Obstetrícia Flashcards

(7 cards)

1
Q

Conduta após diagnóstico de gestação molar completa

A

Esvaziamento uterino por aspiração intrauterina e acompanhar dosagem seriada de beta HCG

How well did you know this?
1
Not at all
2
3
4
5
Perfectly
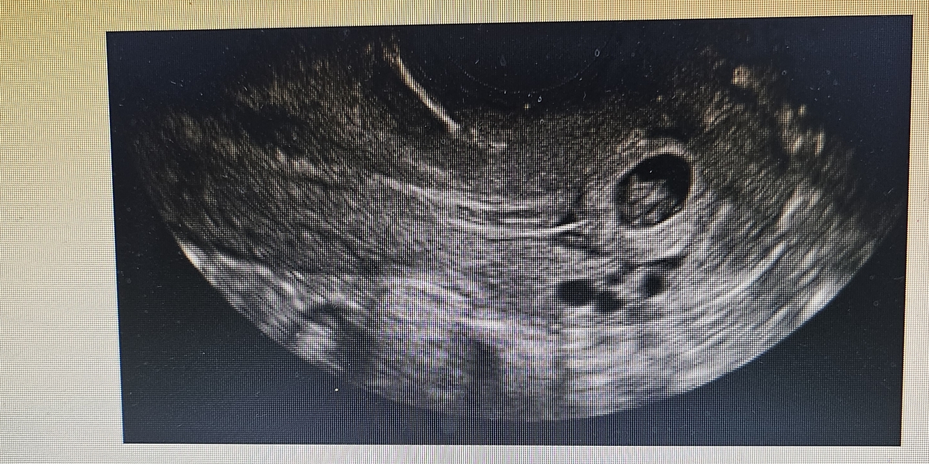
2
Q

Paciente com dor e sangramento vaginal, USG transvaginal em anexo. Diagnóstico e conduta?

A

Aborto em curso, realizar esvaziamento uterino com curetagem ou esperar expulsão espontânea

How well did you know this?
1
Not at all
2
3
4
5
Perfectly
3
Q

Critério USG 1° trimestre que indica gestação inviável

A

Diâmetro médio do saco gestacional >25mm sem embrião ou vesícula vitelinica

How well did you know this?
1
Not at all
2
3
4
5
Perfectly
4
Q

Neoplasia trofoblastica gestacional de baixo risco - tratamento

A

Quimioterapia com metotrexato

How well did you know this?
1
Not at all
2
3
4
5
Perfectly
5
Q

Local mais frequente de implantação da gestação ectopica

A

Ampola

How well did you know this?
1
Not at all
2
3
4
5
Perfectly
6
Q

Preditores de Pre Eclampsia

A

Fatores de risco materno
Marcador biofísico (aumento do IP da artéria uterina)
Marcadores bioquímicos ( redução PLGF e PAPP-A)

How well did you know this?
1
Not at all
2
3
4
5
Perfectly
7
Q

Critérios diagnósticos Sd HELLP

A
How well did you know this?
1
Not at all
2
3
4
5
Perfectly