What part of the orbit has been compromised here?
What injury causes this to happen?
What type of trauma causes this injury?

Inferior wall of the orbit
Orbital blow out fractures
Blunt trauma
A certain muscle commonly gets tethered in orbital blow out fractures. What muscle is this?
Inferior Rectus
This is a common presentation of blunt trauma. What is it?
If this occurs without any history of trauma, what should always be checked?

Subconjunctival haemorrhage
Always check BP
What injury would you be worried about with this severe subconjunctival haemorrhage?

Globe rupture
What is the most common form of traumatic uveitis?

Anterior uveitis
What is this clinical sign?
What is it a sign of?

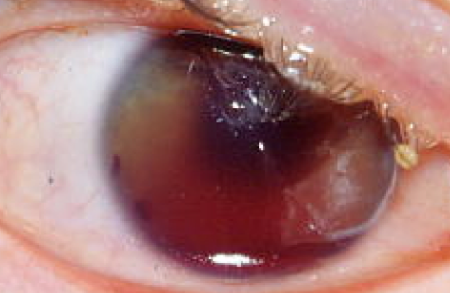
Hyphaemia- blood in the anterior chamber
Significant intra-ocular trauma
What does this show?
Who does it occur spontaneously in?
What causes this to occur as a result of trauma?

Retinal detachment
Occurs spontaneously in short-sighted people mostly
Fluid under the retina in trauma causes it to detach
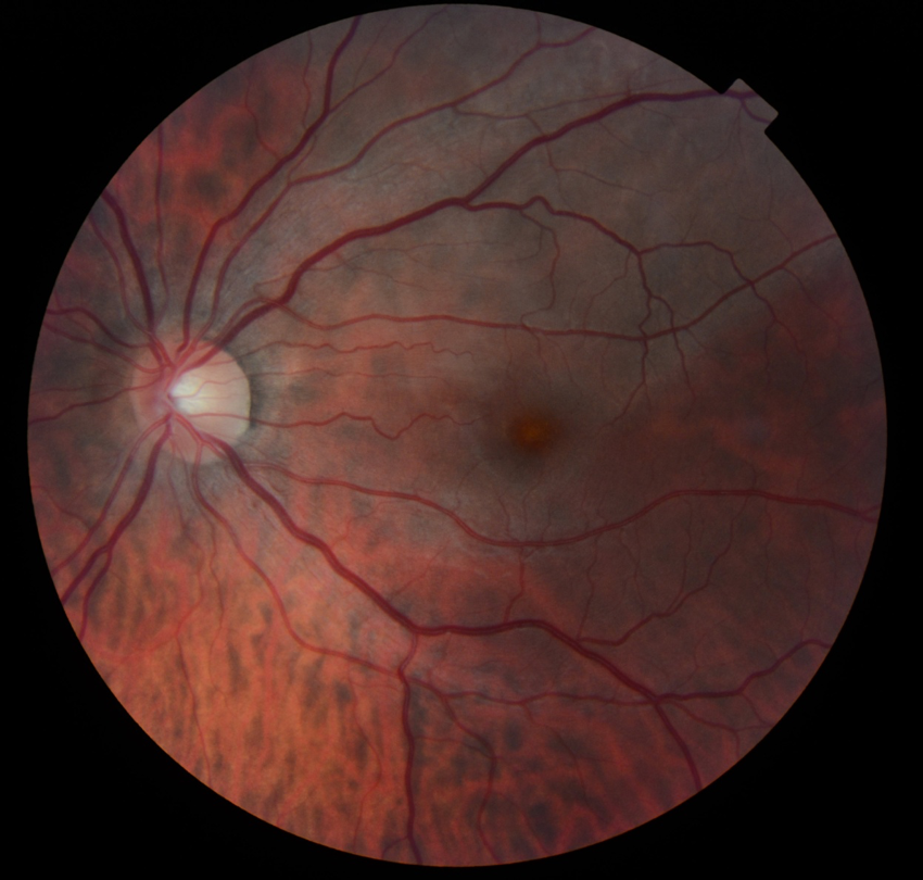
What does this show?

Choroidal tear
What does this show?
What area is usually affected?
Is this symptomatic?
What happens if this occurs in the middle area?

Bruised retina
The peripheries are usually affected
Usually asymptomatic
Vision may never resolve to what it originally was
Explain what happens in sympathetic ophthalmia?
There is penetrating injury to one eye. This exposes both eyes to intra-ocualr antigens and an autoimmune reaction takes place in both eyes which leads to inflammation and possible bilateral blindness.
Foreign bodies found where are most likely to cause visual changes?
Intra-ocular and intra-orbital
Where is this foreign body?

Sub-tarsal
Where is this foreign body?

Conjunctiva
Where is this foreign body?

Cornea
What is the treatment following a foreign body in the eye?
Chloramphenicol ointment 4x daily for around a week
Some foreign bodies can be penetrating. When should you be more suspicious of these?
The pupil is irregular
Anterior chamber is shallow
Localised cataract
Gross inflammation
Intra-ocular foreign bodies should always be given what investigation?
X-ray
This is an acid burn. What do these do?

Coagulate proteins and cause little penetration
What do alkali burns cause?
Easy, rapid penetration
Cicatrising changes to the conjunctiva and cornea
Penetrates the intra-ocular structures
This is an alkali burn. Why is the new ischaemia worrying?

Ischaemia can affect the limbus which is where corneal stem cells are found- damage here would mean the cornea would not heal and there would be scarring
What does this picture show?

Limbal ischaemia
Why should you be aware of chemical burns with lime or cement?
They are very small particles which can get trapped
How long should you irrigate chemical burns for?
At least 2l of saline or until pH returns to normal