Associated with acute anterior cervical cord syndrome (instant, complete quadriplegia, loss of pain, touch and temperature sensations but retention of posterior column sensations, position, motion, vibration).
MOI: Extreme hyperflexion
Flexion Teardrop Fracture
What type of fracture

Flexion Teardrop Fracture
What type of fracture

Hangman’s Fracture
MOI: hyperextension or rebound hyperflexion.
Pathology: In all 3 types, the fracture involves the pars interarticularis – that piece of bone between the superior and inferior facets of C2 (red arrows).
What type of fracture

Jefferson fx
MOI: vertical compression
Pathology: bilateral fractures of both the anterior and posterior arches of C1.
What are the most common upper Cervical Spine fractures.
Odontoid fractures
MOI: Flexion loading is the cause in the majority of patients, and results in anterior displacement of the dens. Or, an extension loading force (forward fall onto forehead), which occurs in a minority of patients, and results in posterior displacement of the dens.
MOI: Flexion loading is the cause in the majority of patients, and results in anterior displacement of the dens. Or, an extension loading force (forward fall onto forehead), which occurs in a minority of patients, and results in posterior displacement of the dens.
Odontoid fracture
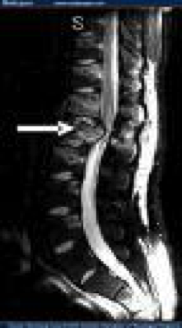
What Disease

Ankylosing Spondylitis
“Bamboo lumbar spine”
History: Pain in low back radiating down leg, +/- hx of trauma, worsened with sitting (tripod sign).
Lumbar Herniated Disk/Herniated Nucleus Pulpusus (HNP)
Physical Exam: Use the motor and sensory exams to determine nerve root affected. A L5-S1 HNP causes S1 radiculopathy, which may reveal ankle plantar flexion weakness (foot drop) and decreased sensation at the bottom of the foot.
Commonly with a (+) SLR (straight leg raise)
Lumbar Herniated Disk / Herniated Nucleus Pulpusus (HNP)
Tx of lumbar herniated disk/herniated nucleus pulpusus (HNP)
NSAIDS–> epidulra steroids injections–> traction–> lumbar discetcomty/laminectomy if no improvement
Prognosis: Over 70-80% have significant relief of pain and some resolution of other symptoms.
Tx of Cauda Equina syndrome

Emergency Surgical decompression
What Disease

Spondylolysis
“Scotty dog sign w/ collar”
What Disease

Spondylolysis
Location of pain
Things to conside witha hip dislocation
*most are posterior dislocations
Pelvic fractures commonly cause injury to what nerves?
What Fracture

Open Book Pelvis fracture
Complications of femur shaft fracture
**Assess NV status and ipsilateral knee
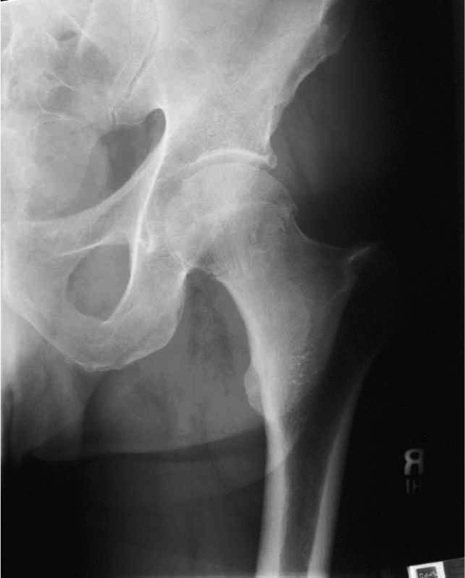
This Injury is associated with what complication

Intra-capsular (Femoral neck): Usually associated with a high risk for non-union secondary to AVN.
Extra-capsular (intertrochanteric or above the lesser trochanter): requires a stronger fixation and has a better chance of healing.
What Fracture

compression side (inferior-medial neck)
tension side (superior-lateral neck)

Symptoms: Restricted range of motion (ROM), antalgic gait, inquinal pain and stiffness (initially with activity) that may lead to decreased ambulation and functional independence (AODLs).
OA of the hip
Tx of OA
What people are poor surgical candidates for THA for OA?
Exam: Pain and tenderness over the GT area that could radiate to the knee, but not to the foot. Pain worse when first rising from a sitting position.
What disease and tx?
Trochanteric Bursitis
*Tx: NSAIDs, activity modifcaiton, short term cane, local cortisone injection (Inject at the point of maximal tenson and inject in the painful area), long term PT
**STRETCH IT BAND!!