Ophthalmology Flashcards

Fundoscopic Findings (21 cards)

1
Q

What is this?

A

Diabetic Maculopathy
- hard exudates in macular area
- flame haemorrhages and microaneurysms

How well did you know this?
1
Not at all
2
3
4
5
Perfectly
2
Q

What is this?

A

Pre-proliferative Diabetic Retinopathy
-cotton wool spots
- dot and blot haemorrhages

How well did you know this?
1
Not at all
2
3
4
5
Perfectly
3
Q

What is this?

A

Advanced proliferative diabetic retinopathy
- hard exudates
-haemorrhages
-neovascularisation

How well did you know this?
1
Not at all
2
3
4
5
Perfectly
4
Q

What is this?

A

Pan retinal laser photocoagulation
- multiple laser scars with areas of hyperpigmentation
- will have reduced peripheral vision and a degree of night blindness

How well did you know this?
1
Not at all
2
3
4
5
Perfectly
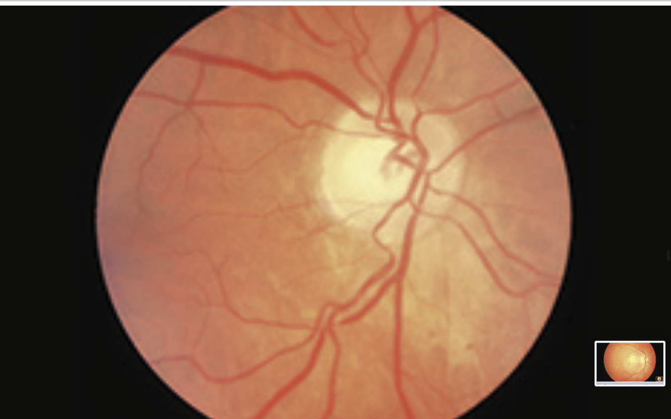
5
Q

What is this?

A

glaucoma
- large cup disc ratio >0.5 = optic disc cupping
- nasal displacement

How well did you know this?
1
Not at all
2
3
4
5
Perfectly
6
Q

What is this?

A

papilloedema
- disc margins obscured and swollen and hyperaemic
-tortuous retinal vessels

How well did you know this?
1
Not at all
2
3
4
5
Perfectly
7
Q

What is this?

A

optic atrophy with macular scarring
glaucoma
- optic disc pallor
- macular scarring

How well did you know this?
1
Not at all
2
3
4
5
Perfectly
8
Q

What is this?

A

dry ARMD
- drusen in macular area
- focal areas of atrophy of retinal pigment in central macular area

How well did you know this?
1
Not at all
2
3
4
5
Perfectly
9
Q

What is this?

A

Hypertensive retinopathy grade 2
-arteriolar narrowing
-av nipping

How well did you know this?
1
Not at all
2
3
4
5
Perfectly
10
Q

What is this?

A

CRVO
- papilloedema
- tortuous and dilated branches of CRV
- retinal haemorrhages
- cotton wool spots

How well did you know this?
1
Not at all
2
3
4
5
Perfectly
11
Q

What is this?

A

CRAO
- central cherry red spot with pale retina
- attenuation of arteries and veins

How well did you know this?
1
Not at all
2
3
4
5
Perfectly
12
Q

What is this?

A

Drusen

How well did you know this?
1
Not at all
2
3
4
5
Perfectly
13
Q

What is this?

A

Retinitis Pigmentosa
- multiple bony spicule retinal pigmentation scattered around retina periphery

How well did you know this?
1
Not at all
2
3
4
5
Perfectly
14
Q

What is this?

A

Branch Retinal Vein Occlusion
- micro aneurysms
- hard exudates
- retinal haemorrhages

How well did you know this?
1
Not at all
2
3
4
5
Perfectly
15
Q

What is this?

A

Retinal Detachment
- area of bullous retina showing area of elevation with fluid
- may see tear also

How well did you know this?
1
Not at all
2
3
4
5
Perfectly
16
Q

What is this?

A

Multiple Retinal Haemorrhages
- venous dilation also

17
Q

What is this?

A

Benign disc naevus
- flat pigmented lesion in inferior aspect of optic disc

18
Q

What is this?

A

Malignant melanoma
- elevated dome shaped grey mass

19
Q

What is this?

A

choroidal Naevus
- green/grey flat asymptomatic lesion with detectable but not sharp borders
- surface drusen
- areas of atrophy within lesion

20
Q

What is this?

A

Macular scar - toxoplasmosis
- pigmented clumps in macular area with scarring and atrophy
- pale optic disc

21
Q

What is this?

A

CMV retinitis
- dense white areas along vessels with vasculitis