What do the presenting features of (SB & LB) GI tract obstruction depend on ?
The level of obstruction within the GI tract
What are the 2 main classification of obstruction ?
What are the cardinal features of any GI obstruction?
What are the general physcial signs of obstruction ?
What are the characterisitc features of a small bowel obstruction rather than a large bowel obstruction ?
Small bowel obstruction:

What are the characterisitc features of a large bowel obstruction rather than a small bowel obstruction ?

The nature of vomiting gives a clue to where the obstruction is, what would the vomiting be like in the following obstruction types:
What is the classical sounds heard of ascultation of bowel obstruction ?
If the bowel obstruction is incomplete what happens ?
The clinical features may be less clearly defined.
No passage of flatus or faeces is pathognomic for what ?
Bowel obstruction (complete)
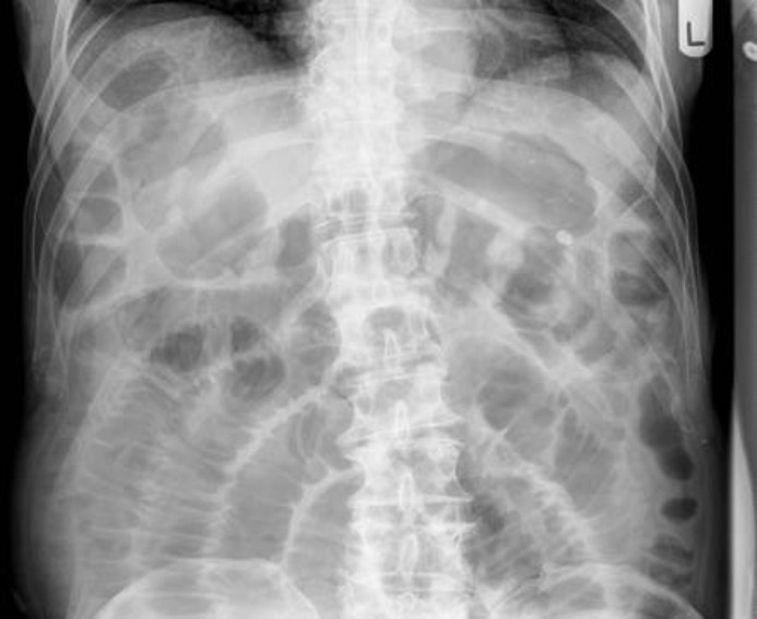
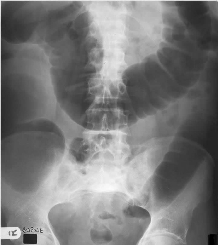
What is the most useful 1st line investigation for bowel obstruction ?
Supine AXR (also get an exerect CXR to rule out perforation)
What else should you do for someone with osbtruction as part of the initial investigations ?
What is the 2nd line investigation after AXR has identified bowel obstruction ?
What is the inital management of someone with bowel obstruction ?
Think ‘drip & suck’
How long do you drip and suck someone with bowel obstruction?
Can’t drip and suck hernias and expect resolution. Only adhesional
Up to 72 hours is standard
Intervene earlier if:
Ignoring the site of obstruction what are the 3 different types of GI obstruction ?
What are the 2 main causes of small bowel obstruction ?
What are the 4 main causes of large bowel obstruction ?
List some of the rarer causes of bowel obstruction
What are the 4 different causes of bolus obstruction ?
What does pain over a hernia indicate ?
That it is a strangulated hernia
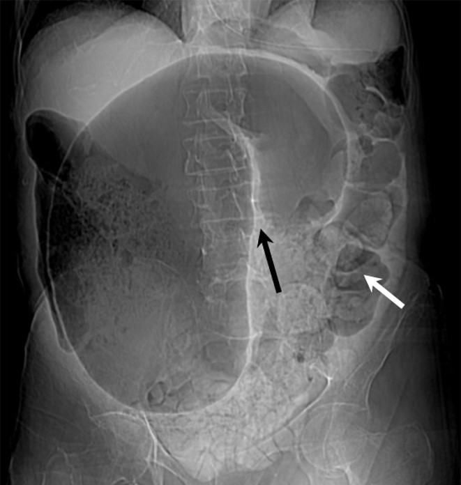
What is shown in the AXR?

Sigmoid volvulus
Just to look at and differentiate from a sigmoid volvulus
What are the 2 types of non-mechanical bowel obstruction ?