Neurology Flashcards

(100 cards)

1
Q

What are the different types of aphasia?

A

Expressive
Receptive
Conductive
Global

How well did you know this?
1
Not at all
2
3
4
5
Perfectly
2
Q

What are the characteristics of conductive aphasia?

A

Classically due to a stroke affecting the arcuate fasiculus - the connection between Wernicke’s and Broca’s area

Speech is fluent but repetition is poor. Aware of the errors they are making

Comprehension is normal

How well did you know this?
1
Not at all
2
3
4
5
Perfectly
3
Q

What are the characteristics of expressive aphasia?

A

Due to a lesion of the inferior frontal gyrus. It is typically supplied by the superior division of the left MCA

Speech is non-fluent, laboured, and halting. Repetition is impaired

Comprehension is normal

How well did you know this?
1
Not at all
2
3
4
5
Perfectly
4
Q

What are the characteristics of receptive aphasia?

A

Due to a lesion of the superior temporal gyrus. It is typically supplied by the inferior division of the left MCA

Comprehension is impaired

How well did you know this?
1
Not at all
2
3
4
5
Perfectly
5
Q

What is a syrinx?

A

Fluid filled sac of CSF

How well did you know this?
1
Not at all
2
3
4
5
Perfectly
6
Q

What is syringomyelia?

A

a ‘cape-like’ (neck, shoulders and arms)
loss of sensation to temperature but the preservation of light touch, proprioception and vibration
classic examples are of patients who accidentally burn their hands without realising
this is due to the crossing spinothalamic tracts in the anterior commissure of the spinal cord being the first tracts to be affected

How well did you know this?
1
Not at all
2
3
4
5
Perfectly
7
Q

Compare and contrast Freidrichs ataxia and ataxia telangitasia?

A
How well did you know this?
1
Not at all
2
3
4
5
Perfectly
8
Q

What does MAVIS stand for?

A
How well did you know this?
1
Not at all
2
3
4
5
Perfectly
9
Q

How is autonomic dysreflexia managed?

A

Management of autonomic dysreflexia involves removal/control of the stimulus and treatment of any life-threatening hypertension and/or bradycardia.

How well did you know this?
1
Not at all
2
3
4
5
Perfectly
10
Q

How is Bell’s palsy managed?

A

Oral prednisolone within 72 hours and eye care
If no improvement after 3 weeks, then refer to ENT
15% of people may have moderate to severe weakness
Should recover in 3-4 months
Plastics is an option

How well did you know this?
1
Not at all
2
3
4
5
Perfectly
11
Q

Features of Bell’s palsy?

A

No forehead sparing
Eye dryness
Taste disturbance
Hyperacusis

How well did you know this?
1
Not at all
2
3
4
5
Perfectly
12
Q

Features of Erb’s palsy?

A

Erb’s - Waiter’s tip - Winged scapula, C5, C6
Klumpke’s palsy - intrinsic hand weakness, T1

How well did you know this?
1
Not at all
2
3
4
5
Perfectly
13
Q

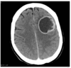
What are the causes of a single ring enhancing lesion?

A

cerebral abscess

tuberculoma

neurocysticercosis

metastasis

glioblastoma

subacute infarct/haemorrhage/contusion

demyelination (incomplete ring)

tumefactive demyelinating lesion (incomplete ring)

radiation necrosis

postoperative change

lymphoma - in an immunocompromised patient

leukaemia 4

thrombosed aneurysm 4

necrotising leukoencephalopathy after methotrexate 4,5

Baló concentric sclerosis

How well did you know this?
1
Not at all
2
3
4
5
Perfectly
14
Q

What does MAGIC DR stand for?

A
How well did you know this?
1
Not at all
2
3
4
5
Perfectly
15
Q

How are solitary brain lesions managed?

A

surgery
a craniotomy is performed and the abscess cavity debrided
the abscess may reform because the head is closed following abscess drainage.
IV antibiotics: IV 3rd-generation cephalosporin + metronidazole
intracranial pressure management: e.g. dexamethasone

How well did you know this?
1
Not at all
2
3
4
5
Perfectly
16
Q

What does a ring enhancing lesion suggest?

A

Break down of the blood brain barrier

How well did you know this?
1
Not at all
2
3
4
5
Perfectly
17
Q

What are the features of Gertsmann syndrome?

A

Gerstmann’s syndrome (lesion of dominant parietal): alexia, acalculia, finger agnosia and right-left disorientation

How well did you know this?
1
Not at all
2
3
4
5
Perfectly
18
Q

How do lesions of the cerebellum cause disease?

A

midline lesions: gait and truncal ataxia
hemisphere lesions: intention tremor, past pointing, dysdiadokinesis, nystagmus

How well did you know this?
1
Not at all
2
3
4
5
Perfectly
19
Q

How does a frontal lobe lesion present?

A

expressive (Broca’s) aphasia: located on the posterior aspect of the frontal lobe, in the inferior frontal gyrus. Speech is non-fluent, laboured, and halting
disinhibition
perseveration
anosmia
inability to generate a list

How well did you know this?
1
Not at all
2
3
4
5
Perfectly
20
Q

How does a temporal lesion present?

A

Temporal lobe lesion
Wernicke’s aphasia: this area ‘forms’ the speech before ‘sending it’ to Brocas area. Lesions result in word substituion, neologisms but speech remains fluent
superior homonymous quadrantanopia
auditory agnosia
prosopagnosia (difficulty recognising faces)

How well did you know this?
1
Not at all
2
3
4
5
Perfectly
21
Q

How does a parietal lesion present?

A

sensory inattention
apraxias
astereognosis (tactile agnosia)
inferior homonymous quadrantanopia
Gerstmann’s syndrome (lesion of dominant parietal): alexia, acalculia, finger agnosia and right-left disorientation

How well did you know this?
1
Not at all
2
3
4
5
Perfectly
22
Q

What is asterognosis?

A

Inability to distinguish objects based on shape and size

How well did you know this?
1
Not at all
2
3
4
5
Perfectly
23
Q

How do occipital lesions manifest?

A

Occipital lobe lesions
homonymous hemianopia (with macula sparing)
cortical blindness
visual agnosia

How well did you know this?
1
Not at all
2
3
4
5
Perfectly
24
Q

What is the most common cause of brain tumours in adults

A

Metastases

How well did you know this?
1
Not at all
2
3
4
5
Perfectly
25
What are the most common primary cancers to metastasise to the brain?
Lung (most common) Breast Skin Colorectal Kidney
26
What is the 1st and 2nd most common brain cancer primaries in adults?
Glioblastoma multiforme Meningioma
27
What is the most common primary brain tumour in children?
Pilocystic astracytoma
28
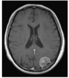
How is a mengioma apparent on CT?
Attached to the dura
29
How is a glioblastoma multiforme appear on CT?
30
What type of cells are seen in glioblastoma multiforme?
Pleiomorphic
31
What type of cells are seen in meningioma?
Spindle cells
32
What type of cells are seen in pilocytic astrocytoma?
Rosenthal cells
33
Features of Brown Seqard syndrome?
ipsilateral weakness below lesion ipsilateral loss of proprioception and vibration sensation contralateral loss of pain and temperature sensation
34
What is cataplexy?
Cataplexy describes the sudden and transient loss of muscular tone caused by strong emotion (e.g. laughter, being frightened). Around two-thirds of patients with narcolepsy have cataplexy.
35
Features of cluster headaches
-intense sharp, stabbing pain around one eye pain typical occurs once or twice a day, each episode lasting 15 mins - 2 hours the patient is restless and agitated during an attack due to the severity clusters typically last 4-12 weeks accompanied by redness, lacrimation, lid swelling nasal stuffiness miosis and ptosis in a minority
36
What is SUNCT?
short-lived unilateral neuralgiform headache with conjunctival injection and tearing
37
How are cluster headaches managed?
acute 100% oxygen (80% response rate within 15 minutes) subcutaneous triptan (75% response rate within 15 minutes) prophylaxis verapamil is the drug of choice there is also some evidence to support a tapering dose of prednisolone
38
What is trigeminal autonomic cephalgia?
trigeminal autonomic cephalgia to group a number of conditions including cluster headache, paroxysmal hemicrania and short-lived unilateral neuralgiform headache with conjunctival injection and tearing (SUNCT). It is recommended such patients are referred for specialist assessment as specific treatment may be required, for example it is known paroxysmal hemicrania responds very well to indomethacin
39
What is common peronEal nerve palsy?
Reduced dorsiflexion Reduced eversion of foot Foot drop Extensor hallucis longus
40
What are the features of L5 radiculopathy?
Inversion of foot Hip internal rotation + common peroneal nerve palsy
41
What are the features of CMT?
PMP22 Charcot-Marie-Tooth Disease is the most common hereditary peripheral neuropathy. It results in a predominantly motor loss. There is no cure, and management is focused on physical and occupational therapy. Features: There may be a history of frequently sprained ankles Foot drop High-arched feet (pes cavus) Hammer toes Distal muscle weakness Distal muscle atrophy Hyporeflexia Stork leg deformity
42
What are the features of CJD?
Dementia and myoclonus
43
What are the symptoms of degenerative cervical myelopathy?
Weakness Numbness Pain in the neck and limbs Autonomic dysfunction
44
What is the treatment of DCM?
Decompressive laminectomy Physiotherapy Monitoring
45
What is key with DCM?
Do not confuse carpal tunnel syndrome with DCM
46
Suggest the DVLA rules for driving with neurological disease.
Explained one syncope = 4 weeks Unexplained one syncope = 6 months two syncope = 1 year TIA = 1 month Seizure = 6 months Epilepsy = seizure free for 12 months Tumour / meningioma - 6 months after surgery
47
Features of DMD
Duchenne muscular dystrophy progressive proximal muscle weakness from 5 years calf pseudohypertrophy Gower's sign: child uses arms to stand up from a squatted position 30% of patients have intellectual impairment xp21 X-linked recessive
48
Features of Becker's muscular dystrophy
Becker muscular dystrophy develops after the age of 10 years intellectual impairment much less common
49
Compare and contrast MG and LEMS
On EMG: Myasthenia gravis Diminished response to repetitive stimulation Lambert-Eaton syndrome Incremental response to repetitive stimulation
50
Suggest some tests for MG
51
How is MG diagnosed through examination
Inspection for ptosis Facial muscles Eye movements Arm fatiguability Counting on one breath
52
How does the ice pack test work for MG?
This transient improvement in ptosis is due to the cold decreasing the acetylcholinesterase break-down of acetylcholine at the neuromuscular junction.
53
What is anti-NMDA encephalitis?
54
What is the most common cause of viral encephalitis?
HSV-1
55
What are the features viral encephalitis?
Features fever, headache, psychiatric symptoms, seizures, vomiting focal features e.g. aphasia peripheral lesions (e.g. cold sores) have no relation to the presence of HSV encephalitis Pathophysiology HSV-1 is responsible for 95% of cases in adults typically affects temporal and inferior frontal lobes Management intravenous aciclovir should be started in all cases of suspected encephalitis
56
How are West Syndrome seizures treated?
Vigabatrin and steroids
57
What are localizing features of focal seizures?
58
How are atonic seizures treated?
Males: valproate Female: lamotrogine
59
What are the features of essential tremor?
Essential tremor (previously called benign essential tremor) is an autosomal dominant condition which usually affects both upper limbs Features postural tremor: worse if arms outstretched improved by alcohol and rest most common cause of titubation (head tremor) Management propranolol is first-line primidone is sometimes used
60
What is the frequency of essential tremor?
In most cases, the tremor frequency of essential tremor is 4 to 11 Hz.
61
What is the frequency of Parkinsons disease?
4-6 hZ
62
Why are extradural haematomas biconvex?
Do not cross suture lines
63
Why do extradural haematomas have a lucid period?
Leads to herniation if not managed Definitive treatment is craniotomy and evacuation of the haematoma.
64
What are the causes of facial nerve palsy?
sarcoidosis Guillain-Barre syndrome Lyme disease bilateral acoustic neuromas (as in neurofibromatosis type 2) as Bell's palsy is relatively common it accounts for up to 25% of cases f bilateral palsy, but this represents only 1% of total Bell's palsy cases
65
What are the causes of LMN facial nerve palsy?
Bell's palsy Ramsay-Hunt syndrome (due to herpes zoster) acoustic neuroma parotid tumours HIV multiple sclerosis* diabetes mellitus
66
What are the causes of UMN facial nerve palsy?
Stroke
67
What are the features of CNIII palsy?
Down and out
68
What are the features of CNIV palsy?
Up and out
69
What are the features of GBS?
Ascending demyelinating polyneuropathy CIDP Anti-GM1 Campylobacter jejuni (helical gram negative) Nerve conduction Concern about FVC
70
What are the features of the Miller Fisher variant?
Descending demylinating polyneuropathy Affects face Areflexia, ataxia, opthalmoplegia
71
What are some conditions closely related to GBS?
72
Suggest tests for GBS?
Investigations lumbar puncture rise in protein with a normal white blood cell count (albuminocytologic dissociation) - found in 66% nerve condution studies may be performed decreased motor nerve conduction velocity (due to demyelination) prolonged distal motor latency increased F wave latency
73
Suggest some causes of acute headache.
meningitis encephalitis subarachnoid haemorrhage head injury sinusitis glaucoma (acute closed-angle) tropical illness e.g. Malaria
74
What is SUNCT?
A trigeminal autonomic neuralgia Stands for Short lived Unilateral Neuralgiform Conjunctival injection Tearing
75
What are? SUNCT SUNA TACS
76
Suggest red flags for headaches
compromised immunity, caused, for example, by HIV or immunosuppressive drugs age under 20 years and a history of malignancy a history of malignancy known to metastasis to the brain vomiting without other obvious cause worsening headache with fever sudden-onset headache reaching maximum intensity within 5 minutes - 'thunderclap' new-onset neurological deficit new-onset cognitive dysfunction change in personality impaired level of consciousness recent (typically within the past 3 months) head trauma headache triggered by cough, valsalva (trying to breathe out with nose and mouth blocked), sneeze or exercise orthostatic headache (headache that changes with posture) symptoms suggestive of giant cell arteritis or acute narrow-angle glaucoma a substantial change in the characteristics of their headache
77
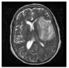
Suggest what is shown here?
HSV encephalitis
78
What does HSMN stand for?
Hereditary sensorimotor neuropathy (HSMN)
79
Features of Huntington's?
Features typical develop after 35 years of age chorea personality changes (e.g. irritability, apathy, depression) and intellectual impairment dystonia saccadic eye movements CAG repeats on chromosome 4 Autosomal dominant disease
80
Suggest symptoms of IHH
81
Risk factors of IHH
Risk factors obesity female sex pregnancy drugs combined oral contraceptive pill steroids tetracyclines retinoids (isotretinoin, tretinoin) / vitamin A lithium
82
Treating IHH
Management weight loss whilst diet and exercise are important, medications such as semaglitide and topiramate may be considered by specialists. Topiramate is particularly beneficial as it also inhibits carbonic anhydrase carbonic anhydrase inhibitors e.g. acetazolamide topiramate is also used, and has the added benefit of causing weight loss in most patients repeated lumbar puncture may be used as a temporary measure but is not suitable for longer-term management surgery: optic nerve sheath decompression and fenestration may be needed to prevent damage to the optic nerve. A lumboperitoneal or ventriculoperitoneal shunt may also be performed to reduce intracranial pressure
83
How does internuclear opthalmoplegia manifest?
Impaired adduction on DA same side Impaired abduction on the other side
84
What are the features of intracranial venous thrombosis?
Heparin Eye pain Anticoagulants Decreasing consciousness Emesis Delta sign
85
What are the dural venous sinuses?
86
What are the types of intracranial venous thrombosis?
Sagittal sinus thrombosis - 'empty delta sign' Cavernous sinus thrombosis - facial pain and eye pain Lateral sinus thrombosis - 6th and 7th cranial nerve palsies
87
What tests are done for CST and SST?
MRI venography is the gold standard CT venography is an alternative non-contrast CT head is normal in around 70% of patients D-dimer levels may be elevated
88
What are the risk factors for intracranial venous thrombosis?
89
What is the treatment for intracranial venous thrombosis?
LMWH
90
What is the treatment for LEMS?
91
What are the features of lateral medullary syndrome/ PICA?
IF HAND Ipsilateral face Horners syndrome Ataxia Nystagmus
92
What does the median nerve supply?
Motor supply (LOAF) Lateral 2 lumbricals Opponens pollicis Abductor pollicis brevis Flexor pollicis brevis
93
What is normal opening pressure?
10-20cm H2O
94
What are the complications of meningitis?
Meningitis: complications Neurological sequalae sensorineural hearing loss (most common) seizures focal neurological deficit infective sepsis intracerebral abscess pressure brain herniation hydrocephalus Patients with meningococcal meningitis are at risk of Waterhouse-Friderichsen syndrome (adrenal insufficiency secondary to adrenal haemorrhage).
95
What is the criteria for a migraine?
96
What is mneunomic for migraine?
Aura Pulsatile Onset 4hr-72hr Unilateral Nausea Dark room and quiet room - photophobia and phonophobia
97
Treating migraine
Triptans + NSAIDs Prophylaxis: PAV - propnaolol, amitriptalline, verapamil Riboflavin Accupuncture CGRP antibodies and candesartan
98
How are migraines managed in pregnancy?
Migraine during pregnancy paracetamol 1g is first-line NSAIDs can be used second-line in the first and second trimester avoid aspirin and opioids such as codeine during pregnancy
99
How are migraines managed during a women's menstrual cycle?
Mefenamic acid
100
How should patients be managed on the pill with migraines?
if patients have migraine with aura then the COC is absolutely contraindicated due to an increased risk of stroke (relative risk 8.72)