Öra 2 Flashcards

(22 cards)

1
Q

Hur behandlas vaxproppar?

A

Intakt trumhinna
- öronspolning
- förbehandla med Revaxör eller liknande

Skadad trumhinna
- öronsugning

Info till pat:
- ej använda örontops - trycker in vaxet i örat.

How well did you know this?
1
Not at all
2
3
4
5
Perfectly
2
Q

Nämn diffidagnoser till otorré. Totalt 3 öronsjukdomar, 2 andra allvarligare

A
How well did you know this?
1
Not at all
2
3
4
5
Perfectly
3
Q

Bild av hörselgång
1. Diagnos?
2. Symtom?
3. Orsaker till diagnosen?

A

Extern otit

a) lindrig otit med sekretion i hörselgång
b) infektös extern otit med pus, rödnad

Orsaker
- nedsatt barriärfunktion –> se underorsaker i slide.

How well did you know this?
1
Not at all
2
3
4
5
Perfectly
4
Q

Extern otit
1. hur behandlas lindriga besvär?
2. hur behandlas uttalade besvär?

A

Lindriga besvär
- rengöring alltid innan av avstött material innan örondroppar
- undvika fukt och pilla i örat, lufta,

Uttalade besvär
- tamponad och alsolsprit om svullet –> sen örondroppar
- odling om terapisvikt

How well did you know this?
1
Not at all
2
3
4
5
Perfectly
5
Q

Vad är detta?

A

Otomykos
- svampinfektion i hörselgången
- kan ske vid extern otit

How well did you know this?
1
Not at all
2
3
4
5
Perfectly
6
Q

Extern otit - komplikationer
1. Vad är perikondrit?
2. Vad är hörselgångsfurunkel?
3. Vad är hörselgångsstenoser? I vilken situation vid extern otit fås det?
4. Vad är malign extern otit och när ska det misstänkas

A
  1. Infektion i ytterörats brosk
  2. Abscess i brosket i hörselgången
  3. Om circumferent externotit kan det stenoseras i hörsegången
  4. Extern otit + osteit i skallbas. Pseudomonas A vanligaste agens
How well did you know this?
1
Not at all
2
3
4
5
Perfectly
7
Q
  1. När kan kronisk trumhinneperforation uppstå? 4 orsaker
  2. Vad innebär adhesiv trumhinna? Vad är orsaken? Hur behandlas det? Konservativt och kirurgiskt.
A
  1. Efter infektioner, trauma, insättning efter rör, operation iatrogent
  2. Trumhinnan sugs in pga undertryck i mellanörat. Sker när örontrumpeten inte kan lufta som den ska. Detta gör att epitel i hörselgången dras in och klistrar sig fast

Behandling
- Konservativt öronregim, rengöring.

Riskerar att ge infektioner.

How well did you know this?
1
Not at all
2
3
4
5
Perfectly
8
Q

En patient kommer till dig som sniffar mycket med näsan. Har börjat få rinannde öra.

  1. Diagnos?
  2. Orsak? En medfödd och en sekundär.
  3. Behandling?
A
  1. Pärlcysta- kolesteatom
  2. Medfödd intakt keratincysta, ovanligt. Vanligast - sekundärt pga retraktionscysta i pars flaccida pga mer eftergivlig för undertryck.
    - sker ofta hos SNIFFARE - då sugs pars flaccida in - skapar förusättning för att keratin ska kunna samlas och öka i storlek
  3. Operation ofta. Annars risk att kolestatomet växer och desturerar mellanörat.
How well did you know this?
1
Not at all
2
3
4
5
Perfectly
9
Q
  1. andra komplikationer som kan komma pga kolesteatom?
  2. Hur utesluter du kolesteatom om det ligger en vaxplugg eller polyp över pars flaccida?
A
  1. Hörselnedsättning vanligt i förloppet.
    Andra ovanligarkomplikationer
    - facialispares, intrakraniella komplikationer t.ex. hjärnabscess, meningit
  2. Ta bort vaxet och kolla i pars flaccida
How well did you know this?
1
Not at all
2
3
4
5
Perfectly
10
Q
  1. Vad är den vanligaste orsaken till hörselnedsättning orsakad av ledningshinder vid NORMAL trumhinna?
  2. Behandling?
  3. Vanlig debut, hur stor är den hereditära faktorn, mer kvinnor eller män?
A
  1. Otoskleros
  2. Hörapparat eller kirurgi
  3. Debut 20-30 år. Hereditet 70 % autosomalt dominaint. Kvinnor.
How well did you know this?
1
Not at all
2
3
4
5
Perfectly
11
Q

Otoskleros

Vad är klassiskt tecken på audiogram för otoskleros?

A

Sträckad linje - benledning
- försämrad

Luftledd hörsel linje

Betydligt sämre vid 2000 Hz i sensineural hörsel.

Klassiskt tecken
Sk Carhart notch = dipp i benledning vid 2000 Hz
- detta ger stark misstanke om fixation i hörselben och otoskleros

How well did you know this?
1
Not at all
2
3
4
5
Perfectly
12
Q

Vad är det som sker egentligen vid sjukdomen otoskleros?

A

Nytt ben bildas vid stigbygelns platta vid ovala fönstret - gör att denna inte kan vibrera.

How well did you know this?
1
Not at all
2
3
4
5
Perfectly
13
Q

Traumatisk trumhinneperforation
1. Behandling initialt?
2. Vad ska man följa upp efteråt med?
3. Vid vilken tid ska man överväga operation med ny trumhinna?

A
  1. Läker ofta av sig själv. Öronregim -> uppföljning.
  2. Hörselkontroll
  3. 3-4 månader
How well did you know this?
1
Not at all
2
3
4
5
Perfectly
14
Q
  1. Diagnos?
  2. Vanligaste agens?
  3. Behandlas i lindriga fall med PcV. När ska man lägga in patienten och behandla med bensyl-PC?
A
How well did you know this?
1
Not at all
2
3
4
5
Perfectly
15
Q
  1. Diagnos?
  2. Orsaker?
  3. Ska alltid behandlas, hur behandlas det generellt?
  4. Vilken läkare bör bedöma detta tillstånd?
A
  1. Perkondrit
  2. Sårskada
  3. Rengöring, AB. Dränage av abscesser. Ev inneliggande.
How well did you know this?
1
Not at all
2
3
4
5
Perfectly
16
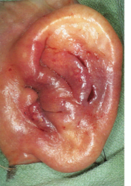
Q

Patienten har blåsor på ytterörat med svår smärta.

  1. Diagnos?
  2. Behandling?
  3. Om patienten får en facialispares också - kallas tillståndet vadå?
  4. Vad kan mer fås för symtom om även n. vestibulococclearis påverkas?
17
Q

Vad är det bästa tekniken att försöka få ut en främmande kropp ur örat?

A

Försöka komma bakom kroppen och dra ut den

18
Q
  1. Var sitter oftast aterom på örat?
  2. Var sitter chondrodermatitis nodularis?
  3. Vilken diffdiagnos till extern otit bör du misstänka om inte läkning sker av denna?
A
  1. Öronsnibb
  2. Helix
  3. Skivepitelcancer i hörselgången (oftast skivepitel)
19
Q

Chondrodermatitis nodularis
1. Orsak?
2. Symtom?
3. Behandling?

A
  1. Tryck mot öra. Ofta den sida man sover på.
  2. Smärta
  3. Grupp 3 steroid. Avlastning. Ofta excision.
20
Q

EN patient som ofta är i vatten. Bild på inre del av hörselgång

  1. Diagnos?
  2. Behandling?
  3. När ska man operera?
A
  1. bild
  2. Benutväxter inre hörselgång.
  3. Om uttalat kan keratin och vaxtransport bli defekt och ge lock. Vatten kan också fastna och ge lock.

Vid sådana besvär - operation - borra ner benutväxterna.

21
Q
  1. Diagnos?
  2. Orsak?
A
  1. Myringoslceros - skleros av trumhinna
  2. Upprepade infektioner kan ge omvandling av det 2 skiktade epitelet i trumhinnan till bindväv och kalkinlagring.

Ofarligt och påverkar oftast inte hörseln.

22
Q
  1. Diagnos?
  2. När ska man behandla tillståndet
A
  1. Periaruikulär bihang - rest från gälgångar.
  2. Operation om återkommande infektioner.