Nucleic Acid Structure, Chromosomes, and Replication Quiz: Flashcards

(32 cards)

1
Q

What is the distinguishing element in nucleic acids?

A

The distinguishing element in nucleic acids (DNA and RNA) is Phosphorus (P), found in the phosphate groups that form the sugar-phosphate backbone, making them unique from other biological macromolecules like proteins or carbohydrates which lack phosphorus. While nucleic acids contain Carbon (C), Hydrogen (H), Oxygen (O), and Nitrogen (N) like other organic molecules, phosphorus is the key element specific to DNA and RNA.

How well did you know this?
1
Not at all
2
3
4
5
Perfectly
2
Q

The monomer of a nucleic acid is called a nucleotide. There are three components in a nucleotide; what are they?

A

A nucleotide, the building block of DNA and RNA, consists of three core components: a phosphate group, a pentose (five-carbon) sugar (deoxyribose in DNA, ribose in RNA), and a nitrogenous base (Adenine, Guanine, Cytosine, Thymine in DNA; Uracil replaces Thymine in RNA). These parts link together to form long chains, creating the nucleic acid structure.

How well did you know this?
1
Not at all
2
3
4
5
Perfectly
3
Q

How many nucleotides are in this image? How do you know?

A

There are 4 nucleotides in this image and we can know this by counting the number of each part of a nucleotide that is present, for example there are 12 nitrogenous bases.

How well did you know this?
1
Not at all
2
3
4
5
Perfectly
4
Q

What does DNA stand for? What is its function?

A

DNA stands for Deoxyribonucleic Acid, and its primary function is to carry the genetic instructions for the development, functioning, growth, and reproduction of all known organisms, acting like a biological blueprint or instruction manual for building and maintaining a living being. It’s a long, double-stranded molecule (a double helix) with a code made of four chemical bases (A, T, C, G) that determines traits and directs cell activities, passing hereditary information from parents to offspring.

How well did you know this?
1
Not at all
2
3
4
5
Perfectly
5
Q

What does RNA stand for? What is its function?

A

RNA stands for Ribonucleic Acid, a crucial molecule that acts as a messenger and worker in cells, carrying instructions from DNA to build proteins, regulating genes, and forming key structures like ribosomes, essentially translating the body’s genetic blueprint into functional components.

How well did you know this?
1
Not at all
2
3
4
5
Perfectly
6
Q

State three differences between the structure of DNA and RNA.

A

Three key structural differences between DNA and RNA are their sugar type (DNA has deoxyribose, RNA has ribose), their base composition (DNA uses Thymine, RNA uses Uracil), and their strand structure (DNA is double-stranded, RNA is typically single-stranded).

How well did you know this?
1
Not at all
2
3
4
5
Perfectly
7
Q

The sides of DNA are referred to as the sugar-phosphate backbone, and each side is very strong. Why?

A

The sugar-phosphate backbone of DNA is strong because it’s held together by powerful covalent bonds, specifically phosphodiester bonds, linking each deoxyribose sugar to the next phosphate group, forming a stable, continuous chain that provides the fundamental structural support for the entire double helix, unlike the weaker hydrogen bonds between the internal base pairs.

How well did you know this?
1
Not at all
2
3
4
5
Perfectly
8
Q

The rung or the middle is where the bases meet. This area is not as strong. Why?

A

The middle of DNA (the base pairs) isn’t as strong as the sugar-phosphate backbone because the rungs are held by relatively weak hydrogen bonds, not the strong covalent bonds in the backbone, allowing the strands to easily separate for replication and gene expression, even though G-C pairs (3 bonds) are stronger than A-T pairs (2 bonds). This balance of strength is crucial for DNA’s function, enabling temporary unzipping while maintaining overall structure.

How well did you know this?
1
Not at all
2
3
4
5
Perfectly
9
Q

Below is one strand of a DNA molecule. Add in the complementary strand A T G G C T A A T T T G G C C C T C G A

A

T A C C G A T T A A A C C G G G A G C T

How well did you know this?
1
Not at all
2
3
4
5
Perfectly
10
Q

Compare and contrast chromatin and chromosome structure and function.

A

Chromatin is the relaxed, thread-like complex of DNA and histone proteins present during interphase, allowing gene expression and replication (like unwound yarn), while a chromosome is the highly condensed, visible X-shaped structure of chromatin formed during cell division for accurate genetic segregation, essentially packed chromatin (like a tightly wound yarn ball).

How well did you know this?
1
Not at all
2
3
4
5
Perfectly
11
Q

Using content based on chromosomes, what cell type is this, and how did you know?

A

This is an image of a Prokaryotic cell and I know because its genetic material is in the form of free flowing chromatin that does not condense down into chromosomes.

How well did you know this?
1
Not at all
2
3
4
5
Perfectly
12
Q

Using content based on chromosomes, what cell type is this, and how did you know?

A

This is an image of a Eukaryotic cell, and we know this because we can see the condensed chromosomes in its nucleus.

How well did you know this?
1
Not at all
2
3
4
5
Perfectly
13
Q

Is this a non-dividing or dividing cell’s chromosome? How did you know?

A

This is a non-dividing cells chromosome, and we know this because it has no sister chromatid to divide from.

How well did you know this?
1
Not at all
2
3
4
5
Perfectly
14
Q

What is a gene? (if it helps, provide an example)

A

A gene is a fundamental unit of heredity in living organisms, essentially a segment of DNA (or in some viruses, RNA) that carries the instructions for building one or more specific molecules, typically proteins or functional RNA molecules [1]. Genes are the basic physical and functional units of heredity, passed from parents to offspring, that determine the unique characteristics of every individual [1, 2].

How well did you know this?
1
Not at all
2
3
4
5
Perfectly
15
Q

What is the function of the sex chromosomes?

A

Sex chromosomes (X and Y in humans) primarily determine biological sex by directing the development of reproductive organs (ovaries or testes) and secondary sex characteristics, but they also contain crucial genes affecting overall body development, brain function, and fertility, influencing traits beyond reproduction and impacting many bodily functions.

How well did you know this?
1
Not at all
2
3
4
5
Perfectly
16
Q

What is the function of autosomes?

A

Autosomes carry the genetic instructions for nearly all physical and biological traits, controlling fundamental body functions like metabolism, development, cellular structure, DNA repair, and immune responses, essentially dictating everything except sex determination, which is handled by sex chromosomes (X and Y)

17
Q

Explain what homologous chromosomes are.

A

Homologous chromosomes are pairs of chromosomes (one from each parent) that are similar in size, shape, gene order, and centromere location, carrying the same genes for the same traits but potentially different versions (alleles) of those genes, like eye color. They are crucial for sexual reproduction, pairing up during meiosis to allow for genetic recombination.

18
Q

Does the number of chromosomes determine the complexity of an organism? Explain.

A

No, the number of chromosomes does not determine an organism’s complexity; complexity arises from gene regulation, organization, and function, not just count, as seen in examples like ferns with many chromosomes but simpler structures than humans (46 chromosomes) or dogs (78 chromosomes).

19
Q

An egg cell has 42 chromosomes. How many would you expect in a somatic cell of the same species?

A

If an egg cell (a haploid gamete) has 42 chromosomes, you would expect a somatic cell (a diploid body cell) from the same species to have 84 chromosomes, because somatic cells contain two sets of chromosomes (one from each parent), so you double the haploid number (42 x 2) to get the diploid count.

20
Q

A sperm cell has 6 chromosomes. How many would you expect in a haploid cell of the same species?

A

If a sperm cell (a gamete) has 6 chromosomes, then the haploid number (n) for that species is 6, meaning a haploid cell contains 6 chromosomes, as sperm cells are the haploid cells of a species. A diploid body cell of this species would have double that, or 12 chromosomes, as diploid cells have two sets (2n).

21
Q

A skin cell has 36 chromosomes. How many would you expect in a sex cell of the same species?

A

You would expect 18 chromosomes in a sex cell (gamete) of the same species, as sex cells have half the number of chromosomes as regular body cells (diploid) to ensure the correct total when they fuse during fertilization. A skin cell is a diploid body cell, containing the full set (36), while a sex cell (sperm or egg) is haploid, holding just one set (18).

22
Q

A diploid cell has 44 chromosomes. How many would you expect in a gamete of the same species?

A

You would expect a gamete (sperm or egg) from that species to have 22 chromosomes, which is half the diploid number (44) found in somatic (body) cells, because gametes are haploid, containing only one set of chromosomes for sexual reproduction.

23
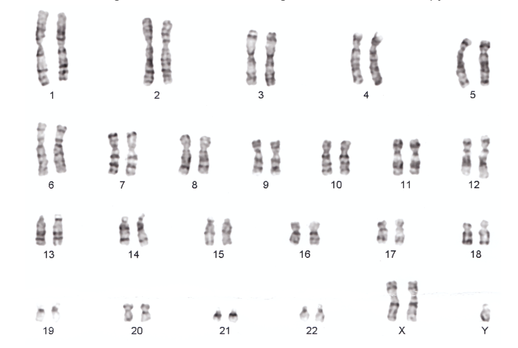
Q

Look at this karyotype. Determine the sex of the individual and if there are any issues chromosomally. EXPLAIN how you knew.

A

You can tell a person’s biological sex from a karyotype by looking at the 23rd pair of chromosomes (the sex chromosomes): females typically have two X chromosomes (XX), while males have one X and one Y chromosome (XY). A female karyotype is noted as 46,XX, and a male karyotype is 46,XY, indicating 22 pairs of autosomes and the specific sex chromosome pair. If a karyotype shows two X chromosomes and one Y (XXY), it indicates Klinefelter Syndrome, a genetic condition in individuals with male anatomy (due to the Y) but with an extra X chromosome, often leading to underdeveloped testes, infertility, and sometimes learning/behavioral issues, managed with hormone therapy.

24
Q

Why does DNA need to be replicated?

A

DNA needs to be replicated before cell division to ensure each new “daughter” cell receives a complete and identical set of genetic instructions, allowing for organismal growth, repair, and reproduction by passing hereditary information accurately from one generation of cells (or organisms) to the next. Without this copying process, new cells wouldn’t have the necessary blueprints to function, leading to cell death or severe genetic errors, as seen in diseases like cancer.

25
What is meant by the phrase, “semiconservative replication”?
Semiconservative replication is the process where each new DNA molecule formed during replication contains one original (parental) strand and one newly synthesized strand, effectively "conserving half" of the original molecule in each copy, ensuring accurate genetic inheritance. This happens as the DNA double helix unwinds, and each single strand serves as a template for a new complementary strand, a mechanism proven by Meselson and Stahl's.
26
What does Hilicase do?
Helicase is a crucial enzyme that unzips double-stranded DNA or RNA by breaking the hydrogen bonds between base pairs, using ATP energy, to separate them into single strands, allowing access for replication, repair, transcription, and other vital cellular processes like RNA processing.
27
What does DNA polymerase do?
DNA polymerase is a crucial enzyme that builds new DNA strands by adding complementary nucleotides, acting as the main engine for DNA replication (copying DNA before cell division) and playing key roles in DNA repair, ensuring genetic material is accurately duplicated and passed on. It reads an existing DNA strand and synthesizes a new, identical partner strand, working in the 5' to 3' direction and often proofreading its work for accuracy.
28
What does ligase do?
A ligase is an enzyme that acts as "molecular glue," joining two larger molecules by forming a new chemical bond, most famously DNA ligase, which seals breaks in DNA strands during replication and repair, and is crucial for genetic engineering. It works by creating a phosphodiester bond between the 3'-hydroxyl end of one DNA fragment and the 5'-phosphate end of another, essentially stitching them together into a continuous strand, like connecting Okazaki fragments during DNA synthesis.
29
Give a general description of DNA replication.
DNA replication is the semi-conservative process where a cell duplicates its DNA before division, creating two identical DNA molecules, each containing one original parent strand and one new strand, essential for passing genetic information to daughter cells for growth, repair, and reproduction.
30
Look at this DNA model. What term refers to loose DNA inside the nucleus?
Chromatin
31
During what part of the cell cycle is the DNA in a cell's nucleus replicated?
End of S (Synthesis)
32
During what part of the cell cycle is the DNA in a cell condensed into chromosomes?
Beginning of M (Mitosis)