En 65-årig mand har haft nogle gener siden i går; manglende smagssans på højre side af tungen og han hører dårligt på højre øre, som gør ondt, og han er blevet svimmel. OBJ: Billedet viser højre øre med vesikler, der kom frem i dag. Han har perifer højresidig facialisparese siden i går. Weber lateraliseres til venstre. Rinne +/+
Hvilken diagnose mistænker du?
a. Borrelia
b. Mastoiditis
c. Bells parese
d. Zoster oticus
e. Sarcoidose
d. Zoster oticus

En 25-årig kvinde har haft kløe i højre øre, og efterhånden kraftige smerter i højre øre gennem 5 dage. Tidligere øre rask. Objektivt finder du ødem og sekret i øregangen. Intakt trommehinde. Hvad er den mest sandsynlige diagnose?
a. Kronisk otitis media
b. Labyrintfistel
c. Abscessus epiduralis
d. Otitis eksterna
e. Neuritis vestibulars
d. Otitis eksterna
Hvilken behandling er mest relevant ved Zoster oticus?
a. Valaciclovir
b. Højdosis penicillin
c. Mastoidektomi
d. Paracentese
e. Bredspektrede antibiotika
a. Valaciclovir
89) Der er mange forskellige infektioner, der kan give kongenit hørenedsættelse. Nogle er blevet sjældne i dag efter indførsel af vaccinationsprogrammet. Hvilken af nedenstående infektioner er IKKE forbundet med kongenit hørenedsættelse.
a) Rubella
b) CMV
c) HPV
d) Toxoplasmose
e) Syfilis
c) HPV
Svend på 2 år kommer med forældrene til egen læge (dig), da han har haft ondt i hø øre i 2 dage. Tp. er 38,5 gr. C. Du laver en otoskopi, der viser en rød og frembulende trommehinde uden synlige kendinge. Ydre øre er upåfaldende. Hvad er den mest sandsynlige diagnose?
a) Sekretorisk otitis media (SOM)
b) Akut otitis media (AOM)
c) Kronisk otitis media (COM)
d) Otitis externa
e) Mastoiditis
b) Akut otitis media (AOM)
Pia på 5 år har haft højresidigt øreflåd i 2 uger, stigende temperatur, kraftige højresidige øresmerter. Objektivt; Otoscopi; rød og frembulende membrana tympani samt rødme, hævelse, fluktuation og ømhed bag øret. Vågen og klar. Ikke nakkestiv. Hvad er den mest sandsynlige diagnose?
a) Meningitis otogenica
b) Erysipelas
c) Otitis eksterna
d) Mastoiditis acuta
e) Labyrintitis
d) Mastoiditis acuta
En 43-årig kvinde har gennem flere år haft periodiske problemer med højre øre; flåd og hørenedsættelse og har nu fået perifer facialis parese på højre side. Der er ingen svimmelhed eller feber.
Hvilken sygdom mistænker du?
a. Acusticus neurinom
b. Labyrintfistel
c. Sekretorisk otitis media
d. Otosklerose
e. Kolesteatom
e. Kolesteatom
En 33-årig kvinde har gennem 2 år bemærket tiltagende hørenedsættelse og tinnitus på højre øre.
Har ikke haft øresmerter eller feber eller øreflåd.
Trommehinderne ser normale ud. Tympanometri viser normalt mellemøretryk på begge sider. Rinne; -/+ og Weber lateraliseres til højre.
Hvilken sygdom mistænker du?
a. Acusticus neurinom
b. Otitis externa
c. Sekretorisk otitis media
d. Otosklerose
e. Sudden deafness
d. Otosklerose
45 årig kvinde henvender sig i almen praksis pga. 3 tilfælde af rotatorisk svimmelhed gennem den seneste uge. Anfaldene var af 1-2 timers varighed og blev ledsaget af hyletone og fornemmelse af høretab sv.t. højre øre samt kvalme og opkastninger.
På baggrund af ovenstående sygehistorie, hvad vil være det mest relevante at gøre?
a. Iværksætte antiemetisk behandling
b. Give ny tid til blodprøver og EKG
c. Indlægge patienten akut på mistanke om apopleksi
d. Henvise til yderligere udredning ved ØNH-læge
e. Foretage Epleys manøvre og give opfølgende tid om 1 uge
d. Henvise til yderligere udredning ved ØNH-læge
Hvilket af følgende symptomer er IKKE forenelig med diagnosen benign paroxysmal positions vertigo (BPPV)?
Hvilken undersøgelse vil kunne påvise BPPV (øresten) svarende til højre posteriore buegang?
a. Video Head Impulse Test (vHiT) med hovedbevægelse til højre
b. Video Head Impulse Test (vHiT) med hovedbevægelse til venstre
c. Dix-hall-pikes undersøgelse til højre
d. Dix-hall-pikes undersøgelse til venstre
e. Head-Shake-Test
c. Dix-hall-pikes undersøgelse til højre
En 27-årig mand har haft kraftige smerter i højre øre siden i går. Kunne ikke sove i nat pga smerterne, trods mange panodil. Har ikke haft øreproblemer tidligere. Objektivt; kraftige smerter når man trækker i øret og trykker på tragus. Vedr otoskopi af højre øre; se foto. Hvad er den mest sandsynlige diagnose?
a. Sekretorisk otitis media
b. Perforatio membrana tympani
c. Akut otitis media
d. Otitis eksterna
e. Cerumen

d. Otitis eksterna
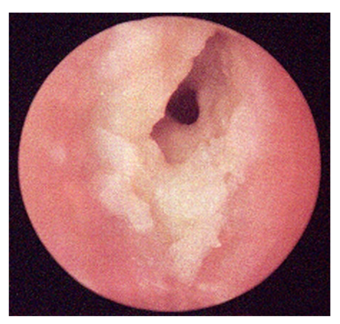
En 3-årig pige har grædt og har taget sig til højre øre. Hun har for tre måneder siden fået målt flade kurver ved tympanometri. Vedr otoskopi af højre øre; se foto. Hvad er den mest sandsynlige diagnose?

a. Kolesteatom
b. Kronisk otitis media
c. Sekretorisk otitis media
d. Akut otitis media
e. Myringitis bullosa
d. Akut otitis media
Hvilket udsagn om kronisk mellemørebetændelse er mest korrekt?
a. Konduktiv hørenedsættelse er typisk
b. Epidermis i mellemøret er typisk
c. Smerter er typiske
d. Intakt trommehinde er typisk
e. Labyrintitis er typisk
a. Konduktiv hørenedsættelse er typisk
K11 F18
En 28-årig mand søger egen læge, fordi han har fået tiltagende problemer med at høre med højre øre. Han klager desuden over øreflåd og dårlig lugt fra højre øre. Han har også en fornemmelse af ubalance og usikkerhed i bestemte positioner.Problemet har stået på igennem flere år, men først nu får han taget sig sammen til at blive undersøgt.
Hvilken af disse diagnoser er mest sandsynlig?
a. Mb. Ménière
b. Støjbetinget høretab
c. Presbyacusis
d. Vestibulært Schwanom
e. Kolesteatom
e. Kolesteatom
K11 F18
En høreprøve viser normal benledning på begge ører. Intet air-bone gap på venstre øre. Air- bone gap på 30 dB på højre øre ved alle frekvenser.
Hvilket resultat vil du forvente ved Rinne og Webers test med en 440Hz stemmegaffel, når du har set dette audiogram?
a. Rinne +/+ Weber lokaliseres i midtlinjen
b. Rinne +/+ Weber går til højre
c. Rinne-/-Webergårtilvenstre
d. Rinne -/+ Weber går til højre
e. Rinne +/- Weber går til venstre
d. Rinne -/+ Weber går til højre
K11 F18
Hvilken behandling er mest relevant, hvis en patient har kolesteatom samt hørenedsættelse?
a. Fjernelse af det patologiske væv
b. Oprensning under otomikroskop
c. Stapedotomi
d. Incision
e. Ingen behandling, men rådgivning om høretaktik
a. Fjernelse af det patologiske væv
K11 F18
Hvilket af disse fund ved otoskopi vil du forvente ved kolesteatom?
a. Rødlig frembulende trommehinde
b. Haematotympanon
c. Trommehinden er med væskespejl eller luftbobler
d. Trommehindenermedbullae
e. Perforationogkeratinimellemøret
*e. Perforationogkeratinimellemøret
K11 F18
Sara på 2 år kommer med sine forældre til lægen, da forældrene har undret sig over, atSara ikke siger noget. De mener, at hun kan høre, men de har også bemærket, at de titskal meget tæt på Sara, for at hun reagerer på det, de siger.
Hvad er den hyppigste blandt nedenstående årsager til hørenedsættelse hos børn?
a. Medfødt genetisk betinget høretab
b. Medfødt høretab på baggrund af kongenit infektion
c. Neonatalt høretab udviklet på baggrund af hypoxi under fødslen
d. Støjbetinget høretab
e. Sekretorisk otitis media
*e. Sekretorisk otitis media
K11 F18
Du foretager en objektiv undersøgelse af en 2-årig dreng, som muligvis har nedsathørelse. Otoskopi er svær pga. uro og cerumen. Du kan se, at han følger interesseret medi omgivelserne og du har også indtryk af, at han reagerer på høje lyde, men han er ikke istand til at sige forståelige ord.
Hvilken yderligere undersøgelse er mest relevant i almen praksis?
a. Tympanometri
b. Audiometri
c. Dix Hallpikes prøve
d. Stemmegaffel prøve
e. Hjernestammeaudiometri
*a. Tympanometri
K11 F18
Hvad er den mest relevante behandling af bilateral sekretorisk otit, som du netop har diagnosticeret hos en 2 årig?
a. Paracentese
b. Paracentese og tubulation
c. Observation
d. Steroid og antibiotikaholdige øredråber
‘e. Tømning af mellemøret ved aspiration
*c. Observation
K11 F18
En tidligere øre-rask 58-årig kvinde har gennem 2 dage haft stigende temperatur, kraftige højresidige øresmerter, udtalt svimmelhed, kvalme og opkastning. Objektivt findes hun vågen og klar. Trommehinden er rød og frembulende. Ikke nakkestiv. Der ses rytmiske (horisontalt- rotatoriske) øjenbevægelser (med stor frekvens og ret lille amplitude). Hørelsen på højre øre stærkt nedsat bedømt ved talestemmeprøve – men normal på venstre. Den øvrige neurologiske undersøgelse er normal.
Hvad er den mest sandsynlige diagnose?
a. Meningitis otogenica
b. Sekretorisk otitis media
c. Abscessus epiduralis
d. Mastoiditis acuta
e. Labyrintitis
*e. Labyrintitis
K11 F18
En tidligere øre-rask 58-årig kvinde har gennem 2 dage haft stigende temperatur, kraftige højresidige øresmerter, udtalt svimmelhed, kvalme og opkastning. Objektivt findes hun vågen og klar. Trommehinden er rød og frembulende. Ikke nakkestiv. Der ses rytmiske (horisontalt- rotatoriske) øjenbevægelser (med stor frekvens og ret lille amplitude). Hørelsen på højre øre stærkt nedsat bedømt ved talestemmeprøve – men normal på venstre. Den øvrige neurologiske undersøgelse er normal.
Hvilke af disse fund forventer du?
a. Kalorisk prøve viser nedsat/ophævet funktion på højre side
b. Tympanometri viser flad kurve på venstre side
c. Rinne er negativ på venstre side
d. Impulstesten er normal på højre side
e. Siegels tragt viser nedsat bevægelighed af trommehinden på venstre side
a. Kalorisk prøve viser nedsat/ophævet funktion på højre side