Odontogenesis Flashcards

(42 cards)

1
Q

What is odontogenesis?

A

Tooth development; formation, eruption and integration with surrounding tissues.

How well did you know this?
1
Not at all
2
3
4
5
Perfectly
2
Q

Stages of odontogenesis

A

Initiation
Bud stage
Cap stage
Bell stage
Apposition
Maturation

How well did you know this?
1
Not at all
2
3
4
5
Perfectly
3
Q

Initiation stage of odontogenesis

A
  • NCC migrate to 1st branchial arch
    • Thickening of epithelium on surface of 1st branchial arch
    • Continuous band of thickened epithelium forms around the mouth = primary epithelial band = primitive oral epithelium
    • This epithelium gives rise to the dental (inner/ lingual) and vestibular (outer/ buccal -> becomes the vestibule: proliferation into ectomesenchyme, then rapid degeneration into a cleft) through ingrowth into underlying mesenchymal NCC
    • Thickening of epithelium within the dental lamina forms placodes, from invaginations of epithelium: which eventually form the tooth bud. This occurs due to signalling proteins
How well did you know this?
1
Not at all
2
3
4
5
Perfectly
4
Q

Bud stage of odontogenesis

A

Bud stage: around 8 weeks of embryonic development
- Dental lamina grows from placodes into a bud shape = enamel organs, penetrating into underlying ectomesenchyme
- Little change to shape or function of epithelial cells
Cellular density of ectomesenchyme increases (condensation) as epithelial bud proliferates

How well did you know this?
1
Not at all
2
3
4
5
Perfectly
5
Q

Cap stage of odontogenesis

A

Cap stage: around weeks 9-10
- Tooth bud grows larger, and into the shape of a ‘cap’ on top of condensed ectomesenchyme = dental papilla (gives rise to dentine and pulp). Dental follicle forms a ‘sac’ around enamel organ
- Dental lamina forms laternal lamina
- Morphogenesis of tooth structure; guided by epithelial and mesenchymal tissues
- Histodifferentiation of epithelial cells; joined by desmosomes as fluid increases in enamel organ, cells forced apart and become stellate. Centre of enamel organ = stellate reticulum
- Enamel knot (transient histological structure) = cluster of non=dividing epithelial cells in the central part of the internal enamel epithelium; forms a bulge in the dental papilla. Number and location of enamel organs = cusps
Stellate reticulum collapses: inner enamel epithelium and outer enamel epithelium become closer

How well did you know this?
1
Not at all
2
3
4
5
Perfectly
6
Q

Bell stage of odontogenesis

A

Bell stage: around weeks 11-12
- Tooth germ continues to grow, resembling the shape of a bel
- Morpho differentiation of the crown
- Peripheral epithelial cells (OEE) have cuboidal shape, inner enamel epithelium have a columnar shape. These layers are continuous, and where they meet = cervical loop
- Histodifferentiation of ameloblasts from IEE, odontoblasts from dental papilla, Cementoblasts/osteoblasts/fibroblasts from dental follicle
- Proliferation continues until crown reaches its full size
- Stratum intermedium forms between IEE and stellate reticulum. Spindle (star shaped) cells assist in collapse of stellate reticulum
- Dental lamina disintegrates and detaches from oral epithelium

How well did you know this?
1
Not at all
2
3
4
5
Perfectly
7
Q

Apposition stage of odontogenesis

A

Apposition: continues from foetal period, into post-natal life
- Enamel, dentine, cementum and bone deposited in layers
- Organic matrix laid down first at cusp tips and goes downwards
- Vasculature from blood vessels in dental papilla and vessels along periphery of OEE
epithelial cells from outer and inner layers proliferate from the cervical loop to form a double layer = Hertwig’s epithelial root sheath
- Initiates differentiation of odontoblasts for form dentine of root
Root sheath fragments separated from surrounding CT by a basal layer = epithelial rests of Malassez

How well did you know this?
1
Not at all
2
3
4
5
Perfectly
8
Q

Maturation stage of odontogenesis

A

Maturation: is complete 2 years post-eruption
Calcification of permanent 1st molar starts shortly after birth

How well did you know this?
1
Not at all
2
3
4
5
Perfectly
9
Q

Primary epithelial band

A

= primitive oral epithelium
Continuous band of thickened epithelium that forms around the mouth
Gives rise to the dental and vestibular lamina

How well did you know this?
1
Not at all
2
3
4
5
Perfectly
10
Q

What does thickening of epithelium within the dental lamina forms?

A

Thickening of epithelium within the dental lamina forms placodes, from invaginations of epithelium: which eventually form the tooth bud. This occurs due to signalling proteins

How well did you know this?
1
Not at all
2
3
4
5
Perfectly
11
Q

Stellate reticulum

A

Histodifferentiation of epithelial cells; joined by desmosomes as fluid increases in enamel organ, cells forced apart and become stellate. Centre of enamel organ = stellate reticulum

Stellate reticulum collapses: inner enamel epithelium and outer enamel epithelium become closer

How well did you know this?
1
Not at all
2
3
4
5
Perfectly
12
Q

Enamel knot

A
  • Enamel knot (transient histological structure) = cluster of non=dividing epithelial cells in the central part of the internal enamel epithelium; forms a bulge in the dental papilla. Number and location of enamel organs = cusps
How well did you know this?
1
Not at all
2
3
4
5
Perfectly
13
Q

Hertwig’s epithelial root sheath

A

Vasculature from blood vessels in dental papilla and vessels along periphery of OEE
epithelial cells from outer and inner layers proliferate from the cervical loop to form a double layer = Hertwig’s epithelial root sheath

How well did you know this?
1
Not at all
2
3
4
5
Perfectly
14
Q

Cervical loop

A

Peripheral epithelial cells (OEE) have cuboidal shape, inner enamel epithelium have a columnar shape. These layers are continuous, and where they meet = cervical loop

How well did you know this?
1
Not at all
2
3
4
5
Perfectly
15
Q

Histodifferentiation of different cells during odontogenesis

A

Histodifferentiation of ameloblasts from IEE, odontoblasts from dental papilla, Cementoblasts/osteoblasts/fibroblasts from dental follicle

How well did you know this?
1
Not at all
2
3
4
5
Perfectly
16
Q

Epithelial rests of Malessez

A

Root sheath fragments separated from surrounding CT by a basal layer = epithelial rests of Malassez

How well did you know this?
1
Not at all
2
3
4
5
Perfectly
17
Q

What does Hertwig’s epithelial root sheath initiate?

A

Initiates differentiation of odontoblasts for forming dentine of root

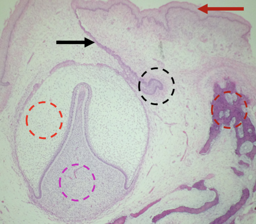
18
Q

Label the image

A

Black arrow = Meckel’s cartilage
Black dashed circle = tooth germ
Pink dashed circle = dental papilla
Red arrow = dental follicle

19
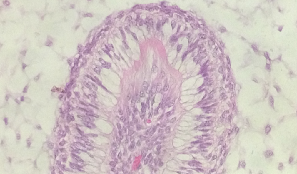
Q

What stage of tooth development does this image show?

A

Cap stage of odontogenesis

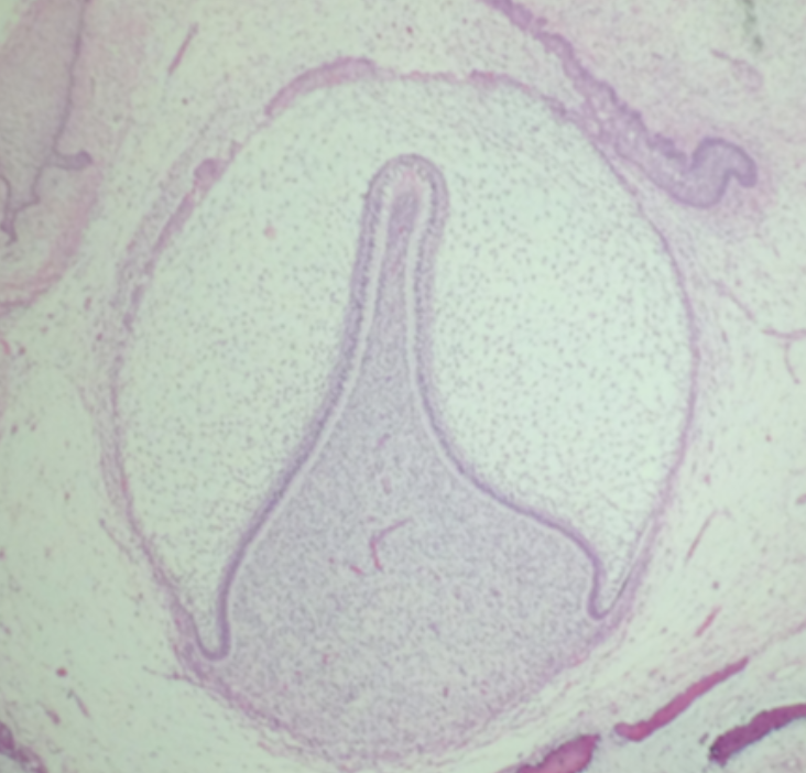
20
Q

What stage of tooth development does this image show?

A

Bell stage of odontogenesis

21
Q

Label the image

A

Black arrow = dental lamina
Red arrow = oral epithelium
Black dashed circle = successional dental lamina
Orange dashed circle = stellate reticulum
Red dashed circle = alveolar bone
Pink dashed circle = dental papilla

22
Q

Label the image

A

green dashed circle = stellate reticulum
orange rectangle = outer enamel epithelium
purple rectangle = inner enamel epithelium
red circle = cervical loop
pink circle = dental papilla

23
Q

Label the image

A

red circle = stellate reticulum
purple rectangle = stratum intermedium
green rectangle = inner enamel epithelium
blue star = accellular zone
black circle = dental papilla

24
Q

What stage of tooth development does the image show?

A

(late) bell stage of odontogenesis/ apposition

25
Label the image
red arrow = stratum intermedium black arrow = ameloblasts blue star = pre-dentine yellow arrow = odontoblasts red circle = stellate reticulum
26
What stage of tooth development does the image show?
late bell stage
27
Label the image
red arrow = enamel matrix black arrow = dentine blue star = enamel space yellow arrows = cervical loop red circle = dental pulp
28
Label the image
red arrow = stratum intermedium black arrow = ameloblasts red circle = enamel matrix blue star = enamel space yellow arrow = dentine
29
What is mesiodens? During what stage of odontogenesis does this condition arise?
supernumary tooth between two central incisors arises during initiation stage of odontogenesis
30
What is microdontia? During what stage of odontogenesis does this condition arise?
teeth that are smaller than normal arises during bud stage of odontogenesis
31
What is dens in dente? During what stage of odontogenesis does this condition arise?
'tooth within a tooth' arises during cap stage of odontogenesis
32
What is tubercle? During what stage of odontogenesis does this condition arise?
projection of 'extra' enamel in a tooth crown arises during cap stage of odontogenesis
33
What is amelogenesis imperfecta? During what stage of odontogenesis does this condition arise?
affected enamel structure and appearance arises during apposition/ maturation stages of odontogenesis
34
Order/ process of ameloblast/ odontoblast differentiation and secretion
1. Preameloblasts induce dental papilla cells to differentiate into odontoblasts 2. Predentine is secreted by odontoblasts 3. The basal lamina between preameloblasts and odontoblasts disintegrates 4. Preameloblasts differentiate to secretory ameloblasts 5. Ameloblasts start secreting enamel matrix
35
Enamel shows pits and grooves but does not wear off rapidly. Primary and permanent dentition affected. What condition could this be?
Amelogenesis imperfecta - hypoplastic type
36
Teeth with normal contour at eruption but greyish translucent and lost rapidly. What condition could this be?
Dentinogenesis imperfecta
37
Enamel has brown and opaque white spots in areas corresponding to dental development at 3-4 years of age. What condition could this be?
Fluorosis
38
Enamel relatively normal at the time of eruption but rapidly wears off. What condition could this be?
Amelogenesis imperfecta - hypocalcification type
39
Three adjacent teeth fail to erupt and radiographically show thin faintly radiopaque shells. What condition could this be?
Regional odontodysplasia
40
What gene encodes for the protein that makes up the bulk of enamel?
AMELX (amelogenin)
41
Which of the following molecules is involved in the differentiation of cementoblasts? Osterix Osteocalcin Osteopontin Osteoprotegerin Platelet-derived growth factor
Osterix
42
Which of the following homeobox genes is associated with the development of molar teeth? Msx-2 Dix-2 Msx-1 Barx-1
Barx-1