common features of obstructive lung disease
generally increased lung volumes
generalyl decreased elastic recoil
decreased flow in the airways
do not generally progress to “honeycomb lung”
general features of restrictive lung disease
most involve parenchyma
decreased lung capacity
reduced expansion of lung parenchyma
may progress to end stage “honeycomb lung”
obstructive lung diseases
COPD - emphysema and chronic bronchitis
asthma
bronchiectasis
pathology of emphysema
large, overinflated lungs
enlarged alveolar spaces with “floating sepae”

variants of emphysema
centriacinar, panacinar, and distal acinar emphysema
centriacinar emphysema
most common (95%)
affects respiratory bronchioles more than alveolar ducts
smoking related
panacinar emphysema
affects the alveolar ducts predominantly
usually related to A1AT
distal acinar emphysema
usually seen in sporadic cases related to pre-existing lung scarring unrelated to A1AT deficiency or smoking
chronic bronchitis definition
productive cough for most days in 3 consecutive months in 2 consecutive years
disease of larger airways and smoking related
complications of chronic bronchitis
chornic airway inflammation
mucus gland hypertrophy
predisposes to superimposed infection
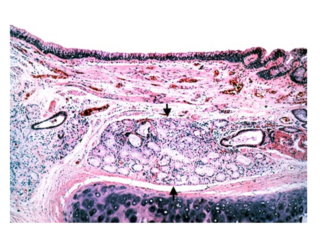
Reid index
a ratio between the thickness of the submucosal glands and the distance between the bronchial cartilage and the surface of the epithelium
an index of greater than 0.4 suggests chornic bronchitis

causes of bronchiectasis
cystic fibrosis
Kartagener’s syndrome
repeated infections
Kartagener’s syndrome
cilliary dyskenesis, prevents mucus clearance, resulting in obstruction
pathology of bronchiectasis
wall destruction and irreversible airway dilatation

common characteristics of asthma
reversible episodic obstruction - smooth muscle contraction, mucosal edema, mucus secretion
airway hyperreactivity
chronic inflammation - cytoking secreting Th2 lymphosites, eosinophils, and leukotrienes are central
atopic asthma
related to Type 1 IgE hypersensitivity reaction
nonatopic asthma
triggered by environmental irritants and infection
aspirin related asthma
Samter’s triad:
asthma
aspirin allergy
nasal polyps
early reaction in asthma
airway constriction
vascular permeability
edema
mediated by leukotrienes, prostaglandings, histamine, etc.
late asthma reaction
recruitement of inflammatory cells
eosinophils, lymphocytes, etc.
changes in long-term asthma
airway remodeling:
epithelial damage
smooth muscle hyperplasia
mucus gland hypertrophy

pathologic findings of asthma
basement membrane thickening
mucus casts that take the shape of the bronchial tree, spiral structures called Churchman’s spirals
Charcot Leyden crystals - a florid eosinophilic infiltrate, crystalline structures formed from the products of eosinophil degranulation
