Define the Fundus
The back portion of the interior of the globe as seen through the pupil via an ophthalmoscope.
[key to note that you know the fundus isn’t just the retina - it’s everything you can see at the back of the eye including but not limited to structures such as vessels and the choroid.]
What is the limit of the fundus? (i.e. where the retina joins the ciliary body)
Ora serrata
Which components of the eye join at the ora serrata?
Retina joins the ciliary body at the equator of the eye
What is the maximum percent of the fundus an ophthalmoscope allow us to see?
65-70%
[if you are really skilled and the patient has a decent sized pupil]
What technique allows for a full (100%) view of the fundus?
Scleral indentation (can see all the way around into the periphery). Here an instrument is pressed onto the side of the eyeball thus pushing the fundus into view of the direct ophthalmoscope.
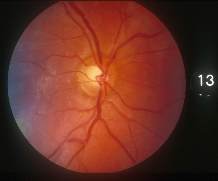
Which two things does the orange/red background of the fundus as seen from the pupil arise from?
What is the choriocapillaris?
The dense network of choroidal capillaries. [It provides blood supply to retina].
What two things does the amount of light directly reflected from the choroidal blood vessels and transmitted through the choroidal blood vessels depend on? (i.e. what does the brightness of the fundus background depend on?)
[Important to note fundus background is highly variable]
What type of appearance does a fundus have if there is a lot of pigment in the choroid?
Brown and dim
What is a property of most of the fundus/retinal layers in a healthy eye?
That they are transparent and thus do not contribute to the fundus appearance all. All we see is the blood vessels in the retina and layers behind the retina.
What retinal layer does contribute to a typical fundus appearance?
The internal limiting membrane = between the retina and vitreous
What appearance does the internal limiting membrane layer of the retina have?
Appearance of ‘‘watered silk’‘/shiny especially in younger people, as although its transparent it reflects the ophthalmoscope beam.
What are the three different types of normal fundus which are just present due to physiological differences between people?
what are the three types of uniform stippled types of fundus appearance
what does a uniform stippled fundus look like
like its made up of lots of little dots or coloured, looking speckled
What are the two reasons for a dark or negroid appearance of a fundus?

What are the two reasons for a medium or Caucasian fundus appearance?

What are the two reasons for a light or blonde fundus appearance?

What does the light pigmentation of the RPE and choroid in a light or blonde fundus result in, in regards to its appearance?

What are the two reasons for a tessellated or tigroid fundus appearance?

What is the reason for an albinotic fundus appearance?
Virtually no pigment in RPE or choroid, so can see through layers of the choroid and RPE thus blood vessels of underlying choroidal circulation can be seen too.

What 4 things does the degree of pigmentation in the retina depend on and explain whether the degree of pigmentation is uniform across the whole retina
[you can have more than one type of fundus background in the same eye, degree of pigmentation of retina and choroid don’t always run parallel- e.g. can have a highly pigmented retina but low pigmented choroid]
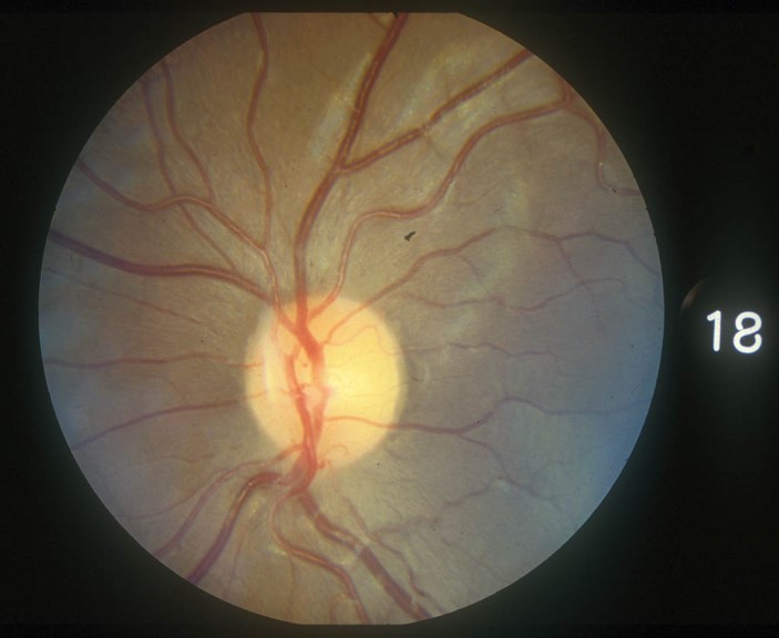
Define the optic disc
The ophthalmoscopic view of the optic nerve head

What are the 8 main features of the optic disc you assess?