Observing microbes, functional anatomy Flashcards

(25 cards)

1
Q

Who came up with the tree of life and is thought to be the father of modern taxonomy?

A

Carl Linnaeus (1775)

Botanist, physician and zoologist

Father of modern taxonomy

Five domains of life

Binomial nomenclature

Common ancestor – Animals, Plants, Bacteria , Fungi, and monera

How well did you know this?
1
Not at all
2
3
4
5
Perfectly
2
Q

Explain Binomial Nomenclature

A

Genus and species: Escherichia coli

  • Staphylococcus aureus*
  • Staphylococcus epidermidis*
  • Bacillus cereus:* Bacillaceae family
  • Clostridium* sp.

(Kingdom phylum class order family genus species)

How well did you know this?
1
Not at all
2
3
4
5
Perfectly
3
Q

What is the tree of life?

What was the difference between Linneasus’ classification and Carl Woeses?

A

Linnaeus 1770s

Phenotypic classification

Five domains of life

Binomial nomenclature

Carl Woese 1977

used sequencing or rRNA and came up with 3 domains of life

Genotypic classification

Based on comparative
rRNA gene sequencing

How well did you know this?
1
Not at all
2
3
4
5
Perfectly
4
Q

The Tree of Life - Woese

A

Carl Woese (1977)

Based on comparative 16S rRNA gene sequencing to create a phylogenetic tree starting from LUCA (last universal common ancestor)

Three domains of life

How well did you know this?
1
Not at all
2
3
4
5
Perfectly
5
Q

Describe Microbial evolution

A

A summary of life on Earth through time and origin of the cellular domains

(a) Cellular life was present on Earth by 3.8 billion years ago (bya).

Cyanobacteria began the slow oxygenation of Earth about 3 bya, but current levels of O2 in the atmosphere were not achieved until 500–800 million years ago.

Eukaryotes are nucleated cells and include both microbial and multicellular organisms.

(b) The three domains of cellular organisms are Bacteria, Archaea, and Eukarya.

Archaea and Eukarya diverged long before nucleated cells with organelles (“modern eukaryotes”) appear in the fossil record.

LUCA, last universal common ancestor

How well did you know this?
1
Not at all
2
3
4
5
Perfectly
6
Q

Compare the contribution of Linneause and Carl Woese

A
  • Linnaeus

Five domains of life

Binomial nomenclature

  • Carl Woese

Based on comparative
rRNA gene sequencing

Three domains of life

How well did you know this?
1
Not at all
2
3
4
5
Perfectly
7
Q

Eukaryotic vs. Prokaryotic Cell

A

Pro means before Karyote means nucleus Eu means with

How well did you know this?
1
Not at all
2
3
4
5
Perfectly
8
Q

Describe Symbiogenesis (or endosymbiotic theory)

A
  • 1910 by Russian Botanist Konstantin Mereschkowski
  • Theory that eukaryotic cells evolved from symbiosis of single celled prokaryotes about 1.5 billion years ago
  • Molecular and biochemical evidence suggests this is true:
  • Mitochondria – proteobacteria
  • Chloroplasts - cyanobacteria
How well did you know this?
1
Not at all
2
3
4
5
Perfectly
9
Q

Life at the Microscopic Scale

A

At X10,000 can see intricate external surface of bacteria

How well did you know this?
1
Not at all
2
3
4
5
Perfectly
10
Q

What Microbial cells can be seen under different microscopes?

A
  • Naked eye (up to 100μm- human egg)
  • Light microscope (up to 200nm- bacteria, mitochondria, flu virus)
  • (Cryogenic) Electron microscope (up to 0.1 nm- atom, lipids)
How well did you know this?
1
Not at all
2
3
4
5
Perfectly
11
Q

What are the parts of a light microscope?

A
How well did you know this?
1
Not at all
2
3
4
5
Perfectly
12
Q

Observing Bacteria: Light microscopy

What is the max magnification and resolution?

A

Magnification: how much the apparent size of an object has been enlarged

Max magnification of 1000x (10 x eye piece, 100x objective)

Resolution: separation of objects ( max resolution=

0.2µm)

How well did you know this?
1
Not at all
2
3
4
5
Perfectly
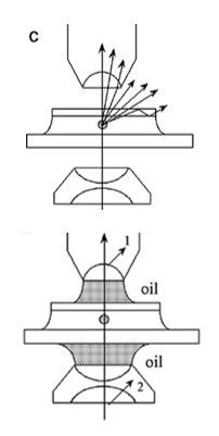
13
Q

What is the function of oil immersion?

A

Reduces light scattering (improves resolution)

How well did you know this?
1
Not at all
2
3
4
5
Perfectly
14
Q

Electron Microscopy: Transmission (TEM)

A
  1. Sample sectioned
  2. Freeze fracture
  3. Prepare 60nm slices

100,000x = max magnification

0.2nm= max resolution (1000 fold additional resolution)

How well did you know this?
1
Not at all
2
3
4
5
Perfectly
15
Q

Electron Microscopy: Scanning (SEM)

A

100,000x

Shows surface only

How well did you know this?
1
Not at all
2
3
4
5
Perfectly
16
Q

Observing Bacteria: Generic Staining

A
  • Increasing contrast for bright-field microscopy
  • Generic stains:
  • Methylene blue
  • Crystal violet
17
Q

Observing Bacteria: Differential Stains

A

Gram-stain preparation

  1. Preparation of smear
  2. Heat-fixing on slide
  3. Staining
  4. Microscopy
18
Q

Preparing the Smear

A

DON’T OVERLOAD SLIDE – touch on the hand (multiple times)

  1. Drop of sterile water on slide
  2. Touch loop to colony
  3. Put loop in sterile water
  4. Using bunsen burner pass slide backwards and forwards through the blue flame
19
Q

Describe gram staining

A
  1. Apply crystal violet (purple)

rinse with water to remove excess stain

  1. Apply an iodine mordant to form dye-iodine complex which decreases its solubility within the cell
  2. Drip on ethanol or acetone, gram negative bacteria decoluorise, gram positive bacteria remain purple and retain crystal violet

excress ethanol washed off with water

  1. Counterstain using safronin turn gram negative pink

rinse with water and dry with filter paper

  1. when viewed under a microscope gram positive=purple and gram negative=pink because gram staining correlates with cell wall stucture
20
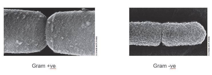
Q

Bacterial Cell Wall

A
  • Gram positive bacteria have a thick peptidoglycan layer around cytoplasmic membrane. Tend to be spherical and have a smooth outer layer
  • Gram negative membrane have an outer membrane then a thin peptidoglycan layer then another membrane. Tend to be rod shaped and have a rough outer layer
21
Q

Gram +ve vs Gram -ve

22
Q

Explain the Major Cell Morphologies

A

Cocus- spherical

Bacillus- rod shaped

Spirillium- spiral

Spirochete, budding and appendaged baceria and filamentous bacteria

23
Q

Explain Bacterial cell arrangements

24
Q

What is the binomial nomenclature for E.Coli?

A

Kingdom: Eubacteria

Phylum: Proteobacteria

Class: Gammaproteobacteria

Order: Enterobacteriales

Family: Enterobacteriacea

Genus: Escherichia

Species: E.Coli

25
Why must fresh bacterial cultures be used in the gram staining process?
As they get older they loose the ability to retain the stain