Oogenesis Flashcards

(22 cards)

1
Q

For what reason is the reproductive energy for female fish high?

A

Eggs are nutrient and resource rich as must provide the building blocks for developing embryos
Female fish must commit high energy reserves to egg production and start recrudescence well in advance of spawning

How well did you know this?
1
Not at all
2
3
4
5
Perfectly
2
Q

draw the Oocyte development of gillhead seabream and zebrafish

A
How well did you know this?
1
Not at all
2
3
4
5
Perfectly
3
Q

Why is salmon “easy” to rear in captivity?

A

the larvae of salmon can be fed with a commercial diet straight overcoming the problem of feeding zooplankton in most other species

How well did you know this?
1
Not at all
2
3
4
5
Perfectly
4
Q

Describe the Ovarian development

A
How well did you know this?
1
Not at all
2
3
4
5
Perfectly
5
Q

How do PGCs migrate?

A

chemokine signalling

How well did you know this?
1
Not at all
2
3
4
5
Perfectly
6
Q

what hormone is important in ovarian development during differentiation

A

17 estrodiol (E2)

How well did you know this?
1
Not at all
2
3
4
5
Perfectly
7
Q

what happens to the ovarian development of XX tilapia and trout when E2 is blocked

A

trout and tilapia became phenotypic males

How well did you know this?
1
Not at all
2
3
4
5
Perfectly
8
Q

How does temperature change affect sex determination in some fish e.g. japanese flounder

A

XX females at 18°C, XX males at 27 °C the latter can be reversed to females if given E2 (Kitano et al. 2007)

How well did you know this?
1
Not at all
2
3
4
5
Perfectly
9
Q

Why are haploid sex cells preferred in breeding fish?

A

diploid sex cells would result in three sets of chromosomes for the following generation

How well did you know this?
1
Not at all
2
3
4
5
Perfectly
10
Q

describe the picture

A

Oogoniaarranged in nests and proliferate, E2 thought to be important for proliferation

when meiosis begins, becomes a primary oocyte and follicle layer formed

Once the follicle is complete and first meiotic division initiates then becomes the primary oocyte
Main development is formation of organelles and molecules utilised later stages

How well did you know this?
1
Not at all
2
3
4
5
Perfectly
11
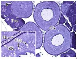
Q

describe the picture

A

Cortical alveoli formation

The first obvious sign of gonadal recrudescence
These are used for chorionformation (restructure of egg shell proteins) after fertilisation
The production of cortical alveoli is associated with FSH and an increase in E2
Cortical alveoli formation
Lipid droplets may also be accumulated

How well did you know this?
1
Not at all
2
3
4
5
Perfectly
12
Q

How does steroidogenesis work?

A

enzymes turn cholesterol into testosterone in the theca and then diffuses into the granulosa where the testosterone is turned into estradiol-17B by P450arom (enzyme)

(most important)

How well did you know this?
1
Not at all
2
3
4
5
Perfectly
13
Q

what controls Upregulation of steroidogenic enzymes?

A

GtHs

How well did you know this?
1
Not at all
2
3
4
5
Perfectly
14
Q

What is lipoglycophosphoprotein?

where is it produced?

what is it used for?

what is it mediated by?

A

Vitellogenin

produced in the liver

used as main building block for embryo

mediated by estradiol E2

How well did you know this?
1
Not at all
2
3
4
5
Perfectly
15
Q

why are fish embryos developing inside an egg shell?

A
Egg shell is important in protection from environment and
microbial infection as well as guiding sperm at fert via micropyle at
animal pole (closes after fert)
How well did you know this?
1
Not at all
2
3
4
5
Perfectly
16
Q

Upregulation of ____ ____ are controlled by GtHs

A

steroidogenic enzymes

17
Q

Why do Oocytes undergo hydration during final stages of maturation?

A

to help buffer embryo against osmotic extremes of marine
environment as well a providing bouyancy & dispersal

(Hydration occurs through hydrolysis of yolk proteins into FAAs as well
as accumulation of ions such as K+, Mg2+, Cl-, Ca2+, NH4+)

18
Q

what happens during the ovulation of hydrated oocytes?

A
  • Microvilli retract from granulosa cells and follicle layers rupture during hydration
  • Contractile cells in follicle may also contribute to expulsion of oocyte
  • DHP upregulates proteins associated with ovulation
19
Q

Describe the process of Atresia

A
  • Gonad regresses at the conclusion of breeding season, therefore resorbs remaining vitellogenic oocytes
  • This is primarily coordinated by granulosa cells which phagocytise oocytes and their yolk
  • Oocyte nucleus and organelles disintegrate, followed by hypertrophy of follicle cells
20
Q

What initiates oogenesis?

A

environmental cues

and mediation of endocrine system

21
Q

What primarily drives oocytes to transit through a number of key stages ?

A

sex steroids that are regulated by GtHs

22
Q

how is ovarian development assessed?

A

morphometricindices, hormone quantification and histology