On slip lamp exam you see this. The blood vessels are normal.
What is the diagnosis?
What should these patients be worked up for?

Dx: cotton wool spot retinopathy
Tx: workup for leukemia, lymphoma, HIV
What is anisocoria?
different pupil sizes
A 45 yo male patient presents to the clinic complaining of mild vision loss. He is on anticoagulants for his A-fib.
What is the diagnosis?
What is the treatment?

Dx: Hyphema
Tx: topical steroid + cycloplegic
make sure to check IOP!
What is the leading cause of blindness in the US?
diabetic retinopathy
A 10 yo presents to the clinic complaining of eye and facial pain.
What is the diagnosis?
What is the treatment?

Dx: dacrocystitis
Tx: oral antibiotics (Keflex/Augmentin)
A patient presents to the clinic complaining of transient monocular vision loss. He says last night he was watching tv when he lost vision in his left eye for a few minutes that then returned to normal. Slip lamp exam is normal. Physical exam is normal.
What is the diagnosis?
What do you need to work him up for?
Dx: Amaurosis Fugax
Tx: refer to neuro = CVA workup
A patient presents to clinic with eye pain without discharge. She denies any allergies or sickness. The eyelids appear normal.
What is the diagnosis?
What is the treatment?

Dx: Episcleritis
Tx: self-limiting
What is heterochromia?
2 different iris colors
Your medical assistant runs into your office stating there is a man with a gross red eye sitting in the waiting room scaring all the other patients. The patient comes to your clinic because he noticed his eye started bleeding out of nowhere. He is asymptomatic. He is on aspirin 81 mg daily.
What is the diagnosis?
What is the treatment?

Dx: Subconjunctival hemorrhage
Tx: Self-limiting
A patient with a PMHx of rheumatoid arthritis presents with eye pain and headaches. On physical exam you do not notice discharge.
What is the diagnosis?
What is the treatment?

Dx: Scleritis
Tx: oral NSAIDs
A patient presents to the ED with a headache. On EOM testing you discover he is unable to look up, down or in. Pupils are not as reactive as they should be.
What is the diagnosis?
What should you work him up for?
Dx: Acute CN 3 palsy
Tx: work up for aneurysm with CTA/MRA
A patient presents to the clinic with unilateral eye pain, tearing, and irritation. She had a blepharitis a few weeks ago that was untreated. You notice a focal area of subcutaneous erythema that is tender to the touch.
What is the diagnosis?
What is the treatment?

Dx: Hordeolum
Tx: Warm compress 10m QID
A patient who is recovering from a viral conjunctivitis now presents with this.
What is the diagnosis?
What is the treatment?

Dx: Corneal infiltrates
Tx: treat according to etiology
A 65 yo patient with a PMHx of smoking presents to the clinic complaining of dramatic vision changes. On slip lamp exam you notice drusens and hemorrhage.
What is the diagnosis?
What is the treatment?

Dx: WET age related macular degeneration
Tx: intravitreal anti-VEGF injection
A 50 yo patient with a PMHx of HTN and T2DM presents to the clinic complaining of left eye vision loss. On physical exam you do not see any redness, discharge or pain. On slip lamp exam you notice focal hemorrhage.
What is the diagnosis?
What is the treatment?

Dx: branch vein occlusion
Tx: ophthalmology + neurology urgent referral
A patient presents to the clinic complaining of tearing and irritation over the eyelids. You notice crusting along the eyelashes.
What is this condition called?
How is this treated?

Dx: Blepharitis
Tx: warm compress 10m QID
A patient presents for his regular yearly eye exam. He denies any changes or symptoms. On physical exam you notice this.
What is the diagnosis?
What is the treatment?

Dx: Pterygium
Tx: Self-limiting
Patient presents with eye irritation and mild injection. On slip lamp exam you see corneal dendrites.
What is the diagnosis?
What is the treatment?

Dx: Viral corneal ulcer (herpes zoster)
Tx: oral antivirals
A 65 yo patient presents complaining of a SINGLE large floater.
What is the diagnosis?
What is the treatment?
Dx: posterior vitrous detachment
Painful horner’s syndrome should have you concerned for this can’t miss diagnosis?
A patient presents to the clinic complainig of a bunch of flashes and floaters.
What is the diagnosis?
What is the treatment?

Dx: retinal detachment
Tx: refer to eye specialist
A 45 yo patient presents to the clinic complaining of left eye vision loss. On physical exam you do not see any redness, discharge or pain. On slip lamp exam you notice the retina looks white in segments.
What is the diagnosis?
What is the treatment?

Dx: branch artery occlusion
Tx: urgent referral to ophthalmology + neurology
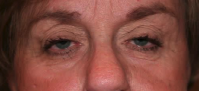
A patient presents with this finding and diplopia. What CN palsy should be concerned with?

CN 3 palsy
A patient presents to the clinic complaining of pink, watery eyes and photophobia. He said it started in the left eye but now involves both eyes.
What is the diagnosis?
What is the treatment?

Dx: Viral conjunctivitis
Tx: cool compress
HIGHLY CONTAGIOUS!!