Orbit anatomy/development Flashcards

(128 cards)

1
Q

What is the function of the lateral rectus?

A

Abducts pupil (look outward)

How well did you know this?
1
Not at all
2
3
4
5
Perfectly
2
Q

What is D?

A

Visual retina

How well did you know this?
1
Not at all
2
3
4
5
Perfectly
3
Q

What is the lens placode? What structures arise from it?

A

A thickening of the surface ectoderm, develops into the lens

How well did you know this?
1
Not at all
2
3
4
5
Perfectly
4
Q

What is S?

A

Venous sinus

How well did you know this?
1
Not at all
2
3
4
5
Perfectly
5
Q

What is the anterior chamber of the eye?

A

The chamber between the cornea and iris

How well did you know this?
1
Not at all
2
3
4
5
Perfectly
6
Q

What is the function of the superior oblique?

A

Abducts and depresses pupil (look down and out)

How well did you know this?
1
Not at all
2
3
4
5
Perfectly
7
Q

What is K?

A

Macula

How well did you know this?
1
Not at all
2
3
4
5
Perfectly
8
Q

What is the function of the superior rectus?

A

Adducts and elevates pupil (look up and in)

How well did you know this?
1
Not at all
2
3
4
5
Perfectly
9
Q

What is Q?

A

Cornea

How well did you know this?
1
Not at all
2
3
4
5
Perfectly
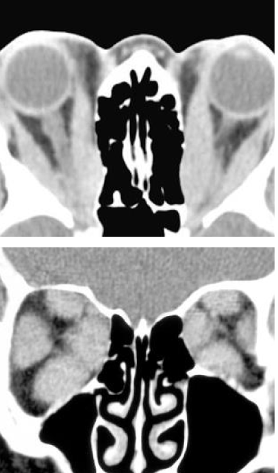
10
Q

What does this image suggest?

A

Graves orbitopathy (big eye muscles, bulging eyes)

How well did you know this?
1
Not at all
2
3
4
5
Perfectly
11
Q

What does the optic nerve (II) do for the eye?

A

It provides special sensory neurons for vision

How well did you know this?
1
Not at all
2
3
4
5
Perfectly
12
Q

What is R?

A

Irido-corneal angle

How well did you know this?
1
Not at all
2
3
4
5
Perfectly
13
Q

What is E?

A

Choroid

How well did you know this?
1
Not at all
2
3
4
5
Perfectly
14
Q

What is G?

A

Subarachnoid space and pia

How well did you know this?
1
Not at all
2
3
4
5
Perfectly
15
Q

What causes dilated pupils?

A

Loss of parasympathetic innervation to the pupil constrictor fibers

How well did you know this?
1
Not at all
2
3
4
5
Perfectly
16
Q

What is the result of trochlear nerve damage?

A

Difficulty depressing the eye from an adducted position

How well did you know this?
1
Not at all
2
3
4
5
Perfectly
17
Q

What is F?

A

Dura and arachnoid

How well did you know this?
1
Not at all
2
3
4
5
Perfectly
18
Q

What is N?

A

Suspensory ligaments

How well did you know this?
1
Not at all
2
3
4
5
Perfectly
19
Q

What is the purpose of the aqueous humor in the eye?

A

It provides metabolic exchange with the avascular cornea (and lens)

How well did you know this?
1
Not at all
2
3
4
5
Perfectly
20
Q

Pain when trying to focus for close up vision might indicate an infection in which of the following?

a) orbicularis oculi
b) cornea
c) choroid layer
d) pupil dilator
e) ciliary body

A

e) ciliary body

ciliary body has the muscle that contracts to allow the lens to round up for close up vision

How well did you know this?
1
Not at all
2
3
4
5
Perfectly
21
Q

What is L?

A

Infraorbital foramen

How well did you know this?
1
Not at all
2
3
4
5
Perfectly
22
Q

What is a detached retina?

A

A blow to the head can cause the visual retina to fall away from the pigmented retina because they are never fully fused

How well did you know this?
1
Not at all
2
3
4
5
Perfectly
23
Q

What is Bell’s palsy?

A

Facial nerve (VII) dysfunction and the resulting loss of the actions of the muscles of facial exxpression

How well did you know this?
1
Not at all
2
3
4
5
Perfectly
24
Q

What is Horner’s syndrome?

A

Damage to sympathetic organization that causes ptosis secondary to a mullers muscle abnormality

Associated with miosis (constricted pupil) and anhydrosis (no sweating)

How well did you know this?
1
Not at all
2
3
4
5
Perfectly
25
What bones make up the lateral wall of the orbit?
Greater wing of sphenoid bone, zygomatic bone
26
What are three causes of neurogenic ptosis?
Horner's syndrome cranial nerve 3 palsy myasthenia gravis
27
C - Optic nerve *this is the lesser wing of the sphenoid bone with the optic canal that contains the optic nerve and ophthalmic artery*
28
What is the testing position for the inferior oblique?
Look in and up
29
How do you test for ocular eye motion generally?
If its a muscle with only one function (ex. lateral rectus), just do that function If its a muscle with two functions, you would have them move the typical direction vertically (either up or down) and have their eye positioned the oposite direction horizontally (either out or in) - ex. for superior rectus have them look outward and then up
30
What is the ectodermal optic cup? What structures arise from it?
It is an extension of the neural tube It gives rise to the optic nerve, visual retina, and pigmented retina (part of the iris and ciliary body)
31
What is blepharitis?
Chronic inflammation of lid margin - causes foreign body sensation, burning, mattering, redness
32
What is the structure of the sclera?
It is continuous with the cornea and formed from vascular collagen fibers in random orientation
33
What is A?
Iris
34
Which muscles adduct the pupils?
Medial rectus, superior rectus, inferior rectus
35
What are the nerve fibers of the facial nerve (VII)?
Branchiomotor fibers to the orbicularis oculi muscle, presynaptic parasympathetics for the lacrimal gland
36
What is the testing position for the inferior rectus?
Look out and down
37
What is N?
Perpendicular plate of the ethmoid bone
38
What is A?
Medial rectus
39
What is the result of oculomotor nerve damage?
Down and out position (only lateral rectus and superior oblique working), pupil dilated (loss of parasympathetics), eyelid droopy (loss of levator palpebrae superioris)
40
What is the posterior chamber of the eye?
The chamber between the iris and lens where aqueous humor is produced
41
What soft tissue is related to the optic canal in lesser wing of sphenoid?
Optic nerve and ophthalmic artery
42
What condition does this image suggest?
Graves orbitopathy
43
What is Graves orbitopathy?
A thyroid eye disease that causes soft tissue swelling and scaring that can lead to proptosis, double vision, and vision loss (compressed optic nerve)
44
What is I?
Optic disc
45
What is the difference between preseptal cellulitis and orbital cellulitis?
Preseptal is anterior to the orbital septum and is not as serious (orbital cellulitis can spread to brain)
46
What is the path of aqueous humor in the eye?
It is produced in the posterior chamber, passes through the pupil to the anterior chamber where it enters venous circulation via the scleral venous sinus
47
What is E?
Nasal bone
48
What types of nerves are in the ophthalmic division of the trigeminal nerve?
General sensory fibers, postsynaptic parasympathetic fibers from ciliary ganglion (originating in nerve III), and postsynaptic sympathetics (cell bodies in superior cervical ganglion of sympathetic trunk)
49
What is C?
Inferior rectus
50
What is J?
Central artery and vein of retina
51
What soft tissue is related to the supraorbital notch/foramen?
Supraorbital nerve (V1 branch of trigeminal)
52
What are the branches of the ophthalmic division of the trigeminal nerve (V1)?
Frontal (supraorbital and supratrochlear) Nasociliary (long and short ciliary, anterior and posterior ethmoidal nerves) Lacrimal nerves
53
What does the facial nerve (VII) do for the eye?
It innervates the orbicularis oculi muscle in the eyelids and surrounding orbit (closes eyelids and protect the eye)
54
What is the vitreous chamber?
The large central chamber of the eye filled with vitreous fluid
55
What is the pathway for orbital venous blood?
Orbit --\> cavernous sinus --\> superior and inferior petrosal sinuses --\> sigmoid sinus --\> internal jugular vein
56
What is the cause of congenital myopathic ptosis?
Fibrofatty levator muscle with poor levator function
57
What does the abducens nerve (VI) do for the eye?
It innervates the lateral rectus with somatomotor fibers
58
What is C?
Supraorbital foramen/notch
59
What is O?
Lens
60
What is the surface ectoderm of the eye? What structures arise from it?
A primordia of the eye that forms the epidermis of eyelids, conjunctival sacs, corneal epithelium, and lacrimal gland parenchyma
61
What is a chalazion?
Plugging of sebaceous gland around eye
62
What is M?
Middle nasal concha
63
What is aponeurotic ptosis?
Stretch of levator attachment to the lid from age or trauma
64
What muscle protracts the eyelid?
Orbicularis muscle
65
What is E?
Superior oblique
66
What is B?
Ciliary body
67
What is D?
Maxilla
68
What is glaucoma?
A disease caused by a rise in intra-ocular pressure from accumulation of aqueous humor
69
What is the corneal reflex?
A reflex from the corneal layer of the eye that elicits a blinking response and tear production in response to touch/pain
70
What soft tissue is related to the superior orbital fissure between greater and lesser wings of sphenoid?
All other major nerves and vessels entering or leaving the orbit
71
The lack of fusion of the two layers of the optic cup is the embryological basis for a detached retina, where the visual retina falls away from what? a) choroid layer b) pigmented retina c) sclera d) cornea e) vitreous body
b) pigmented retina
72
What is G?
Zygomatic frontal process
73
What is I?
Zygomaticofacial foramen
74
What causes pinpoint pupils?
Loss of sympathetic innervation (Horner's syndrome) to the radial smooth muscle fibers of the iris
75
Which muscles elevate the pupils?
Superior rectus, inferior oblique
76
What are possible causes of proptosis (bulging eye)?
Graves orbitopathy Orbital cellulitis (infection of eye socket) Orbital tumors
77
What is a hordeolum?
A stye - pustule of hair follicle around eye
78
What is H?
Zygomatic orbital surface
79
What is P?
Aqueous humor
80
What is C?
Ora serrata
81
What is the function of the inferior oblique?
Abduct and elevate pupil (look up and out)
82
What is F?
Lacrimal
83
What is the testing position for the superior oblique?
Look in and down
84
What structures are medial and inferior to the orbit?
Ethmoid and maxillary paranasal air sinuses (respectively)
85
What structures arise from head somites?
Extraocular eye muscles
86
What is the result of abducens nerve damage?
Affected pupil remains in an adducted position (loss of lateral rectus)
87
What is K?
Inferior nasal concha
88
What is the testing position for the superior rectus?
Look out and up
89
What is J?
Vomer
90
What soft tissue is related to the inferior orbital fissure?
Vein connections from the orbit to the pterygoid plexus of veins
91
Exophthalmos (protruding eye) can be produced when blood in the ophthalmic veins is reversed from a tear of the internal carotid artery in what location? a) superior orbital fissure b) optic canal c) sphenoidal sinus d) cavernous sinus e) inferior orbital fissure
d) cavernous sinus ## Footnote *ophthalmic vein drains into the cavernous (venous) sinus surrounding the body of the sphenoid bone*
92
Which muscle elevates the eyelid?
Levator muscle, mullers muscle
93
Which muscles abduct the pupils?
Lateral rectus, superior oblique, inferior oblique
94
What is the structure of the cornea?
It is continuous with the sclera and made from avascular collagen fibers
95
What causes exophthalmos?
Exophthalmos (protruding eyes) that are caused by a tear of the internal carotid artery which leaks into the cavernous sinus
96
What is B?
Optic canal
97
What is F?
Inferior oblique
98
What causes ptosis?
Ptosis (droopy eyelids) that can be caused by either loss of the oculomotor nerve or sympathetics (Horner's syndrome)
99
Where is the aqueous humor produced? a) in the choroid layer b) between the iris and lens c) between the lens and retina d) between the cornea and iris e) in the conjunctival sac
b) between the iris and lens ## Footnote *posterior chamber*
100
What is U?
Vitreous body
101
What bones make up the medial wall of the orbit?
Sphenoid bone, maxillary bone, ethmoidbone, lacrimal bone
102
What is the limbus?
The junction between cornea and sclera It also provides stem cells for continual corneal epithelial cell renewal and keeps conjunctival epithelial cells from growing over the cornea
103
Which muscles depress the pupils?
Inferior rectus, superior oblique
104
What is a coloboma?
A conditions with a persistence of the ventral cleft in the optic cup that prevents as a ventral defect in the iris (keyhole iris)
105
What does the trochlear nerve (IV) due for the eye?
Innervates the superior oblique muscle with somatomotor fibers
106
What is B?
Superior rectus
107
What muscle is being tested when a patient is asked to move their pupil out, then down? a) inferior rectus b) inferior oblique c) lateral rectus d) superior rectus e) superior oblique
a) inferior rectus ## Footnote *in the abducted position, depression is the only action of this muscle in the abducted position*
108
What are the layers of the eye (outer to inner)?
Sclera (thick, tough) --\> choroid (thin, vascular) --\> pigmented retina (prevents light from reflecting) --\> visual retina (layer for vision)
109
What is the function of the medial rectus?
Adducts pupil (looks inward)
110
What is D?
Lateral rectus
111
What results from a rise in CSF pressure in the subarachnoid space?
Compression of the optic nerve that impairs vision
112
What is H?
Optic nerve
113
A pinpoint pupil might indicate damage to which of the following? a) oculmotor nerve b) ciliary body c) sympathetic trunk d) superior tarsus muscle e) ciliary ganglion
c) sympathetic trunk ## Footnote *radially-oriented smooth muscle dilator in the iris is supplied by sympathetic neurons*
114
What soft tissue is related to the infraorbital foramen?
Infraorbital nerve (V2 branch of trigeminal)
115
What bones make up the orbital floor?
Zygomatic bone, maxillary bone, palatine bone
116
What is O?
Orbital plate of the ethmoid bone
117
What is the presentation of cranial nerve 3 palsy?
Ptosis secondary to levator muscle not functioning Dilated pupil, eye down and out (all muscles innervated by CN 3)
118
What is T?
Ciliary body
119
What is A?
Frontal bone
120
What is the function of the inferior rectus?
Adducts and depresses pupil (look down and in)
121
What does the oculomotor (III) nerve do for the eye?
innervates all extra-ocular muscles except lateral rectus and superior oblique contains somatic fibers and presynaptic parasymapthetic fibers for the ciliary ganglion
122
What is M?
Rectus muscle
123
What is the path of orbital arteries?
They are mostly from the ophthalmic branch of the internal carotid artery. It traverses the optic canal with the optic nerve. The central artery of the retina is an end artery.
124
What is the central artery/vein of the retina?
The proximal portion of the hyaloid artery and vein that remains after birth when the rest has disappeared
125
What is the head mesenchyme? What structures arise from it?
A primordial structure from the neural crest Gives rise to choroid layer, sclera, cornea, and meninges on the optic nerve (also contributes to iris, ciliary body, lacrimal gland stroma)
126
What bones make up the orbital roof?
Frontal bone, sphenoid bone
127
What is P?
Greater wing of sphenoid
128
What is L?
Sclera