Hard exudate
Deep yellow with sharp margins, often circinate Diabetes, hypertension, von Hippel Lindau disease, radiation
Rhegmatogenous
with a retinal break, tear or hole associated with formation of a retinal periphery associated with peripheral retinal thinning of high myopia
inner blood retina barriers
attributed to the tight endothelial cell junctions of the retinal capillaries.
Any disturbance - leads to oozing of fluid and/or blood, as well as lipids and proteins from the retinal vascular tree

Soft Exudates
Retinal detchment
condition where retinal pigment epithelium is separated from the inner retinal layers, with accumulation of fluid in the subretinal space

keratoconus
Posterior portion of the uveal tract, located between the retina and the sclera
Choroid
Blood from the choroidal vessels drain via the FOUR VORTEX VEINS
fascia behind the the portion of the orbicularis muscle that lies between the orbital rim and the tarsus
Orbital septum
Condition wherein parallel light rays do not fall into a pinpoint focus on the retina
Ammetropia
lie at the junction of the peripheral cornea and the root of the iris SCHWALBE’s line: trabecular meshwork which overlies the schlemm’s canal and the scleral spur
Anterior chamber angle
Anti-glaucoma drug which decreases aqueous production acts on the epithelial cells of the
PARS plicata
fascial reflections that become continuous with the fascia of the muscles and the fused fascia sends out expansions to the surrounding structures and to the orbital bones
check ligaments
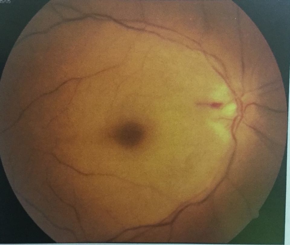
Lesion on the optic nerve
Central Scotoma
Thickened fold of bulbar conjunctiva at the inner canthus
Semilunar folds
corresponds to the nictittaing membrane
Dermoid choristoma
congenital
inferotemporal limbus smooth elevated, tan to fleshy color, round to oval solid mass embedded in the superficial cornea and sclera
dermoids are composed of fibrous tissue and hair with sebaceousglands that is convered with conjunctival epithelium
Choroidal capllary heamngioma
benign, isolated, round, well circumscribed reddish orange tumors under the retina, of varying sizes, u
sually discovered as an incidental finding during a routine eye examination.
TX: laser treatment, cryopexy, photodynamic therapy, external beam irradiation and transpupillary thermotherapy
Volume of orbit
30 cc in adults
First of the ten layers of the Retina Outermost
Retinal pigment epithelium
adjacent to the choriocapillaries of the CHOROID and is separated by the BRUCH’s MEMBRANE
Commonly known as nearsightedness..
focus at a point in front of the retina
Myopia
eyeball longer than average
Corneal curvature steeper than average
use DIVERGENT LENS (Negative or biconcave lens)
Corneal scars
Tan to white color formed after an inflammatory process when fibrosis sets
Fibers of the optic nerve
Visual fibers : 80% synapse in the lateral geniculate body of neurons whose axons terminate in the visual cortex of the occipital lobe
Pupillary fibers: 20%. bypass the geniculate body en route to the pretectal area

Central retinal artery occlusion
Amacrine cells
horizontal cells allow multiple photoreceptors to plug into a smaller number of bipolar and ganlion cells
Floaters (muscae volitantes)
black to gray spots and/or fibers that move about in the field of any vision of the patient.
commonly observed after the age of 45 -50 when vitreous liquefaction and vitreous collapse and or detachment have begun