Neuropediatric Flashcards

(98 cards)

1
Q

What is the most appropriate maintenance rate for IV fluid in a 2 week old child weighing less than 10 kg?
a. 1 ml/kg/hr
b. 10 ml/kg/hr
c. 4 ml/kg/hr
d. 20 ml/kg/hr
e. 2 ml/kg/hr

A

4 ml/kg/hr

How well did you know this?
1
Not at all
2
3
4
5
Perfectly
2
Q

Following resection of a frontal lobe AVM, a patient develops a sudden severe headache and decreased mental status. CT demonstrates a 4 cm hematoma, and
subsequent angiography reveals residual AVM. Which management strategy is most advisable?
a. Hypotensive therapy in the ICU
b. Elective radiosurgery for the residual AVM
c. Blood pressure monitoring and repeat head CT
d. Craniotomy to address hematoma and residual AVM
e. Embolization of residual AVM

A

d. Craniotomy to address hematoma and residual AVM

How well did you know this?
1
Not at all
2
3
4
5
Perfectly
3
Q

A 2-year-old child presents with new-onset headaches, nausea and vomiting. Imaging reveals a solid, enhancing mass arising from the fourth ventricle floor and
resultant mild obstructive hydrocephalus. Histopathologic evaluation ofa representative portion reveals both perivascular pseudorosettes and true rosettes. Which of
the following is true concerning the prognosis of this patient?
a. surgical resection has little effect on survival.
b. Post-operative radiation therapy does not confer improved survival benefit.
c. The prognosis in this patient is better than that of a 2-year old child with the same tumor pathology located in the spine.
d. The prognosis is worse in this patient than in a 20-year-old with the same tumor.

A

d. The prognosis is worse in this patient than in a 20-year-old with the same tumor.

How well did you know this?
1
Not at all
2
3
4
5
Perfectly
4
Q

A patient with a baclofen pump presents with a temperature of 104 degrees F and hyperreflexia. What is the next appropriate treatment?
Intrathecal baclofen administration
Intravenous acetaminophen
O Broad spectrum antibiotics
O Intravenous dantrolene
O Cooling blanket

A

Intrathecal baclofen administration

How well did you know this?
1
Not at all
2
3
4
5
Perfectly
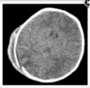
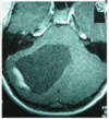
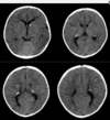
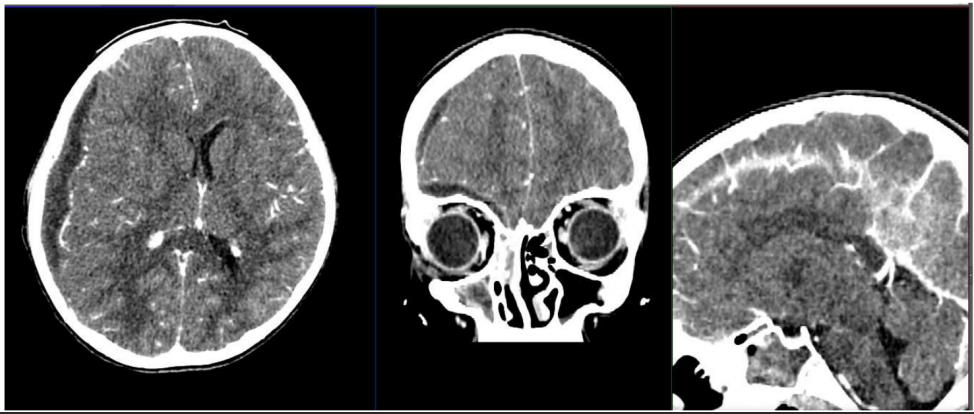
5
Q

A 8-month-old infant was sent for imaging (figures) by his pediatrician because of irritability, poor feeding, and macrocephaly with a
bulging fontanel. The preceding pregnancy and delivery had been unremarkable. The infant had been well up until this presentation,
and review of systems was noncontributory. What additional diagnostic investigation is indicated?
O Blood lead level
O Measurement of parents’ head circumferences
O Urine amino acids
O Pyloric ultrasound
) Dilated funduscopic examination

A

Dilated funduscopic examination

How well did you know this?
1
Not at all
2
3
4
5
Perfectly
6
Q

A 6-year-old with Down syndrome has a skull defect that has been present since birth (Figures 1 & 2). What is the correct diagnosis?
a. Aplasia cutis congenita
b. Acute skull fracture
c. Dermoid cyst
d. Healed skull fracture
e. Bilateral parietal foramina

A

Bilateral parietal foramina

How well did you know this?
1
Not at all
2
3
4
5
Perfectly
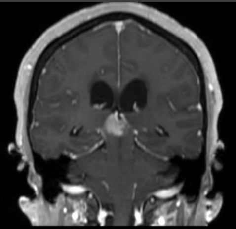
7
Q

A pineal mass was completely resected and the pathologist diagnoses a mature teratoma. What is the best treatment for this patient?
O Observation
O Fractionated local radiation therapy
O Craniospinal irradiation
O Radiosurgery to the resection cavity
O
Chemotherapy

A

Observation

How well did you know this?
1
Not at all
2
3
4
5
Perfectly
8
Q

A 14-year-old female presents with progressive difficulty writing. An MRI (figure) shows multiple nodular areas
running along the cervical nerve roots and brachial plexus. Examination of her eyes also shows iris harmartomas.
What is the most likely diagnosis?
O Tuberous sclerosis
O Ataxia-telangiectasia
O Neurofibromatosis-2
O Von Hippel-Lindau
O Neurofibromatosis-1

A

Neurofibromatosis-1

How well did you know this?
1
Not at all
2
3
4
5
Perfectly
9
Q

In a patient with the MRI shown in the figure, a tumor in what other location would increase the probability of germinoma?
a Frontal lobe
b Suprasellar region
c Fourth ventricle
d Brainstem
e Orbit

A

Suprasellar region

How well did you know this?
1
Not at all
2
3
4
5
Perfectly
10
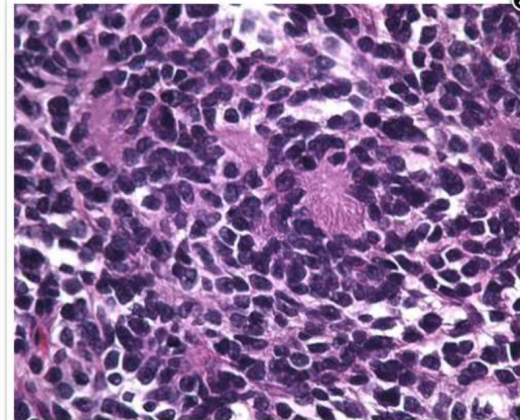
Q

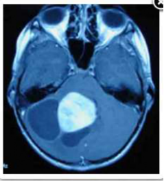
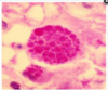
A 4-year-old male presents with new onset headaches, nausea, and vomiting and is found to have a posterior fossa tumor. The tumor
is resected and the histopathologic specimen is shown (figure 1). Which of the following is the most likely diagnosis?
O Pilocytic astrocytoma
O Glioblastoma multiforme
o Pilomyxoid astrocytoma
Ependymoma
O Medulloblastoma

A

Medulloblastoma

How well did you know this?
1
Not at all
2
3
4
5
Perfectly
11
Q

A 9 year-old girl visits her optometrist because of a 1-month progressive history of blurry vision and headaches. The optometrist notes
papilledema. Imaging is obtained. What course of action is indicated?
a. Conformal radiation therapy
b. LP shunt insertion
c. Lumbar puncture for cytology and markers
d. Endoscopic third ventriculostomy
e. Stereotactic biopsy

A

Endoscopic third ventriculostomy

How well did you know this?
1
Not at all
2
3
4
5
Perfectly
12
Q

An 8-month-old girl with developmental delay presents to the emergency department with new onset seizure activity. On exam, the patient has slightly reduced
muscular tone in the left upper and lower extremities. A non-contrast MRI is obtained (figure). What is the most likely diagnosis?
O Arachnoid cyst
O Lissencephaly
O Schizencephaly
O Porencephalic cyst
O Holoprosencephaly

A

Schizencephaly

How well did you know this?
1
Not at all
2
3
4
5
Perfectly
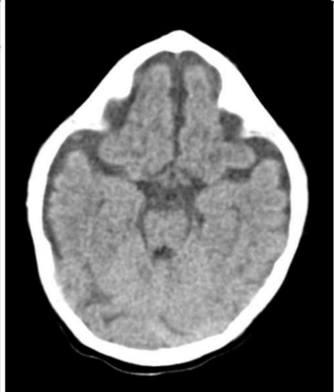
13
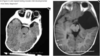
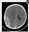
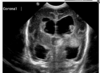
Q

A 12-year-old African-American male with a history of asthma presents with fever, lethargy, seizure activity, and left hemiparesis.
Inflammatory markers are elevated. After stabilization, a CT head with contrast is obtained (figure). What is the most appropriate next
step in management?
O Lumbar puncture
O Craniotomy / craniectomy
O Burrholes
O sinus surgery
O Bedside subdural drain

A

Craniotomy

How well did you know this?
1
Not at all
2
3
4
5
Perfectly
14
Q

Which of the following answers most appropriately pairs a sign or symptom of hydrocephalus (or shunt malfunction in the setting of a patient with a shunt) and an
appropriate age or patient population?
a. Child - tense fontanel
b. Child - decline in IQ or school performance
c. Adult - progressive macrocephaly
d. Infant - visual loss
e. Adult - suture splayin

A

Child - decline in IQ or school performance

How well did you know this?
1
Not at all
2
3
4
5
Perfectly
15
Q

An 8 year-old child with a history of myelomeningocele presents with progressive back pain, scoliosis, right calf numbness, right leg weakness, incontinence, and
bladder spasticity. Which of her symptoms is most likely to improve following a third untethering procedure?
a. Back pain
b. Scoliosis
c. Bladder spasticity
d. Leg numbness
e. Leg weakness

A

Back pain

How well did you know this?
1
Not at all
2
3
4
5
Perfectly
16
Q

A 10-year-old boy presents with headache and imbalance. Examination discloses mild papilledema, right-sided dysmetria, and ataxia €
MRI with contrast is shown in the figure. What is the most important prognostic factor for this patient?
O The extent of resection of the cyst walls
O The presence of hydrocephalus at presentation
O The extent of resection of the enhancing mass
O The presence of endothelial proliferation on histology
O The presence of mitoses on histology

A

The extent of resection of theenhancing mass

How well did you know this?
1
Not at all
2
3
4
5
Perfectly
17
Q

A 16-year-old presents with headaches, nausea, and blurred vision. His neurological examination is remarkable for impaired upgaze and convergence nystagmus. Contrast-enhanced MRI of the brain is shown (figure). Serum beta-HCG and alpha-fetoprotein levels are normal. What is the most likely diagnosis?
a. Endodermal sinus tumor
b. Embryonal carcinoma
c. Choriocarcinoma
d. Meningioma
e. Germinoma

A

Germinoma

How well did you know this?
1
Not at all
2
3
4
5
Perfectly
18
Q

A 6-year-old female presents with progressive hemiparesthesia, hemiparesis, and sixth nerve palsy, all on the right side. Her CT and
MRI are shown (figures). What is the most likely diagnosis?
a. Meningioma
b. Choroid plexus papillo
c. Choroid plexus carcinoma
d. Central neurocytoma
e. Ependymoma

A

Ependymoma

How well did you know this?
1
Not at all
2
3
4
5
Perfectly
19
Q

A 14-year-old male presented with months of slowly worsening tingling in his hands. His exam was
intact. Diagnostic work-up included an MRI of the cervical and thoracic spine (figure). What is the most
likely diagnosis?
Hemangiopericytoma
Ependymoma
Neuroblastoma
Astrocytoma
Neurofibroma

A

Ependymoma

How well did you know this?
1
Not at all
2
3
4
5
Perfectly
20
Q

What is a known possible side effect of corpus callosotomy for epilepsy?
a. Hemiplegia
b. Gerstmann syndrome
c. Hemibalismus
d. Disconnection syndrome
e. Superficial cerebral hemosiderosis

A

Disconnection syndrome

How well did you know this?
1
Not at all
2
3
4
5
Perfectly
21
Q

A Central American patient presents with new onset seizures. CT shows hydrocephalus, and muitiple calcified lesions. MRI
demonstrates rim-enhancing cysts throughout the brain. What is the most likely etiology?
O Entamoeba histolytica
O Schistosoma mansoni
O Toxoplasma gondii
O Taenia solium
O Plasmodium falciparum

A

Taenia solium

How well did you know this?
1
Not at all
2
3
4
5
Perfectly
22
Q

Which of the following is the most effective sedative for pediatric trauma with severe traumatic brain injury and increased intracranial pressure?
a. Propofol
b. Thiopental
c. Fentanyl
d. Sevoflurane
e. Dexmedetomidine

A

Fentanyl

How well did you know this?
1
Not at all
2
3
4
5
Perfectly
23
Q

The axial noncontrast head CT (obtained for unrelated reasons) shown from an affected neonate results from which of the following
deformities?
a. Metopic synostosis
b. Unicoronal synostosis
c. Bicoronal synostosis
d. Lambdoid synostosis
e. Sagittal synostosis

A

Metopic synostosis

How well did you know this?
1
Not at all
2
3
4
5
Perfectly
24
Q

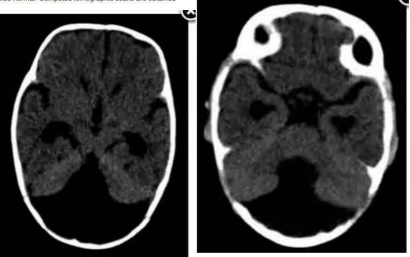
A 6-month-old infant presents with enlarging head circumference, full anterior fontanelle, splitting of the cranial sutures and developmental delay. The results of a neurological examination are otherwise normal. Computed tomographic scans are obtained
(Figures 1 and 2). What is the most likely diagnosis?
a. Dandy-Walker malformation
b. Chiari Il malformation
c. Retrocerebellar arachnoid cyst
d. Aqueductal stenosis

A

Dandy-Walker malformation

How well did you know this?
1
Not at all
2
3
4
5
Perfectly
25
An asymptmatic 2-year-old child with macrocephaly has the finding seen on CT (Figure 1). He has no signs or symptoms of increased intracranial pressure. Six months later, a routine follow-up MR is obtained (Figure 2) and repeat testing reveals mild developmental delay and early papilledema. There is no diffusion restriction. What is the most likely diagnosis? O Abscess O Arachnoid cyst O Astrocytoma O Encephalomalacia O Epidermoid
Arachnoid cyst
26
A 5-year-old undergoes surgical resection of a posterior fossa medulloblastoma followed by chemotherapy and total neuroaxis radiotherapy, with a boost to the posterior fossa. Which endocrinological complication is most likely after radiotherapy for a posterior fossa tumor in childhood? a. Growth Hormone Deficiency b. Cushing's Syndrome c. Addison's Syndrome d. Growth Hormone Excess e. Diabetes Insipidus
Growth Hormone Deficiency
27
A7-year-old female presents with worsening gait disturbance and upper back pain. A spinal MRI is shown. After surgical exposure, frozen specimen analysis suggests juvenile pilocytic astrocytoma. What is the next best step in intraoperative management? a. Duraplasty and laminoplasty with no further tumor resection b. Multiple sample biopsies for diagnostic confirmation c. Gross total resection along the tumor capsule d. Internal debulking and resection until the normal-abnormal boundary is indistinct e. Divide dentate ligaments to permit spinal cord rotation
Internal debulking and resection until the normal-abnormal boundary is indistinct
28
A 15 year-old boy complains of neck pain and intermittent pain about his lumbar myelomeningocele scar. A recent shunt series shows no disconnection and a head CT shows small dysmorphic ventricles. On exam, the patients is neurologically stable with chronic weakness of ankle dorsiflexion. What is the most likely source of the patient's symptoms? O Tethered spinal cord. O Aseptic Meningitis. O Ventriculoperitoneal shunt infection. O Chiari Il malformation. O Ventricloperitoneal shunt malfunction
Ventricloperitoneal shunt malfunction.
29
A9 month old boy presents with single sutural synostosis (figure 1). On exam his fontanelle is closed and there is no papilledema. What associated finding may be diagnosed in this patient? a. Tethered cord syndrome b. Chiari type Il malformation c. Dandy-Walker malformation d. Increased intracranial pressure e. Syringomyelia
Increased intracranial pressure
30
A 9 month old male with no significant medical history presents with one week of progressive irritability and emesis. There is no reported history of trauma. Examination shows a well-developed, irritable infant with a full fontanelle but without focal neurologic deficits. He has no external signs of trauma. Head circumference has increased from the 65th percentile to the 92nd percentile since his 6-month visit. Non-contrast head computed tomography (CT) is shown. What is the most likely diagnosis? a. Benign enlargement of the subarachnoid spaces b. Non-accidental trauma c. Subdural empyema d. Ruptured arachnoid cyst e. Intracranial hypotension
Non-accidental trauma
31
What finding is more frequently associated with nasal and occipital dermoid cysts compared to other locations? a. superinfection b. Cyst rupture c. Malignant transformation d. Intracranial extension e. Hydrocephalus
Intracranial extension Cyst rupture
32
A 19-year-old man has suffered from complex-partial seizures since the age of 13. He has failed a trial of two anti-epileptic medications. His brain MRI reveals no focal abnormalities. What is the most appropriate next step in management? Evaluation by surgical epilepsy team for possible resective options Initiation of ketogenic diet Addition of cannabidiol (CBD oil), a cannabis derivative Addition of a third anti-epileptic medication Implantation of a vagus nerve stimulator
Evaluation by surgical epilepsy team for possible resective options
33
During a pterional exposure of the sylvian fissure, you encounter significant brain swelling. In order to achieve rapid brain relaxation identify the most appropriate point on the associated figure through which to place a ventriculosotomy and access the frontal hom of the lateral ventricle a. 5 b. 3 c. 2 d. 4 e. 1
2
34
An 8-year-old boy was evaluated due to short stature and headaches. Sagittal MRI with contrast (figure) is most consistent with what diagnosis? Arachnoid cyst Pituitary macroadenoma Germinoma Medulloblastoma Craniopharyngioma
Craniopharyngioma
35
What is the definitive treatment of atlanto-occipital dislocation (AOD)? a. Observation with serial radiographs b. Rigid cranio-cervico-thoracic orthosis c. Cranio-cervical internal fixation and fusion d. Cervical traction e. Halo vest immobilization
Cranio-cervical internal fixation and fusion
36
A 15-year-old girl with a history of epilepsy and learning disability presents with vomiting and somnolence. MRI shows obstructive hydrocephalus with a 3 cm calcified, contrast-enhancing intraventricular mass near the foramen of Monro, as well as several small subependymal nodules. Which cutaneous findings are most likely to be observed on physical examination? O café-au-lait spots O Adenoma sebaceum O Axillary freckles O Melanoblastosis cutis linearis (pigmented dermatitis) O Port-wine stain (nevus flammeus)
Adenoma sebaceum
37
A3 month old boy, otherwise healthy with normal prenatal and perinatal history, is brought by his parents for concems they have regarding his head shape. They noticed some asymmetry soon after birth that has become more noticeable over the past few weeks (Fig 1). What is the diagnosis? O Positional plagiocephaly O Coronal synostosis O sagittal synostosis O Lambdoid synostosis O Metopic synostosis
Positional plagiocephaly
38
Which medication has been shown to both reduce the risk of IVH and improve outcome in preterm infants? O vitamin E O Indomethacin O Corticosteroids O Phenobarbital O Ibuprofen
Corticosteroids
39
A10 year old child is referred to your interdisciplinary spasticity clinic. It is determined that he has spasticity as well as significant disabling dystonia in all four extremities, the face, and the neck. His symptoms have been medically refractory. What is the most appropriate treatment? O stereotactic pallidotomy O Botox injections O Intrathecal baclofen therapy O Selective dorsal rhizotomy O Deep brain stimulation
Intrathecal baclofen therapy
40
What is the most common anatomic location of pediatric gangliogliomas? O Frontal lobe O Brainstem O Spinal cord O Temporal lobe O Parietal lobe
Temporal lobe
41
A 3 year old child with moyamoya is scheduled for an encephaloduroarteriosynangiosis (EDAS) indirect bypass. What is the most common cause of new perioperative neurological deficit? O Hyponatremia O Intracranial hemorrhage O Seizure O Cerebral edema O Cerebral ischemia
Cerebral ischemia
42
What is the most common first line of therapy for vein of Galen malformation causing heart failure in children? O Observation O Radiosurgery O Microsurgical treatment O Endovascular treatment O Medical management
Endovascular treatment
43
An 8-year-old male complains of a painful swelling of his left forehead. Its onset was insidious, starting several weeks earlier. Radiographs are shown in Figures 1 and 2. What is the most likely diagnosis? Osteoblastoma Osteoid osteoma O Dermoid cyst O Eosinophic granuloma O Fibrous dysplasia
Eosinophic granuloma
44
An ultrasound of a 29-year-old pregnant woman reveals a lumbar myelomeningocele in the fetus. What is the primary difference in outcome for fetal myelomeningocele repair as opposed to post-natal repair? O The chance of maternal pregnancy complications is not affected O The rate of shunt placement for hydrocephalus decreases O The odds of walking without devices or braces decreases O The risk of symptomatic hindbrain herniation increases O The likelihood of premature birth is not affected
The rate of shunt placement for hydrocephalus decreases
45
What primary intracranial tumor type has the highest frequency of BRAF-V600E mutations? O Gangliogliomas O Pituitary adenomas O Meningiomas O Glioblastomas O Schwannomas
Gangliogliomas
46
A 10 year old boy presents with loss of consciousness followed by a lucid interval following a closed head injury. A head CT is shown (figure). Damage to which of the following vessels is most likely responsible for the imaging findings? O Middle meningeal artery O Superficial temporal artery O Cerebral bridging vein O Vein of Labbe O Middle cerebral artery
Middle meningeal artery
47
A 6-month-old girl with a lipomyelomeningocele is undergoing surgical detethering of their lumbar lipoma, filum sectioning, arachnoid adhesion lysis, and aggressive debulking of the intradural lipoma to the margins of the neural placode. What is the next surgical step? O Primary dural closure with a nonabsorbable monofilament suture O Further lipoma resection until a gross total resection is achieved O Pial closure and tubularization of the placode/distal cord O Primary dural closure with an absorbable, braided suture O Patch-graft duraplasty
Pial closure and tubularization of the placode/distal cord
48
A 16 year-old man with Down syndrome wishes to participate in the Special Olympics. Which of the following is recommended to screen for risk of injury? O EMG/NCYV of single upper and lower extremity O Cervical spine x-rays O Cranial CT O Neurological exam O MRI scan of the cervical spine
Cervical spine x-rays
49
An 8-year-old girl presents with obstructive triventricular hydrocephalus requiring endoscopic exploration of the ventricular system. What is the most appropriate site for surgical fenestration? O Third ventricle fioor anterior to the infundibular recess O Septum pellucidum superior to the fornices O Pineal recess O Third ventricle floor anterior to the mammillary bodies O Lamina terminalis above the suprachiasmatic recess
Third ventricle floor anterior to the mammillary bodies
50
A 4-week-old, 26 week premature infant presents with a Grade IV intraventricular hemorthage and posthemorrhagic hydrocephalus (Figure 1). Examination reveals stable vital signs, normal head circumference growth curve, and soft anterior fontanelle. Weight is 1.2 kg. What is the best initial management of the hydrocephalus? O Creation of a permanent ventriculoperitoneal shunt O Placement of external ventricular drain O Serial lumbar punctures O Serial cranial ultrasounds with daily head circumference measurements O Placement of a ventricular reservoir
Serial cranial ultrasounds with daily head circumference measurements
51
A 16 year-old severe traumatic brain injury patient is on continuous IV propofol for ICP/CPP management. He develops a low urine output, mild fever, and blood drawn for laboratory analysis is cloudy. A diagnosis of propofol infusion syndrome is proposed. What laboratory value will best confirm the diagnosis? O serum creatinine 1.2 O Serum triglyceride 100 O Serum creatine kinase 75,000 O ABG pH7.35 O Serum potassium of 3.4
Serum creatine kinase 75,000
52
An 18 year old functionally independent girl with tuberous sclerosis presents with progressive headaches. Imaging is shown (figure). What is the best treatment option for this patient? O Interhemispheric transcallosal resection O Everolimus therapy O Transcortical transventricular resection O stereotactic radiosurgery O Observation
Everolimus therapy
53
‘A9 month old boy presents with scaphocephaly. X-rays confirm a sagittal synostosis. He a history of reflux disease that the family is treating with antacids. He is exclusively breast fed and his height and weight are in the 10th percentile, although occipitofrontal circumference is 80th percentile. In this case, which associated diagnosis is most likely? O Prader-Willi Syndrome O Rickets O Congenital Adrenal Hyperplasia O Congenital Heart Disease O Celiac Sprue
Rickets
54
Which of the following is the most likely postoperative deficit seen in a right-handed 17-year-old male undergoing a left anterior temporal lobectomy for treatment of his medically-refractory epilepsy secondary to mesial temporal sclerosis? O Left hemiparesis O Cranial nerve lil palsy O Right sided sensorimotor apraxia O Left superior quadrantanopsia O Language and verbal memory deficits
Language and verbal memory deficits
55
A 17-year-old male presented with a heterogeneously contrast-enhancing mass within the spinal cord causing significant spinal cord expansion and compression. After laminectomy, an expansile intramedullary mass that appeared highly vascularized and infiltrative was found. A frozen section showed glioblastoma. What is the most appropriate next step in management? a. Gross total resection b. Partial resection c. En bloc resection d. Duraplasty without resection e. Primary dural closure without resection
Duraplasty without resection
56
An 8 year-old presents with a small dimple located at the nasion which intermittently drains. MR imaging shows that this lesion does extend intracranially. His pastmedical history is significant for two bouts of meningitis. What is the most common organism which causes meningitis in these cases? O Staphylococcus aureus O Propionibacterium acnes O Staphylococcus epidermidis O Haemophilis influenzae O Pseudomonas aeruginosa
staphylococcus aureus
57
Hemangioblastomas are tumors characterized by prominent capillary vasculature. What syndrome predisposes an individual to this tumor? O Tuberous sclerosis O Neurofibromatosis type | O Neurofibromatosis type Il O Sturge-Weber O Von Hippel-Lindau
Von Hippel-Lindau
58
A5 year-old boy is brought to your clinic secondary to his parents' concern that his congenital scoliotic curvature is progressing. Scoliosis films are performed demonstrating a unilateral unsegmented bar at T9-10 with a 40% levoscoliosis. What can you tell the parents regarding the cause of this deformation and its natural history? O Embryologic differentiation failure with a low risk of progression of curvature O Neurulation failure with a low risk of progression of curvature O Segmentation failure with a high risk of continued, rapid progression of curvature O Scheuermann disease with a rate of progression less than that with a formation failure O Formation failure with a high risk of continued, rapid progression of curvature
Segmentation failure with a high risk of continued, rapid progression of curvature
59
A 4 year-old boy with a history of congenital hydrocephalus and VP shunt placement near birth presented one week following proximal shunt revision with lethargy, fevers to 38.4 C and erythema along the shunt tract. He underwent complete removal of the VP shunt system and placement of an external ventricular drain. CSF cultures grow MSSA and the patient is started on intravenous oxacillin, when should the shunt be replaced? O After 5 days negative CSF cultures O After 1 day of negative CSF culture O After 21 days of negative CSF cultures O After 10 days of negative CSF cultures O After 3 days negative CSF cultures
After 10 days of negative CSF cuttures
60
A 15 month old infant is brought to the emergency room 4 hours after a fall during which he sustained a cephalohematoma. He is opening his eyes when asked, is crying, and is holding onto a toy. Parents report that he has vomited twice. What is his GCS score? O 15 O Does not apply to children less then 5 years old O 12 O Does not apply to preverbal children O 13
13
61
What molecular subgroup has the best prognosis in a child diagnosed with medulloblastoma? O Group 4 O Group 3 O Large cell O Wnt O Sonic hedgehog (SHH)
Wnt
62
‘Which of the following types of acceleration most likely results in diffuse axonal injury (DAI)? O Translational O Non-linear O Linear O Rotational O Non-rotational
Rotational
63
For which of the following diagnoses associated with hydrocephalus is it safest and most reasonable to perform a lumbar puncture? O Subarachnoid hemorrhage O Aqueductal stenosis O Fourth ventricular ependymoma O Colloid cyst
Subarachnoid hemorrhage
64
A five-year-old right-handed boy has had medically intractable epilepsia partials continua for 4 years. Evaluation demonstrates developmental delay, worsening of verbal IQ and right-sided hemiparesis. EEG demonstrate several epileptogenic foci over the left parietal lobe. MRI imaging is shown. Aside from invasive monitoring, which of the following is the most appropriate surgical treatment? O selective amygdalohippocampectomy O Parietal lobectomy O vagus nerve stimulation O Corpus callosotomy O Functional hemispherectomy
Functional hemispherectomy
65
A 2-month-old full-term previously healthy male presents with obstructive hydrocephalus due to an extensive hemorrhagic posterior fossa mass involving both cerebellar hemispheres and the vermis. Genetic analysis of a biopsy reveals a SMARCB1 / INI deletion in the long arm of chromosome 22 (22q11.2). What is the most likely diagnosis? O Immature teratoma O Atypical teratoid/rhabdoid tumor (AT/RT) O Medulloblastoma O Choroid plexus papilloma (CPP) O WHO grade Il ependymoma
Atypical teratoid/rhabdoid tumor (AT/RT)
66
What is the best estimate of blood volume in a 13 month-old child weighing 10 kilograms? O 1000 mL O 800 mL O 700 mL O 600 mL O 900 mL
700 mL
67
What factor has had the single largest effect on the incidence of myelomeningocele in the United States over the past 30 years? O Decreased use of seizure medication during pregnancy O Antenatal diagnosis followed by termination O Decreased numbers of children being bom O Changes in population demographics O Folate supplementation
Folate supplementation
68
A four-year-old presents with occipital headaches and a lesion on brain MRI. He also has cafe-au-lait spots and axillary freckling. Patients with his disease are most likely to have a tumor in what intracranial location? O Auditory canal O Cerebral cortex O Optic pathway O Cerebellum O Brainstem
Optic pathway
69
What is the etiology of malignant cerebral edema in children after traumatic brain injury? O Nonconvulsive status epilepticus O Acute hydrocephalus O Loss of autoregulation O Cerebral hypoperfusion O Venous sinus thrombosis
Loss of autoregulation
70
Which of the following is most likely to help reduce infections associated with primary ventriculoperitoneal shunt insertion? O Injection of bacitracin in the shunt tract O Administration of post-operative antibiotics for more than 24 hours O Double gloving of OR personnel O Decreasing number of OR personnel O Antibiotic irrigation
Double gloving of OR personnel
71
A 7 year-old girl presents with slowly worsening urinary incontine (after pr sly being continent) and severe back pain radiating to the bottom of her feet. An MRI is shown. What is the most likely diagnosis? a. Fatty filum terminale b. Lipomyelomeninocele c. Diastamatomyelia d. Meningocele e. Myelomeningocele
Lipomyelomeninocele
72
In semilobar holoprosencephaly, brain imaging is most likely to show what findings? O A normal ventricular system and corpus callosum; failed separation of the posterior frontal and parietal lobes; near-normal thalami O A single ventricle; complete lack of corpus callosum and interhemispheric fissure; fused thalami O A single ventricle anteriorly, with some separation of the occipital homs; dysgenesis of the anterior corpus callosum; may or may not have fused thalami O A near-normal ventricular system; lack of the genu of the corpus callosum, with the rest of the corpus callosum identifiable; near-normal thalami O A normal ventricular system, corpus callosum, and thalami
A single ventricle anteriorly, with some separation of the occipital homs; dysgenesis of the anterior corpus callosum; may or may not have fused thalami
73
A newborn presents with seizures. MRI of the brain shows Probst bundles running superomedial to the lateral ventricles. This is indicative of what pathological process? O Agenesis of the corpus callosum O Focal cortical dysplasia O Holoprosencephaly O Kallman's syndrome O Metabolic disorder
Agenesis of the corpus callosum
74
What is the approximate mortality rate of stereotactic brainstem biopsy for suspected brainstem malignancy? O 5% O 10% O 1% O 15% O 20%
1%
75
An 11-month-old female with a history of myelomeningocele repair and ventriculoperitoneal shunt placement presents with new stridor and vocal cord paralysis. What is the most appropriate next step in management? O Observation O Shunt evaluation O Chiari decompression O EEG O Tethered spinal cord release
Shunt evaluation
76
A 4 year old child with symptomatic unilateral moyamoya syndrome was treated with surgical revascularization. At 1-year postoperatively, an angiogram revealed stable arteriopathy and excellent postsurgical collateral development. Cerebral blood flow studies show normalization of flow and clinically the child is symptom-free. What is the appropriate follow-up plan? O Clinical visits annually with detailed neurologic examinations and MRI/MRA annually for 5 years O No follow-up is needed. O Clinical visits annually with detailed neurologic examination, but no imaging is needed O Clinical visits with annual CT imaging O Clinical visits or imaging only if symptoms recur, otherwise just routine follow-up with the pediatrician
Clinical visits annually with detailed neurologic examinations and MRI/MRA annually for 5 years
77
A 14 year-old is involved in a MVC and does not lose consciousness. He has a GCS of 15 and no focal deficits on neurological exam. He has no other injuries. His toxicology screen is negative. You remove his collar, and he has no palpable spinal tendemess or pain with range of motion. The correct next step would be which of the following? O Remove the cervical collar and backboard O Obtain adequate cervical spine x-rays O Send patient for a CT scan of the cervical spine O Send patient for a MRI of the cervical spine O Obtain flexion/extension cervical spine x-ray
Remove the cervical collar and backboard
78
You are called to the NICU to see a 1 day old child who appears as demonstrated in figures 1 and 3. His CT scan is shown in figure 2 He has been stable, although with occasional apnea when agitated. On exam, he has a bulging fontanelle. His parents wish to pursue aggressive care. When should he undergo a cranial vault procedure? a. At 24 months of age b. In the next several days. c. At 6 months of age. d. At 18 months of age e. At 12 months of age
In the next several days.
79
A 4-year-old boy presents with progressive gait dysfunction, headache, and vomiting. A CT shows hyperdense areas suggestive of calcification. The MRI is shown (figures). What is the most likely diagnosis? a. Choroid plexus papilloma b. Pilocytic astrocytoma c. Medulloblastoma d. Atypical teratoid / rhabdoid tumor (AT/RT) e. Ependymoma
Ependymoma
80
A 12 year-old with Down syndrome has abnormal flexion-extension cervical spine x-rays. The child has no significant neurologic complaints or neck pain. On exam, the child has full range of motion and no tenderness to palpation. The flexion-extension x-rays show a 7-8 mm atlantodental interval in flexion which reduces to 4 mm in extension. What is the most appropriate next step? O c1-2 transarticular screw placement and autologous fusion O Occipital cervical fusion with sublaminar wires O Observation with no repeat imaging necessary O C1-2 wiring with halo placement and autologous fusion O Observation with repeat flexion-extension in the future
Observation with repeat flexion-extension in the future
81
What is the most common side effect of vagus nerve stimulation? O cardiac arrhythmia O Voice hoarseness O Dyspnea O Dyspepsia O Wound infection
Voice hoarseness
82
A 5-month-old infant was a passenger in a car seat in a high-speed crash resulting in ejection. On exam, she only demonstrates right € parietal scalp swelling. A head CT scan shows separation of the lambdoid suture and faint hypodensity in the subjacent brain (Figure 1). CT scanning of the cervical spine and other routine trauma investigations were negative. She was discharged in stable condition after 1 day. Which of the following is the most active concemn for outpatient follow-up? O Traumatic meningoencephalocele O Atlanto-occipital instability O Hypopituitarism (U Chronic subdural hematoma O Hydrocephalus
Traumatic meningoencephalocele
83
A 28-year-old with NF-1 has progressive headaches. Axial and coronal T1-weighted MR images with gadolinium are shown (Figures 1 and 2). The next morning she becomes suddenly unresponsive with a dilated right pupil. What is the most likely diagnosis? O Ganglioglioma O Meningioma O Metastatic tumor O High-grade astrocytoma O Pilocytic astrocytoma
High-grade astrocytoma
84
What is the most likely diagnosis demonstrated by the findings in the MRI images shown (see figures)? a Basilar invagination b Multiple sclerosis c Pilocytic astrocytoma d Chordoma e Chiari 1 malformation with syrinx
85
A 10-year-old girl was playing outside when she fell and landed on her head. She experienced complete loss of motor and sensory function from the neck down that resolved over the next 15 minutes. A CT is shown (figure). What is the most appropriate treatment? a External Rigid Collar b Observation c Transoral odontoidectomy d External Halo vest immobilization for 6-12 weeks e Posterior C1-2 fusion
86
The tumor represented in this photomicrograph most frequently occurs in association with what condition? O Turcot syndrome O Tuberous sclerosis O Neurofibromatosis-2 O Von Hippel-Lindau syndrome O Sturge-Weber syndrome
Neurofibromatosis-2
87
After being struck in the head, a 12 year old boy presents with a scalp laceration over a palpable skull deformity. A CT scan is obtained (Figure 1). His GCS is 14 (E3, M6, V5). What is the most appropriate management for this injury? a Surgical exploration, fracture elevation, and debridement b Bedside irrigation, debridement, and wound closure c Venticulostomy for ICP management d Allow wound to heal by secondary intention e Bedside wound closure and IV antibiotics
Surgical exploration, fracture elevation, and debridement
88
What lype.a tumor harbors the histopathological structure seen in the figure? O Ependymoma O Glioblastoma O Pilomyxoid astrocytoma O Pleomorphic xanthoastrocytoma O Anaplastic oligodendroglioma
Pleomorphic xanthoastrocytoma
89
6-year-old girl presents with a deviated gluteal skin fold and lumbosacral dimple. A representative axial T1 non-contrast image from the patient’s lumbar MRI is shown (figure). If she is symptomatic, which is most likely? O Flat feet O L5 paresthesias O Hypotonia O Urinary incontinence O Anterior thigh pain
Urinary incontinence
90
A 7-year-old child with a two week history of difficulty walking, dysarthric speech and facial weakness has the MRI shown in the figure What is the most appropriate initial treatment? Chemotherapy. O Gamma-knife Surgical debulking Conformal radiotherapy. Whole-brain radiation
91
A 4-week-old was transferred to the Trauma Service from an outlying emergency department after an evaluation for a seizure that included a CT scan of the head (Figure 1). What additional diagnostic investigation is most appropriate? Cerebral angiography ) Urine amino acids O Echocardiography O Lumbar puncture O Skeletal survey
Echocardiography
92
A patient who was shunted for hydrocephalus after intracerebral hemorrhage presents with severe headaches. Head CT is shown What is the most likely diagnosis? a Shunt malfunction b New intracranial hemorrhage c Post-hemorrhagic headache syndrome d Overdrainage e Shunt infection
Overdrainage
93
An 8 year-old presents after an accident in gymnastics. He felt the immediate onset of sharp pain behind his right ear after a fall. In the emergency department an hour later he was neurologically intact. However, his head was immobile, being rotated to the right and tilted to the left with the left ear touching the left shoulder. A CT scan of the cervical spine was abnormal (Figure 1). What is the most appropriate initial treatment? Thermoplastic Minerva jacket O 15 pounds of cervical traction () Rigid cervical orthosis Open reduction and Harms fusion O Brooks fusion in situ with halo-vest immobilization
94
A 15 year-old male presents with severe low back pain. The pain responds poorly to acetaminophen but responds well to aspirin. CT demonstrates a 1.5 cm dense lytic lesion with a calcified nidus and circumferential sclerosis (figure). What is the diagnosis? O Osteoid osteoma O Fibrous dysplasia O Hemangioma O Oteoblastoma () Osteochondroma
Osteoid osteoma
95
A 9-year-old male presented to his pediatrician with headaches and growth delay. He was found to have tumor in the region of the sella. Histology is shown. What is the most likely diagnosis: O Pituitary adenoma. O Craniopharyngioma. O Pilocytic astrocytoma. O Hypothalamic hamartoma. O Colloid cyst.
Craniopharyngioma.
96
A6 year-old girl presents with progressive scoliosis. Physical examination reveals a club foot and a midline hairy nevus in the lumbar region. MRI is shown (Figure 1). What is the most likely diagnosis? a Neurenteric cyst b Diastematomyelia c Lipomyelomeningocele d Myelomeningocele e Dermal sinus tract
Diastematomyelia c
97
A 15-year-old presents with an incidental finding (figure). What is the most appropriate management strategy? O Surgical resection of the mural nodule and entire cyst wall. O surgical resection of the mural nodule with a 1 cm margin O surgical resection of the mural nodule with biopsy proven, tumor positive, cyst wall O Surgical resection of the mural nodule O Drainage of the cyst to relieve mass effect
Surgical resection of the mural nodule and entire cyst wall.
98
A 19 year old male presents with tussive headaches located at the posterior base of the skull. Neurologic examination reveals weakness of the hands bilaterally with hypesthesia. MR of the brain and cervical spine are shown in the figures. What is the best initial management strategy for this presentation? O Ventriculoperitoneal shunt O syringo-subarachnoid shunt O Posterior cervical decompression O Posterior fossa decompression O Anterior transoral odontoid resection
Posterior fossa decompression