1-1
Du er reservelæge på øjenafdelingen. Fra vagtlægen får du henvist en 56 årig mand med
synsproblemer gennem knapt 1 døgn. Han har briller med styrken -10,0 dioptrier på begge øjne,
men er ellers tidligere øjenrask. I går kom der pludselig et par mobile uklarheder i synsfeltet på
højre øje, som over timer blev til et ”spindelvæv”. I dag fornemmer patienten at synet på højre øje
er kraftigt nedsat. For 1 måned siden fik patienten diagnosticeret type 2 diabetes. For 14 dage
siden fik han et stød mod højre øje, da han tumlede med sin barnebarn, men han havde ingen
gener herefter.
Du foretager en objektiv undersøgelse og finder følgende:
Visus på højre øje: lyssans med projektion
Visus på venstre øje: 1,0 (6/6) med egen korrektion
ESLM: Normal
Pupiller: Runde og egale med naturlig reaktion for direkte og indirekte lys.
Synsfelt for hånd på højre øje: kan ikke undersøges
Synsfelt for hånd på venstre øje: normalt
Øjentryk: 14 mmHg på begge øjne.
Spaltelampeundersøgelse ou: Bulbi blege, corneae klare og blanke, forreste kamre af normal
dybde, irides naturlige, lentes alderssvarende.
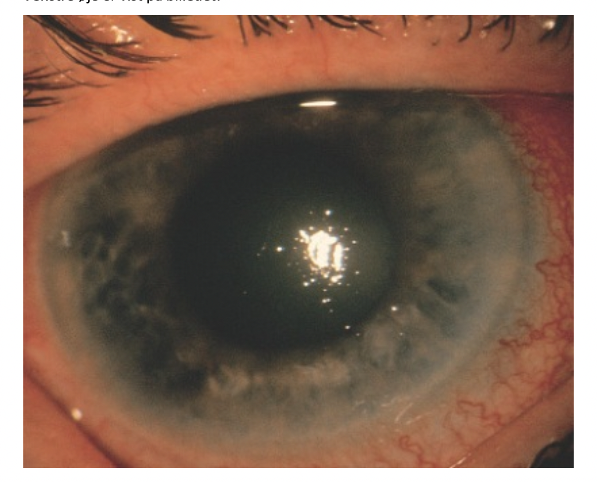
Oftalmoskopi af højre øje: Se foto.
Oftalmoskopi af venstre øje: Normal.
Hvad er din tentative diagnose?

1-2
Fra første delopgave:
Du er reservelæge på øjenafdelingen. Fra vagtlægen får du henvist en 56 årig mand med
synsproblemer gennem knapt 1 døgn. Han har briller med styrken -10,0 dioptrier på begge øjne,
men er ellers tidligere øjenrask. I går kom der pludselig et par mobile uklarheder i synsfeltet på
højre øje, som over timer blev til et ”spindelvæv”. I dag fornemmer patienten at synet på højre øje
er kraftigt nedsat. For 1 måned siden fik patienten diagnosticeret type 2 diabetes. For 14 dage
siden fik han et stød mod højre øje, da han tumlede med sin barnebarn, men han havde ingen
gener herefter.
Tentativ diagnose:
56-årig mand med tæt glaslegemeblødning på højre øje.
Er der noget i patientens anamnese der kunne foranledige en glaslegemeblødning?
1-3
56-årig mand med tæt glaslegemeblødning på højre øje.
Hvad er det næste trin i din udredning for glaslegemeblødning?
1-4
56-årig mand med tæt glaslegemeblødning på højre øje.
Du foretager en ultralydsskanning af øjet og får flg. billede på højre øje;
Hvilken diagnose mistænker du nu og hvilken behandling vil du tilråde patienten?

En 35 årig mand henvender sig i skadestuen på grund af tiltagende smerter og rødme i højre
gennem 3 dage. Ingen hovedpine. Han er tidligere øjenrask og bruger ikke briller eller
kontaktlinser. Han arbejder som tømrer, men mener ikke han har fået noget i øjnene.
Objektiv undersøgelse:
Visus o.dxt: 6/12 uden korrektion
Visus o.sin.: 6/6 uden korrektion
ESLM: normale øjenomgivelser, stilling, lejring og motilitet. Ingen fremmedlegemer ved vending af
øjenlåg
Der bedøves med oxybuprocain uden effekt på smerter. Flouresceinfarvning uden farveoptag på
cornea
Bulbus: højre øje (se foto), normale forhold venstre øje
Hvad er mest sandsynlige diagnose?

2-2
35 årig mand med pludselig debut af smerter og rødme i højre øje.
Du mistænker akut anterior uveit, og patienten henvises til øjenafdelingen, der udfører følgende
undersøgelse:
Visus o.dxt: 6/12 uden korrektion
Visus o.sin.: 6/6 uden korrektion
Spaltelampe o.dxt: Klar hornhinde med små cellenedslag på endothelet (præcipitater). Celler i
forreste kammer og let lysvej. Begyndende bagre synekier. Lens naturlig. Enkelte celler i
glaslegemet
Spaltelampe o.sin: normale forhold
Oftalmoskopi ou: normale forhold
Tension ou: 12/15 mmHg
Hvad er endelige diagnose?
1. Anterior uveit
2. Intermediær uveit
3. Posterior uveit
4. Panuveit
5. Keratit og uveit
2-3
35 årig mand med pludselig debut af smerter og rødme i højre øje.
Patienten har akut højresidig anterior uveit. Hvilken af følgende er hyppigste årsag?
2-4
35 årig mand med akut højresidig anterior uveit. Tidligere øjenrask.
Der laves grundigere anamnese og patienten har lidt ubehag i lænden, som primært er til stede
om natten samt om morgenen. Han er også kendt med forkølelsessår på læben. Ingen klager over
hoste eller lufthunger, hududslæt. Ingen seksuel risikoadfærd. Der opstartes behandling og tages
HLA-B27 som er positiv.
Hvad er behandlingen?
2-5
35 årig mand med akut højresidig anterior uveit. Tidligere øjenrask.
Der laves grundigere anamnese og patienten har lidt ubehag i lænden, som primært er til stede
om natten samt om morgenen. Han er også kendt med forkølelsessår på læben. Ingen klager over
hoste eller lufthunger, hududslæt. Ingen seksuel risikoadfærd. Der opstartes behandling og tages
HLA-B27 som er positiv.
Hvilket af følgende udsagn er korrekte?
3-1
Du er reservelæge i almen praksis. En ung mand kommer med et rødt højre øje gennem 2 dage
med kraftigt tiltagende smerter, lysskyhed, rødme og sløret syn. Han bruger kontaktlinser pga. let
myopi (-2,5 /-2,5 dioptrier) og fortæller, at han havde besvær med at tage linsen ud af højre øje
for 3 dage siden. Du finder et blegt venstre øje, men ciliær injektion i højre øje samt tåreflåd,
lysskyhed og en stor uklarhed midt på højre cornea. Visus med briller på er 0,1 (6/60) og 1,0 (6/6)
på hhv. højre og venstre øje.
Hvad gør du?

Øjenlægen ser patienten akut på mistanke om keratit, og ser følgende:
Øjenlægen mistænker pseudomonas keratit, idet patienten er kontaktlinsebruger og har udviklet
en svær purulent keratit på kort tid. Hvad er behandlingsstrategien:
3-3
Hvis øjet i stedet for havde set sådan ud, hvad skulle øjenlægen så have behandlet øjet med?
Svar:
1. Bredspektrede antibiotiske øjendråber
2. Antiviral (fx aciclovir) øjensalve 5 gange dagligt
3. Systemisk steroid
4. NSAID dråber (fx voltaren) 4 gange dagligt
5. Steroid øjendråber (fx dexamethason) 3 gange dagligt

Note:
Billedet viser en viral keratit.
Det behandles med antiviralke midler i form af aciclovir 5 gange dagligt i 14 dage.
50 årig mand kommer til dig i skadestuen med pludseligt opståede stærke smerter svarende til
venstre øje. Smerterne har nu bredt sig til pande og tindingeregion. Han har gennem den seneste
måned oplevet 30 minutter lange, intermitterende smerter og regnbuesyn på venstre øje.
Er tidligere systemisk rask. Tager ingen medicin.
Er langsynet på begge øjne. Brilleglasmål: o.dxt. + 3 dioptrier, o.sin + 4 dioptrier.
Visus o.dxt. 1,0 (6/6). Visus o.sin. 0,25 (6/24)
Højre øje er blegt med klar cornea og lysreagerende pupil.
Venstre øje er vist på billedet:
Hvilken af følgende diagnoser er mest sandsynlig?

Note:
Akut lukketvinklet glaukom er karakteriseret ved degeneration af synsnerven som følge af forhøjet intraokulært tryk forårsaget af vinklelukning.
Symptomer er:
Den 50-årige mand har smerter i venstre øje, regnbuesyn, ciliær injektion og middeldilateret pupil ved lys.
Katrakt:
En tilstand med uklarheder i øjets linse. Tilstanden er karakteriseret ved synspvåvirkning udviklet over tid samt blænding især i mørke. Evt. farvenedsættelse.
Det lyder ikke som katarakt da manden har pludselige opstået smerter, hvilket ikke hænger sammen med katarakt.
Iridocyclitis:
En form for anterior uveit med inflammation i øjets forreste kammer, Karakterisk er smerter, ciliær injektion, sløret syn, lysskyhed og tåreflåd. Man vil ofte kunne se hypopyon, synakier, små hvide pletter på cornea som følge af nedslag af inflammatoriske celler.
Manden i casen har smerter og ciliær injektion, men de objektibe fund herudover ciliær injektion tyder ikke på iridocyclitis.
Bakteriel conjunctivitis:
Det vi i daglig tale omtaler som øjenbetændelse. Tilstanden er karakteriseret ved rødme, irritation, pus og sammenklistret øjenlåg.
Manden i casen har på billedet ikke umiddelbart pus.
Keratitis:
Bakteriel eller vital infektion i cornea. Tilstanden er karakteriseret ved smerter, sløret syn, lysskyhed, tåreflåd, ciliær-eller blandingsinjektion, øjenlågødem, uklar cornea.
Manden bruger briller og ikke kontaktlinser, som er den hyppigste årsag.
Hvilket nedenstående udsagn omhandlende myopi er korrekt:
En 77-årig patient får konstateret senil katarakt. Han er i meget høj grad er generet af sit dårlige
syn. Han undersøges yderligere og du sikrer dig, at der ikke er tale om andre årsager til nedsat syn.
Objektiv undersøgelse:
Visus o.dxt: 6/12 med egen korrektion
Visus o.sin: 6/12 med egen korrektion
Synsfelt for hånd: Normal.
Spaltelampeundersøgelse ou: Bulbi blege, corneae klare og blanke, forreste kamre af normal
dybde, irides naturlige, lentes med senil katarakt.
Oftalmoskopi ou.: Normale nethinder og synsnerver. Ingen AMD forandringer.
Du vil herefter informere patienten om mulighederne. Hvad fortæller du?
Du er øjenlæge:
Din næste patient er en 6-årig dreng. Moderen oplyser, at der i venstre øje igennem de sidste 3
dage er tiltagende gulligt pus typisk om morgenen.
Anamnese og objektiv undersøgelse:
Sund og rask dreng, født til termin, har fulgt vaccinationsprogram. Ingen tidligere øjengener. Ingen
feber.
Eksterna: o.dxt. normal, o.sin let tåreflåd samt rest af gulligt puds i mediale øjenkrog. Rødme af
huden omkring nedre øjenlåg samt hævelse og rødme neden for mediale øjenkrog (se billede). Du
presser gult puds ud af tåregangen ved palpation. Motilitet normal o.u., ingen ptose eller
nystagmus o.u. Visus 1.0 (6/6) o.u. (Østerbergs tavle). Spaltelampe: normalt o.u. Oftalmoskopi
normalt o.u.
Angiv korrekt diagnose:

Du er øjenlæge:
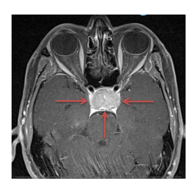
En kollega beder dig kigge med på en MR scanning, som beskriver fund af et velafgrænset
adenom, men eksakt lokalisation er ikke anført i beskrivelsen (fremgår dog af billedet). Patienten
har bitemporal hemianopsi.
Hvilken del af den synsbanen er højst sandsynligt påvirket?

Du er øjenlæge:
Du ser en mand en 40-årig mand som klager over begyndende hovedpine ved nærarbejde samt
læsetræthed.
Anamnese og objektiv undersøgelse:
Patienten er sund og rask. Ingen tidligere øjengener. Bruger ikke briller. Externa, spaltelampe og
oftalmoskopi: normalt o.u. Applanatorisk tryk: 14 mmHg o.u. Visus uden korrektion er 1.0 (6/6)
o.u.
Du foretager autorefraktion:
o.dxt: +3.5 dioptrier.
o.sin: +3.0 dioptrier.
Sæt kryds ved den korrekte tilstand og behandling:
21-årig tidligere rask kvinde henvender sig pga. synsnedsættelse på højre øje gennem 2-3 dage og
smerter bag øjet ved øjenbevægelser. Ved din undersøgelse finder du relativ afferent pupildefekt
(RAPD) samt nedsat farvesyn på højre øje. Alle øvrige undersøgelser (inklusiv oftalmoskopi) er
normale o.u.
Hvilken af nedenstående diagnoser er mest sandsynlig?
Hvilke udsagn er korrekte om synstruende diabetisk retinopati?
Sæt kryds ved det rigtige udsagn:
A. 1+2+4
B. 1+3+4
C. 1+3+5
D. 2+3+4
E. 3+4+5
A. 1+2+4
Du tilser en patient med unilateral exoftalmus og dobbeltsyn. Hvilke diagnoser passer bedst på
dette fund?
Sæt kryds ved det rigtige udsagn:
A. 1+2
B. 1+3
C. 1+2+3
D. 2+4
E. 2+5
D. 2+4