Opportunistic + Facultative Pathogens Flashcards

(29 cards)

1
Q

what is this?

A

Pneumocystis trophozoites on Giemsa stain

How well did you know this?
1
Not at all
2
3
4
5
Perfectly
2
Q

what is this?

A

Pneumocystis cysts on Grocott silver stain.

How well did you know this?
1
Not at all
2
3
4
5
Perfectly
3
Q

Name the organism responsible for Pneumocystosis pneumonia

A

Pneumocystis jirovecii

How well did you know this?
1
Not at all
2
3
4
5
Perfectly
4
Q

what happens with PCP at organism and cell level in the lung?

A

organism adheres to type 1 pneumocytes lining alveoli which then makes it harder for oxygen to get into.

How well did you know this?
1
Not at all
2
3
4
5
Perfectly
5
Q

How is PCP spread?

A

person to person through the air - however some healthy adults can carry pneumocystis fungus in the lungs without having symptoms and it can spread to other people with weakened immune systems such as HIV/AIDS patients, solid organ or stem transplant patients, etc.

How well did you know this?
1
Not at all
2
3
4
5
Perfectly
6
Q

How do you diagnose PCP?

A

Bronchoalveolar lavage collection or lung biopsy. often sample sent to the lab for PCR + staining. Blood test to detect B-D glucan (beta-D glucan - part of the cell wall of many different types of fungi) can also help diagnose PCP.

How well did you know this?
1
Not at all
2
3
4
5
Perfectly
7
Q

what is wrong with ONLY doing a serum (1,3)-B-D-Glucan test?

A
  1. sensitivity is high but not as good as PCR - used alone, about 11% patients would be missed.
  2. Specificity - the same polysaccharide is present in the cell walls of other fungi and can be present in the serum of patients who have received various therapeutic products and procedures.
How well did you know this?
1
Not at all
2
3
4
5
Perfectly
8
Q

What is the first line treatment for PCP?

A

Co-trimoxazole ( trimethoprim/sulfamethoxazole)

How well did you know this?
1
Not at all
2
3
4
5
Perfectly
9
Q

Apart from first line PCP treatment, what other drugs can be used to treat?

A

Pentamidine, Dapsone-trimethoprim, Clindamycin-primaquine, Atovaquone. Also Echinocandins.

How well did you know this?
1
Not at all
2
3
4
5
Perfectly
10
Q

Name 2 microsporidia that can infect immunocompromised patients.

A

Enterocytozoon bieneusi and Encephalitozoon intestinalis.

How well did you know this?
1
Not at all
2
3
4
5
Perfectly
11
Q

What is the most common cause of intestinal microsporidia in immunocompromised patients?

A

Enterocytozoon bieneusi

How well did you know this?
1
Not at all
2
3
4
5
Perfectly
12
Q

What main symptoms do Enterocytozoon bieneusi cause?

A

chronic diarrhoea

How well did you know this?
1
Not at all
2
3
4
5
Perfectly
13
Q

what organism possesses the smallest nuclear genome of any cell?

A
How well did you know this?
1
Not at all
2
3
4
5
Perfectly
14
Q

Name the organism causing microsporidial keratitis especially in the immunocompetent or even rugby players sliding along the mud.

A

Encephalitozoon hellem.

How well did you know this?
1
Not at all
2
3
4
5
Perfectly
15
Q

name transmission routes of intestinal microsporidiosis.

A

Faecal oral route(recreational water and waterborne outbreaks), possible animal reservoir and need to think about airborne spores.

How well did you know this?
1
Not at all
2
3
4
5
Perfectly
16
Q

what drug is used to treat Encephalitozoon intestinalis and describe its mechanism.

A

albendazole by inhibiting the polymerisation of spindle microtubule tubules.

17
Q

name the organism that can cause primary amoebic meningoencephalitis.

A

Naegleria Fowleri

18
Q

How do you diagnose n.fowleri?

A

direct examination of CST through staining and culture.

19
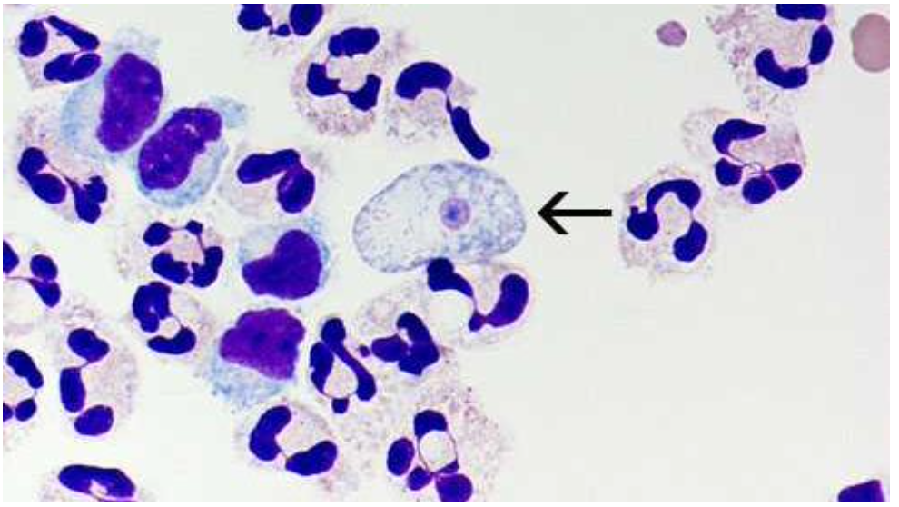
Q

what is the arrow pointing at?

A

Naegleria fowler trophozoite in CSF

20
Q

how do you treat primary amoebic meningoencephalitis? (PAM)

A

Amphotericin B

21
Q

how do you develop P.A.M

A

swimming, playing, diving and washing in infected water whereby the bacterium enters the nasal sinuses entering the brain via the olfactory nerve tract.

22
Q

name the organisms causing granulomatous amoebic encephalitis ( G.A.E)

A

acanthamoeba, balamuthia mandrillaris, sappinia pedata.

23
Q

what two diseases do acanthamoeba app cause?

A

Granulomatous amoebic encephalitis(exclusive mainly to immunocompromised) and amoebic keratitis.

24
Q

what is different about G.A.E tissue compared to E.histolytica?

A

both trophozoites and cysts are found in the tissues.

25
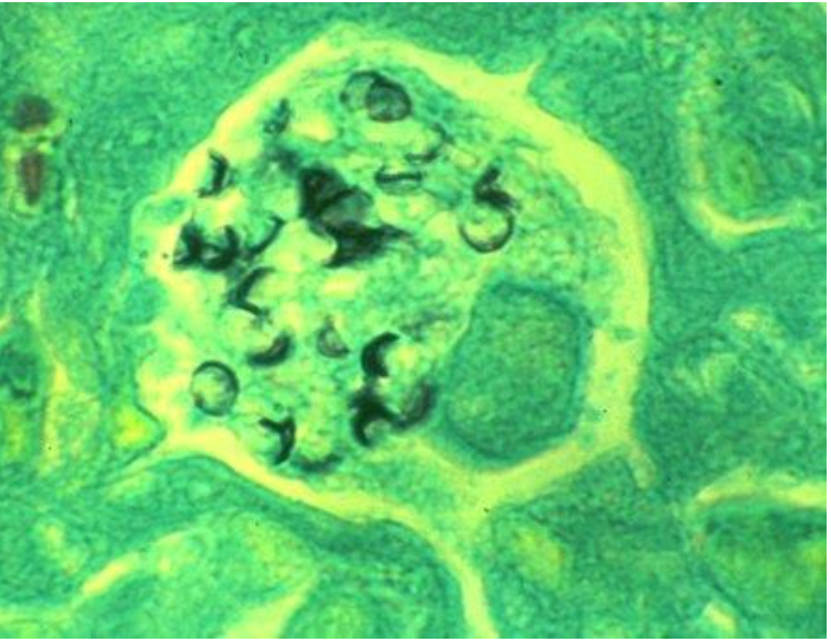
what is this?
acanthamoeba cyst in GAE brain tissue. (note mostly diagnosed at post mortem)
26
what is this?
acanthamoeba trophozoite in cornea.
27
what causes amoebic keratitis?
acanthamoeba in corneal tissue.
28
how do you treat amoebic keratitis
usually a trio of polyhexamethyene biguanide (PHMB), chlorhexidine gluconate with propamidine isethionate. this disease often caused by contact lens wearers washing their lenses in tap water - THINK OF CELINE IN MELBOURNE> apply initially every hour for 48hrs (eye drops)
29