DDx

“arterialized” episcleral vessels.
Carotid cavernous fistula
cavernous sinus thrombosis
venous malformations
scleritis with vortex vein blockade
Posterior orbital mass with sclerotic changes
metastatic prostate cancer
a/w osteobalstic lesions
MC orbital metastasis in men
Lung cancer
MC orbital metastasis in women
breast cancer
MC leukemia to metastasize to the orbit
ALL
Muscle and nerve of the lacrimal pump system
pretarsal orbicularis oculi muscle
CN VII
Features of this syndrome

telecanthus (widended intercanthal distance)
epicanthus inversus (fold of skin extending from the lower to upper eyelid but most prominent in the lower eyelid)
severe ptosis
90% of eyelid malignancies are this type
BCC
Location of occurance of BCC
lower eyelid (50%-60%)
medial canthus (25%-30%)
upper eyelid
lateral canthus
Inheritance pattern of blepharophimosis syndrome
AD
Inheritance of myogenic congenital ptosis
AR
Typical presentation

Keratoacanthomas (KAs)
growth over 4-8 weeks, spontaneous regression over several months
Hypoplasia of the orbit, eyelids, and adnexal structures
anophthalmia
Retrobulbar injection results in
incyclotorsion and depression of eye
Trochlear nerve (IV) intact incyclotorsion and infraduction


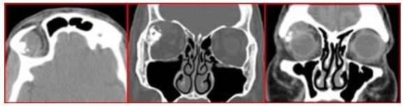
45 yo M pain right orbit x 9 months. Next step

incisional biopsy of lacrimal gland
lacrimal gland with calcification and adjacent bony thinning/erosion
adenoid cystic carcinoma
prevents reflux of tears from the lacrimal sac into the canaliculi
valve of Rosenmuller
Tx for microphthalmia
Socket expansion techniques SOON AFTER BIRTH
Next step

full-thickness biopsy and possible conjuncitival map biopsies
sebaceous adenocarcinoma
Asian with mechanical entropion of the lower eyelid margin
epiblepharon
lower eyelid pretarsal muscle and skin ride above the lower eyelid margin to form horizontal fold of tissue that causes cilia to assume vertical position
Arteries that supply blood to the bulbar conjunctiva
anterior ciliary arteries
arise from muscular branches of the ophthalmic artery
differenitates hemifacial spasm from benign essential blepharospasm
hemifacial spasms persist in sleep
lacrimal gland biopsy should avoid these structures
lacrimal ducts of palpebral lobe.
Only biopsy orbital lobe
characteristic of cicatricial entropion of the lower eyeld
posterior lamellar shortening