenchyma
what is intraventricular haem bleediing within? [1]
with the ventricles
where does blood usually pool in the brain? [1]
why? [1]
where does blood usually pool in the brain? [1]
occipital horn of the ventricular system
why? [1]
blood is more dense that CSF
which structures in the brain does CT angiography specifically visualise? [2]
apart from looking at ischaemic stroke, what can CT angiography be used for? [1]
which structures in the brain does CT angiography specifically visualise? [2]
carotid arteries (External & internal)
circle of willis
apart from looking at ischaemic stroke, what can CT angiography be used for? [1]
aneurysms

which of the following would be used to detect aneurysms?
CT venogram
plain CT head
CT angiography
CT perfusion
MRI
which of the following would be used to detect aneurysms?
CT venogram
plain CT head
CT angiography
CT perfusion
MRI
which of the following would you use to differentiate between salvgeable ischameic brain from infarcted brain?
CT venogram
plain CT head
CT angiography
CT perfusion
MRI
which of the following would you use to differentiate between salvgeable ischameic brain from infarcted brain?
CT venogram
plain CT head
CT angiography
CT perfusion
MRI
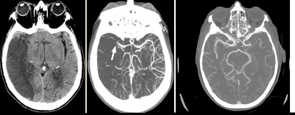
which type of imaging is this?
CT venogram
PET scan
CT angiography
CT perfusion
MRI

which type of imaging is this?
CT venogram
PET scan
CT angiography
CT perfusion
MRI