Anal sac adenocarcinomas
associated with hypercalcemia
Anal sac tumor
most commonly apocrine gland adenocarcinomas (need to FNA of biopsy to diagnose), masses in the 4 and 8 o’clock regions. Hypercalcemia is occasionally associated with this tumor type and dogs commonly present for tenesmus or licking around the perianal region.
Basal cell tumor
represent a heterogeneous group of cutaneous epithelial neoplasms recognized most commonly in cats, less commonly in dogs, occasionally in horses and sheep, and seldom in other domestic animals. These neoplasms are composed of a proliferation of small basophilic cells that exhibit morphology reminiscent of the progenitor cells of the epidermis and adnexa. As these tumors have been examined more closely, evidence of differentiation (follicular, sebaceous, etc) has been discovered, giving justification for reclassification. For example, in dogs, what in the past was called a basal cell tumor is best characterized as a trichoblastoma, a tumor of hair bulb (the site of the follicle that produces the hair shaft) origin.
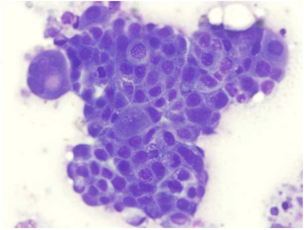
Carcinoma
These tumors come from epithelial cells including cells of glandular tissue such as salivary glands, mammary glands, and cell lining most tissues including squamous cell or transitional cells. The cytologic appearance is that of cohesive clusters of cells. Cells are often polygonal in shape.
CHOP chemotherapy protocol
Cyclophosphamide, vincristine, doxorubicin, and prednisone are the drugs in a CHOP chemotherapy protocol used to treat dogs and cats (and people) with high grade or large cell lymphoma, which more commonly manifest as a large focal mass rather that diffuse thickened intestines.
Erythropoietin secretion
associated with renal carcinomas, causing elevations in hematocrit as a paraneoplastic syndrome
Hemangiosarcoma
right atrium in dog most commonly affected, associated with thrombocytopathy. Can results in cardiac tamponade from excessive accumulation of fluid in the pericardium resulting in an increased intrapericardial pressure impairing diastolic filling of the heart.
Histiocytic sarcoma
common in dogs and rare in goats and cattle; it is debatable whether they are found in cats. Strong immunohistochemical evidence suggests that in dogs they are derived from Langerhans (intraepidermal antigen processing) cells. These tumors are typically seen in dogs <3.5 yr old but can be seen at any age. English Bulldogs, Scottish Terriers, Greyhounds, Boxers, and Boston Terriers are most at risk. The head (including the pinnae) and limbs are the most common sites of involvement. These classic “button tumors” appear as solitary, smooth, pink, raised nodules that are generally covered by alopecic skin, or they may be ulcerated. They are freely movable. Although a common neoplasm, histiocytomas are not always easy to diagnose histologically and can be confused with granulomatous inflammation, mast cell tumors, plasmacytomas, and cutaneous lymphosarcomas. Canine histiocytomas should be considered benign, and most resolve spontaneously within 2–3 mo without treatment. Surgical excision is optional once the diagnosis is established (which can often be made via cytology).
Histiocytomas
typically benign and will often present as a small, raised mass that may or may not be ulcerated. Fortunately, these masses usually regress on their won, and surgical or medical intervention is typically not necessary.
Hyperadrenocorticis
caused by functional adrenal or pituitary tumors
Hypercalcemia
associated with anal sac adenocarcinomas, lymphomas and other tumors
Hyperestrogenism
can be seen with Sertoli cell tumors
Hypertrophic osteopathy
Due to pulmonary neoplasia
Lymphomas
associated with hypercalcemia, first treatment option for cats is an L-asparaginase trial.
Mammary tumors
Almost always malignant and will eventually metastasize in cats and about 50% in dogs of which on 50% will eventually metastasize. tumor >2 cm is a negative prognostic indicator in cats.
Mast cell tumour
associated with causing GI ulcers (histamine via activation of H2 receptors or gastric parietal cells), perioperative hypertension, and coagulation abnormalities. Do not use morphine in patient with MCT due to significant histamine release, butorphanol and ketamine do not, acepromazine has some histamine. MCT release histamine, heparin (causes coagulopathy), and other vasoactive amines (with histamine leads to vasodilation and hypotension).
MCT high grade - treatment
Start a tyrosine kinase inhibitor chemotherapy drug
Mast cell tumors are highly responsive to radiation therapy, but with clean excision and wide surgical margins, local recurrence is unlikely. Metastasis is the primary concern and a wait and monitor approach is not advised. Even with no evidence of metastasis at the time of surgery, chemotherapy should be initiated as soon as possible. Common protocols include single agent or alternating vinblastine and lomustine. Tyrosine kinase inhibitors target c-kit, a stem cell factor receptor involved in mast cell proliferation and differentiation.
Most common intranasal tumor in cat
lymphosarcoma
Most common intranasal tumor in dog
Adenocarcinoma
Multiple myeloma
Associated with thrombocytopathy
Nasal Adenocarcinoma
nasal plane of dog

Ocular squamous cell carcinoma bovine
“cancer eye” heritable in cattle
Osteosarcoma
diaphysis most common site of origin
most common primary bone tumor is osteosarcoma that affects the distal radius, proximal humerus, distal femur, or proximal tibia.
Papillomas in Saanen goats
Tend to transform into squamous cell carcinomas