if pt tells you reason for teeth being broken should you include in your notes?
yes
needs to be clear if known cause as pt can come back with legal claim in months to come
e.g. upper teeth broken during intubation procedure for surgery
omeprazol
proton pump inhibitor
reflux
tramadol
strong painkiller
citalopram
antidepressant
recommended untis of alcohol per week
14
how to explain units to pt
ask what she is drinking
use drink aware website to show
if pt says they use non-fluoride toothpaste
ask why
explain benefits of F - strengthen tooth mineral
not going to give cancer
evidence based - cochrane reviews
is you get a dentally anxious pt how to deal with them
ask why they are anxious?
trigger? past experience? anything you can do to help? would they be interested in relaxation techniques?
BPE 2
supra gingival plaque and calculus
BOP
<3.5mm pocket
BPE 3
probe goes into pocket but black band partially visible 3.5-5.5mm
supragingival plaque and calculus
BOP
managment BPE 2
OHI
calculus and overhang removal
management BPE 3
6PPC in that sextant after tx
pre cancer therapy dentally fit key
remove all potential sources of infection
prevention for pt about to go into chemo
enhanced prevention level F - emphasise importance due to dental health risk during chemo (lower immune)
take impressions for F trays and secondary ones incase splint needed if mucositis or ulceration occurs
diet diary to evaluate caries risk and modifications that can be made
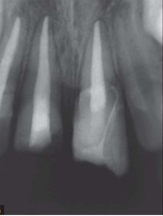
radiographic report

A
21 and 11 - can see fracture on 21
RCT - adequate down to apex and no voids/air bubbles, 11 GP exposed clinically - could expose to bacteria and saliva - inadequate seal - may need redone
Periapical healthy - OK, PDL ligament widening on mesial 21, not PA lesion on 11 as can see PDL going round tooth
what if you saw this toth in a pt about to go into chemo tx and it has previously been RCT

GP exposed risk infection
If fit and healthy - maybe post crown
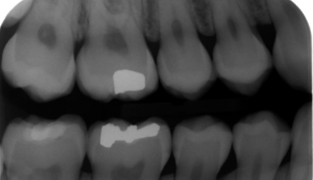
radiographic report

A
Restorations occlusal 16 and 46 amalgams, 47 (composite)
Interproximal caries possible 45 and 46
45 likely just into dentine distal xrays 6 months behind
White shadow in 17 - pulp stones - calcifications - asymptomatic
radiographic report

A old be 2 (as want to see mesial distal entirely)
37 - secondary caries mesial
36 mesial caries
Gross caries distal 25 and 26
Widening PDL 37
Bone loss upper left
chemotherapy aims
Kill cancer cells and stop reproducing
Targets specific cells - rapidly dividing cells
side effects chemotherap (10)
variation
mucositis
inflammation of mucous membranes
Can vary widly
10 days to occur post chemo - 5 days to peak and 5 days to resolve

mucositis aids
Topical anaesthetic to relieve before eating
Oral hygiene
Mouth rinse - cooling (calcisol)
Oral cooling - ice lolly or suck on ice to help soothe
F trays
grades of mucositis
based on side effects
WHO Oral mucositis grading scale
mucositis grade 0
no side effects