Occlusion Flashcards

(18 cards)

1
Q

This tooth (indicated by the arrow) is:

16
27
36
47

A

36

How well did you know this?
1
Not at all
2
3
4
5
Perfectly
2
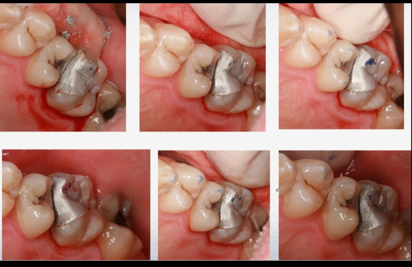
Q

This tooth (restored by amalgam) is:

15
27
14
16

A

16

How well did you know this?
1
Not at all
2
3
4
5
Perfectly
3
Q

The fractured restoration is on:
13
24
16
34

A

24

How well did you know this?
1
Not at all
2
3
4
5
Perfectly
4
Q

Why is occlusion important?

A

Reduced risk of fracture, wear and tooth/restoration failure

How well did you know this?
1
Not at all
2
3
4
5
Perfectly
5
Q

What are the two types of occlusion to consider?

A

Static occlusion
Dynamic occlusion - side movement

How well did you know this?
1
Not at all
2
3
4
5
Perfectly
6
Q

How do we mark occlusal contacts?

A

Using articulating paper

How well did you know this?
1
Not at all
2
3
4
5
Perfectly
7
Q

What can be used to test the occlusal contact and clearance (metallic material)

A

Shimstock foil

How well did you know this?
1
Not at all
2
3
4
5
Perfectly
8
Q

How thick is shimstock?

A

8 microns thick

How well did you know this?
1
Not at all
2
3
4
5
Perfectly
9
Q

How should articulating paper placed in a patients mouth?

A

Placed simultaneously on two sides to prevent displacement of mandible

How well did you know this?
1
Not at all
2
3
4
5
Perfectly
10
Q

What is the name of equipment that holds articulating paper?

A

Miller’s forceps
Y-type articulating paper holder

How well did you know this?
1
Not at all
2
3
4
5
Perfectly
11
Q

How should the tooth be prepared prior to using articulating paper?

A

Tooth should be dry

How well did you know this?
1
Not at all
2
3
4
5
Perfectly
12
Q

Comment on the mark left by articulation paper upon heavy occlusal contact?

A

More colour squeezed out - greater more prominent mark left

How well did you know this?
1
Not at all
2
3
4
5
Perfectly
13
Q

Cusp tips form the opposing tooth should fit into what part of the opposing cusp upon occlusion?

A

Cusp tips → Marginal ridges
Cusp tips → Fossa

How well did you know this?
1
Not at all
2
3
4
5
Perfectly
14
Q

What is tripodization?

A

An occlusal scheme characterized by each centric cusp contacting an opposing fossa has three reciprocating contact areas.
Grants Occlusal stability

How well did you know this?
1
Not at all
2
3
4
5
Perfectly
15
Q

What is the function of the miller forceps?

A

They securely grip the entire length of the articulating paper

How well did you know this?
1
Not at all
2
3
4
5
Perfectly
16
Q

What is wear facets?

A

A type of non-carious lesion that occurs when teeth rub against each other too much

17
Q

What is Shimstock used for?

A

used to check firmness of occlusal contacts in comparison with those on the selected index teeth

18
Q

How we can check occlusion stability?

A

Cusp tips to marginal ridges
Cusp tips to fossa
Tripodization