first line Rx PCOS
weight loss - improves androgen symptoms and returns regular menses
metformin (if diabetic/prediabetic)
COCP - reduces endometrial hyperplasia, reduce hirsuitism & acne, prevent pregnancy (unwanted)
what CA?

granulosa cell tumour of ovary
Gestational Choriocarcinoma
in postpartum haemorrhage, failure of haemostasis with uterotonic agents suggests what?
retained placenta/placenta accreta
Rx HSV-2 gential herpes
acyclovir, famciclovir, valacyclovir
diagnosis?

immature teratoma
three aetiologies of congenital toricollis
2 major risk factors for cervical CA/CIN
lack of barrier contraception
++ lifetime sexual partners
both HPV-16/18 mediated
Rx bacterial vaginosis
what bug?
metronidazole and clindamycin
Gardnerella vaginalis
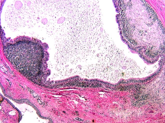
diagnosis?

mature teratoma
oral contraception, multiparity, breastfeeding all reduce risk of what cancer?
what is the common mechanism?
epithelial ovarian CA
reduction in the frequency of ovulation, reduction in ovarian surface trauma, reduction in ovarian surface repair, reduction in malignant transformation potential
Invasive mole
Partial mole
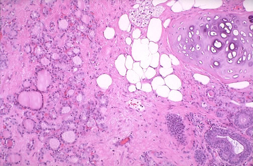
define mature and immature teratoma
mature = benign, contain cell types from >1 germ layer
immature = malignant, mature cell type from all 3 germ layers and immature (embryonic, not foetal) tissue from at least one germ layer (usually neuroectoderm)
if a woman wants to get pregnant, Rx PCOS
weight loss
metformin (if diabetic/pre-diabetic)
estrogen receptor modulator (clomiphine/letrozole) - reduces estrogen/ER negative feedback in hypothalamus resulting in increased gonadotroph stimulation of ovaries –> ovulation
3 associated abnormalities with congenital torticollis


define congenital torticollis
pathologic contracture of SCM muscle in infant resulting in fixed flexion deformity from muscular injury and fibrosis
Complete mole
gynae CA precocious puberty, endometrial hyperplasia large unilateral adnexal mass elevated serum Inhibin-alpha
granulosa cell tumour of the ovary
elevated maternal AFP suggests what (3)?
decreased maternal AFP suggests what (2)?
decreased maternal uE3 suggests what?
placental abnormalities and IUGR
infundibulopelvic ligament/suspensory ligament of the ovary
what does it connect and what does it contain?
surgical importance
ovaries to the pelvic wall
ovarian vessels
ligate suspensory ligament during oophorectomy - ureters run close by so at risk of damage during ligation

cardinal ligament
connects what structures and contains what structures
surgical consideration
cervix to the pelvic wall
uterine vessels
ligation during hysterectomy, risk of damage to ureter during ligation
