Nævn de tre faser Diabetisk retinopati inddeles i:
På dette tidspunkt:
Præ-proliferativ fase
IRMA (intraretinale mikrovaskulære abnormiteter). Tegn på svær iskæmi af nethinden med frigørelse af vækstfaktorer
På dette tidspunkt:
Proliferativ fase
+ proliferationer udgående fra venoler pga. frigivelse af vækstfaktorer. Risiko for blødninger ind i glaslegemet, hvorefter synet forværres markant uden behandling. Herefter fibrovaskulære proliferationer med skrumpning af glaslegemet, nethindeløsning og okklusion af de retinale kar medførende alvorligt syntab eller blindhed (slutstadiet).
På dette tidspunkt:
Behandling er blodsukkerregulation, stram blodtrykskontrol, effektiv screening. Behandling ved proliferative retinopati og makulært ødem er laser-fotokoagulation. Ved gentagne glaslegemeblødninger er behandling glaslegemeoperation (vitrektomi), hvor det syge glaslegeme og det fibrovaskulære væv fjernes og erstattes med saltvand.

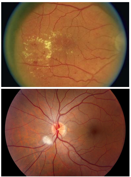
Hvad viser disse to billeder?


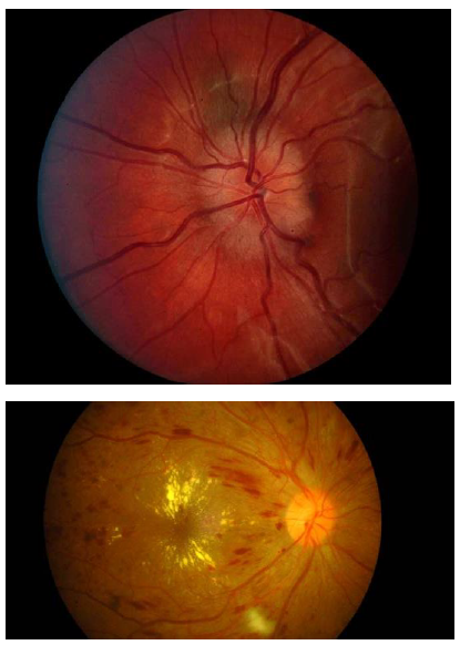
Hvad viser disse to billeder, og hvad kan de skyldes?

Papilødem betegner en opsvulmet ødematøs papil. Ved oftalmoskopi fremtræder den dårligt afgrænset mod omgivelserne, og den kan være mere eller mindre fremadhvælvende. Ofte ses opstasede vener og hæmoragier på eller lige omkring papillen.
Synet på øjet kan være normalt eller ↓.
Tilstanden kan skyldes lokal iskæmi, inflammation, kompression, generaliserede metaboliske tilstande eller ↑ ICP. Dobbeltsidigt papilødem med normalt syn tyder på intrakraniel affektion og bør udredes akut med CT eller MR, medens ensidigt papilødem med ↓ syn tyder på opticusneuropati.
En række tilstande kan ligne papilødem og betegnes derfor pseudopapilødem f.eks. myeliniserede nervetråde (benign tilstand) eller papildruser, der er små forkalkninger liggende begravet i papillen og ved elevation kan ligne begyndende papilødem. Evt. synsfeltdefekter, ellers en fredelig tilstand.

Central vene okklusion:

Disponerende faktorer:
• Alder, hypertension, hypercholesterolæmi, diabetes, rygning, glaukom, p pillebrug
Inddeles i:
• Non iskæmisk 75%
• Iskæmisk 25%
- +RAPD
- Dårlig synsprognose
- Risiko for karnydannelser
Behandling:
• Anti VEGF ved maculært ødem
• Laserbehandling ved iskæmi

Hvad er Fundus hypertonicus?
Hvilke fire grader findes af Fundus hypertonicus, og hvad sker i disse?
Det er forandringer i nethinden som følge af arteriel hypertension.
Grader:
FH1: afsmalning af nethindens arterioler. Skyldes karspasmer eller arteriosklerotisk fortykkelse af karvæggen.
FH2: arteriovenøse krydsningsfænomener, hvor det forstås at venerne indsnævres hvor de krydses af en arterie.Disponerer til grenveneokklusion. Kaliberveksling af nethindens arterioler ses også.
FH3: retinale hårde ekssudater, blødninger og cotton wool spots – pga. små spredte retinale infarkter. Ekssudater er hvidlige skarpt afgrænsede aflejringer i nethinden, der er reversible.
FH4: papilødem – øjensymptomer pga. ekssudater i fovea – kortvarig synstab.
