boney orbit
part of the adnexa
conical boney structure that contains the eyeball and periorbital cone
which sinuses can cause orbital disease and vice versa
frontal and maxillary
T/F dental disease often induces orbital or periorbital disease
True
especially the carnassial tooth (PM4)
inflammation of the _________ will lead to displacement of the globe
zygomatic salivary gland
which muscles are often associated/involved with orbital inflammation
muscles of mastication
masseter, temporalis, pterygoid
why should mouth gags not be used in cats
distrupt carotid/maxillary arterial supply to the orbit

can result in temporary or perminant blindness
cats and dogs have open/closed orbits
open
differences in orbit between brachycephalic and dolicephalic breeds
brachycephalic - orbital ligament spans a greater portion of the orbital limb and the orbit is much shallower
which species have closed orbits
ruminants and horses
disorders of globe position
exophthalmos
endophthalmos
strabismus
disorders of globe size
buphthalmos
phthisis bulbi
microphthmalmos
clinical signs commonly associated with exopthalmos
third eyelid protrusion
facial swelling
soft palate bulging
pain opening mouth
fever
common causes of exopthalmos
orbital volume imbalance
neoplasia
cellulitis/abscess

T/F brachycephalic breeds will have “normal” exophthalmos
True
this is due to their shallow orbits
strabismus
deviation of one or both eyes so that both eyes are not directed at the same object

buphthalmos
enlargement of the globe due to glaucoma

A labrador presents with exophthalmos OD with pain elicited by movement of the manidble. Tonometry reveals and IOP of 15mmHg. What is your number 1 differential
cellulitis/abscess
orbital neoplasms are typically non-painful, gluacoma is present with IOP >25mmHg
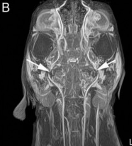
diagnostic approach to exophthalmos
complete general and ophthalmic exam
CBC, CHEM
+/- chest rads
advanced imaging (CT, MRI)
tissue sampling (FNA, Biopsy)
2 treatment approches to orbital neoplasia
globe sparing - radiation, chemotherapy, surgical exploration
globe removal - enucleation, exenteration (removal of eye and all orbital contents)
2 treatment approaches to orbital cellulitis/abscess
medical - NSAIDs/steroids and Antibiotics (Clavamox-broad spectrum)
surgical exploration and/or drainage
enophthalmos
abnormal recession or eye within the orbit
common clinical signs of enophthalmos
facial muscular loss (unilateral or bilateral)
3rd eyelid protrusion
entropion (eyelid folds inward)
common mechanisms od enopthalmos
orbital volume imbalances
active globe retraction - skeletal muscle (retractor bulbi)
passive glboe retraction - smooth muscles of periorbital cone