Normal specimens Flashcards

(14 cards)

1
Q

Most common stains, what they stain for

A

H+E
Composed of Haematoxylin and Eosin
Haematoxylin - stains nucleic acid/nucleus → BLUE
Eosin - stains proteins, collagen, fibrin, keratin → RED

How well did you know this?
1
Not at all
2
3
4
5
Perfectly
2
Q

Other stains
a) Trichome stain
b) Ziehl-Neelson stain
c) Elastin Ponceua stain

A

a) Stains collagen BLUE, muscle and fibrin strands RED
b) Stains TB bacteria PINK
c) Stains elastin BLACK (in the alveoli)

How well did you know this?
1
Not at all
2
3
4
5
Perfectly
3
Q

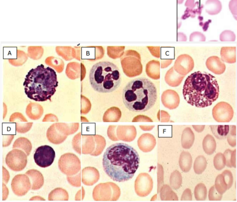
Identify A-F (and additional pic)

A

A - Basophil
B - Neutrophil
C - Eosinophil
D - Lymphocyte
E - Monocyte
F - RBCs
(G) - Platelets

How well did you know this?
1
Not at all
2
3
4
5
Perfectly
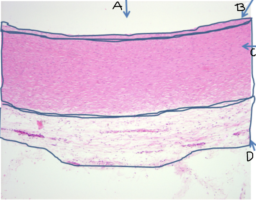
4
Q

Identify specimen and features A-D

A

Artery
A - Lumen of vessel
B - Tunica intima, endothelial cells (flat) and internal elastic lamina
C - Tunica media, vascular smooth muscle cells
D - Tunica adventitia, external elastic lamina and connective tissue (and blood vessels)

How well did you know this?
1
Not at all
2
3
4
5
Perfectly
5
Q

Identify tissue and features A-E

A

Uterus
A - Stroma, contains ‘supporting cells’ like fibroblasts, endothelial cells of blood vessels
B - luminal surface, lined by epithelial cells
C - lumen
D+E - Uterine gland (lined by epithelium)

How well did you know this?
1
Not at all
2
3
4
5
Perfectly
6
Q

Itentify specimen and features A-F

A

Uterine cervix
A - Stroma, the supporting connective tissue surrounding cervical glands
B - Columnar/glandular epithelium, lines ENDOCERVIX, a single layer of cells with nuclei at the basal aspect
C - Superficial cells, flatten to form squamous epithelial cell, mature cells exfoliate
D - Intermediate cells, large amount of glycogen (pale staining)
E - Supra-basal cells, basal layer mells migrate towards surface (no proliferation)
F - Basal proliferative layer, contains driving stem cells

How well did you know this?
1
Not at all
2
3
4
5
Perfectly
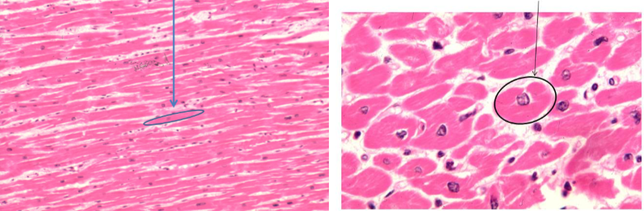
7
Q

Identify specimen and features A+B

A

Heart myocardium
A - Cardiomyocyte (seen longitudinally), nucleus in centre
B - Cardiomyocyte (seen in cross-section), nucelus in centre

How well did you know this?
1
Not at all
2
3
4
5
Perfectly
8
Q

Itentify specimen and features A-D

A

Lung
A - Small artery/arteriole, lined by endothelial cells (can’t see at this magnification)
B - Bronchiole, lined by mucosal epithelial cells (PURPLE)
C - Alveoli filled with air, very thin wall lined with epithelial cells and contains capillaries (can’t see at this magnification)
D - Collection of lymphocytes

How well did you know this?
1
Not at all
2
3
4
5
Perfectly
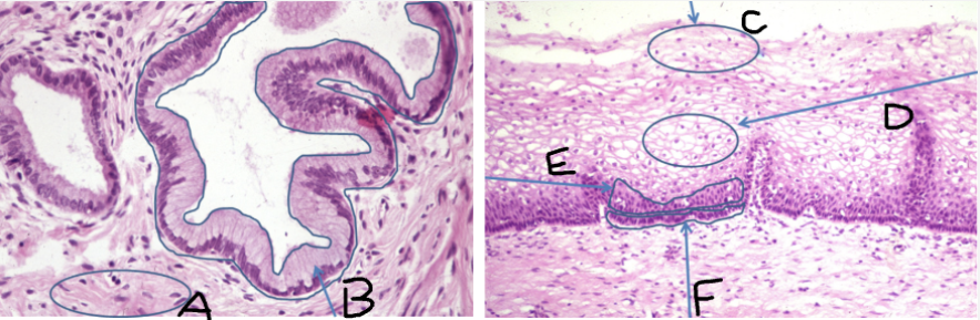
9
Q

Identify specimen and features A-F

A

Large intestine
A - Lumen
B - Goblet cell
C - Gland cut in cross section, opens into the lumen
D - Muscularis mucosae, thin strip of muscle supporting mucosal layer
E - Submucosa, outer serosal layer, lies beneath mucosa and the supporting muscularis mucosae
F - Base of the glands cut in cross section

How well did you know this?
1
Not at all
2
3
4
5
Perfectly
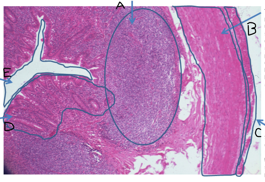
10
Q

Identify specimen and features A-E

A

Appendix
A - Patch of lymphocytes, found beneath mucosal layer (Mucosal Associated Lymphoid Tissue)
B - Muscularis propria, muscular layer that supports intestine, responsible for peristalsis, has circular and longitudinal layers
C - Serosa, outer surface facing peritoneum
D - Mucosal layer, can see pale droplets of mucin within goblet cells
E - Lumen of intestine

How well did you know this?
1
Not at all
2
3
4
5
Perfectly
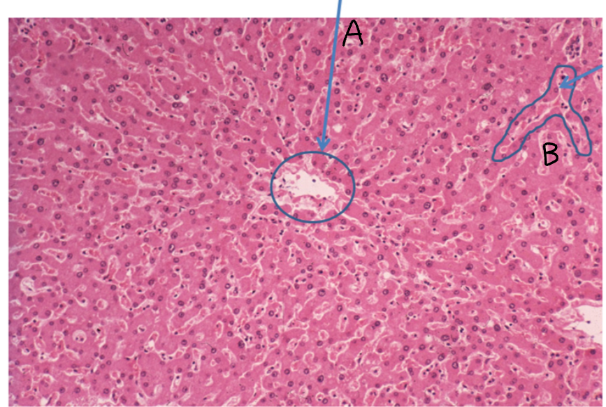
11
Q

Identify specimen and features A+B

A

Liver
A - Central vein, blood leaves liver and re-enters circulation (another seen bottom right)
B - Sinusoid, blood flows into liver via portal vein from intestine and from hepatic artery, then flows through sinusoid into central vein

How well did you know this?
1
Not at all
2
3
4
5
Perfectly
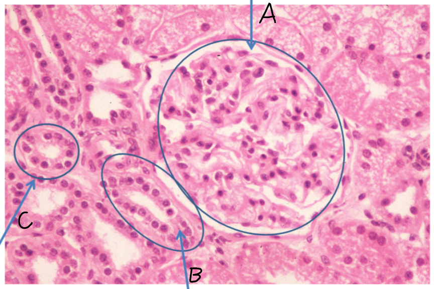
12
Q

Identify specimen and features A-C

A

Kidney glomerulus
A - Glomerulus, formed from folded blood vessels
B+C - Renal tubule, lined with cuboidal epithelium

How well did you know this?
1
Not at all
2
3
4
5
Perfectly
13
Q

Identify specimen and features A+B

A

Thyroid
A - Colloid, pink-staining and gelatinous, precursor to thyroid hormones
B - Follicle, spherical layer of simple epithelial cells, lumen contains colloid. When cells stimulated by TSH, colloid taken up by the cells and converted to T3 and T4

How well did you know this?
1
Not at all
2
3
4
5
Perfectly
14
Q

Identify specimen and features A-C

A

Brain cerebrum
A - Grey matter, contains neuron bodies and supporting neuroglial cells
B - Blood vessel
C - White matter, contains nerve fibre tracts (cytoplasmic extensions of neurons) and supporting neuroglial cells

How well did you know this?
1
Not at all
2
3
4
5
Perfectly