What is dermatomycoses?
Cutaneous infection caused by yeast and normally saprophytic filamentous fungi resembling dematophytosis.
What type of immunity plays an important role in protection and recovery from cutaneous mycoses infection?
Cell-mediated
Dermatophyte infections are called what?
Dermatophytosis or ringworm.
What are the 2 phases of infection with cutaneous mycoses?
What is subcutaneous mycoses?
Broad range of infections involving deeper layers of skin, muscle, bone or connective tissues.
What caused this?

Sporothrix schenckii
Causes sporotrichosis
What species do we see Sporothrix schenckii in?
Cats, humans, horses and dogs.
How do most animals get S. schenckii?
What is the pathogenesis?
Traumatic event
Leads to ulcerating cutaneous nodules
Spreads to SQ lymph channels
Pyogranulomatous lesions
Suppurative ulcers develop
Dissemination to joints, viscera and CNS (in cats)

Exudates in Sporothrix yield the highest # of fungi in what species?
Cats
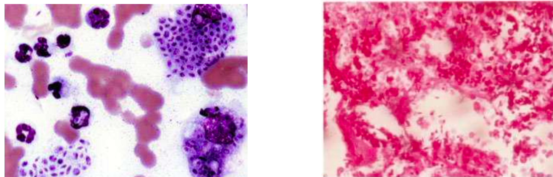
Below is the yeast form of Sporothrix.
Remember: it’s a saprophytic dimorphic fungus.
Yeast grow best at 37 C on blood agar.

What is this?

Sporothrix schenckii
This is the mold form: branching septate hyphae that bear pyriform micoconidia (look like flowers)
This would grow best at 25-30 C on Sabouraud’s agar.
What causes this?

Histoplasma capsulatum var. farciminosum
Pseudoglanders
Epizootic lymphangitis
African Horse Farcy
How is Pseudoglanders transmitted?
What is the pathogenesis?
Wound in the skin/possibly an arthropod bite
Local skin nodule becomes abscessed and ulcerated (mainly head, neck and limbs).
Pyogranulomatous response
Adjacent lymphatics develop similar nodules
**Hematogenous spread and visceral involvement possible. **
A good differential diagnosis for Histoplasma capsulatum var. farciminosum would be what?
Corynebacterium pseudotuberculosis
T/F: Oomycocis is a member of the Kingdom Fungi.
False, it is a member of the *Kingdom Stramenopiles, *
Pythium and Saprolegnia is included under oomycosis.
What causes this?

Cutaneous Pythiosis
Pythium insidiosum
What species is Cutaneous Pythiosis seen in?
Horses, dogs, cattle and cats.
In the cat, Pythiosis causes what type of lesions?
Tumor like masses

What is causing this infection in the horse?

Kunkers or leeches
Caused by: Cutaneous Pythiosis.
Sparsely septated hyphae may be observed within granulomatous coagula (kunkers/leeches).
What is causing this?

Chromoblastomycosis
Typically rare in humans.
Mostly occurs in frogs and toads.
Sclerotic bodies present.
This is a darkly pigmented (dematiacious) fungi.
What is causing this?

Phaeohyphomycosis
Mostly seen in cats and dogs.
Hyphae present.
Darkly pigmented (dematiaceous) fungi
What type of stain would you use to ID Chromoblastomycosis or Phaeohyphomycosis?
Mason-Fontana Stain
To highlight melanin.
What is this?

Curvularia
What is this?

Mycetoma
Specifically a eumycotic mycetoma
Reported in cattle, horses, dogs and cats.
Swelling, granule formation, and a draining sinus tract.
Fungi that cause this: Curvularia, Cochliobolus, and Pseudallescheria
Bacteria that cause this: Nocardia, or Actinomyces.
What causes this?

Saprolegnia
Associated with stress in a pond; typically temperature.