Imbalance of cartilage wear down and insufficient chondrocyte activtiy describes what condition?
Osteoarthritis
‘wear and tear’ of the synovial joints
70 year old patient presents with joint pain. The pain is present in the base of their thumbs and gets worse throughout the day. They enjoy gardening so hope that something can be done about it.
What investigations do you perform and what do you find?
Clinical diagnosis: Patient over 45 with no morning stiffness
If atypical presentation: XR of affected joint would show
Loss of joint space
Osteophytes (bone spurs)
Subarticular sclerosis (increased density of bone along joint line)
Subchondral cysts (fluid-filled holes)
What 4 lifestyle changes should be given following diagnosis of osteoarthritis?
Weight loss to reduce load on joints
Physio to maintain/improve function
Occupational therapy to modify ADLs
Orthotics
What is the analgesic ladder for osteoathritis?
Outside lifestyle and analgesia, what 3 further options can help manage osteoarthritis?
Topical capsaicin
IA steroid injection
Joint replacement for severe cases
Aside from osteoarthritis, what other conditions may require joint replacement?
Fractures
Arthritis: Septic or rheumatoid
Osteonecrosis
Bone tumours
What are the 3 types of joint replacement?
Partial joint resurfacing: replacing part of the joint
Hemiarthroplasty: Replacing half the joint surface
Total joint replacement: Replacing both joint surfaces
Explain what an:
a) total knee replacement
b) total shoulder replacement
entails
a) synthetic replacement of joint surfaces + spacer
b) Head replaced by synthetic ball, socket replaced with metal
Regarding VTE prophylaxis in joint replacement surgery…
a) What agent is typically given?
b) How long is it given for in
i) Knee replacement
ii) Hip replacement
c) What alternative methods of prophylaxis can be given?
a) LMWH
b)
i) 14 days knee
ii) 28 days hip
c) DOACs, aspirin, anti-embolis stockings
Regarding prosthetic joint infections
a) What is the most common pathogen?
b) What are the 3 predisposing factors?
a) S.aureus
b) Prolonged operative time
Obesity
Diabetes
What is meaning of:
a) compound fracture
b) Stable fracture
c) Pathological fracture
a) Broken bone breaks through skin, exposed to air
b) bone sections remain aligned at the fracture
c) break due to underlying bone abnormality
Patient reports to A+ E following a FOOSH. The arm shows dorsal displacement of the distal radius. X ray of the arm is shown below. What is the likely diagnosis?

Colle’s fracture
Dorsally Displaceed Distal radius / Dinner fork Deformity

Patient presents to A+E with a broken arm. On examination, the affected arm shows palmar (volar) deviation of the distal radius. They state that they fell backwards after slipping and their hands got caught under them. What is the likely diagnosis?

Smith’s fracture
Volar displacement of distal radius
‘garden spade’ deformity
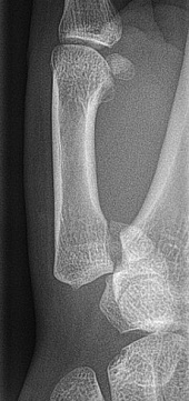
Patient presents with a sore wrist. They state that the got into a fight last night and despite remembering “knocking the f***** out” they can’t remember hurting their wrist. An X-ray of the wrist is provided below. What is the likely diagnosis?

Bennett’s fracture: Intra-articular fracture of 1st MC joint
Typically caused by fist fights
Triangular fragment at metacarpal base
A patient presents to A+E with a sore wrist. Since the injury, they state that they are unable to grab things and the pain is greatest over the base of the thumb.
a) What 3 signs can aid diagnosis?
b) What is the diagnosis with positive signs?
c) What imaging should be done
i) first line
ii) definitively
a) i) telescoping of thumb elicits pain, ii) point of maxminal tenderness over snuffbox and iii) Tenderness over back of wrist
b) Scaphoid fracture
c)
i) AP and Lateral X rays
ii) MRI scan

For scaphoid fractures, what is the
a) initial management
b) Further ortho management with
i) undisplaced
ii) displaced
iii) proximal scaphoid pole fracture?
A) Futuro splint/below elbow backslab + 7-10 day review (if imaging inconclusive)
B)
i) Cast for 6-8 weeks, surgical if athlete
ii and iii) Surgical fixation
Why do you worry about a scaphoid fracture?
Has a one way (retrograde) blood supply from the dorsal carpal branch of the radial artery
Severance risks avascular necrosis
Which 6 bones/areas are particularly prone to AVN?
Wrist: Scaphoid
Arm: Humeral head
Leg: Femoral head
Foot: Talus, navicular, fifth metatarsal
Who gets an ankle X-ray?
Those who fufill the Ottawa rules:
Malleolar pain AND
How does the Weber system classify ankle fractures
Fracture level to the joint
A) Below with intact syndesmosis
B) At joint +/- extend above with partial tear
C) Above joint with disruption
What are the main sites bone cancer metastasises to?
PRTBL/Lead Kettle
Prostate
Breast
Kidney
Thyroid
Lung
With regard to bone fragility…
a) How can fragility risk be estimated?
b) How can bone density be assessed and graded?
a) FRAX for 10 year risk
b) DEXA for density
WHO crteria for T score at hip:
-1 to -2.5: Osteopenia
>-2.5: Osteoporosis
Although bisphosphonates can help with reduced bone density, what are the 3 side effects it can cause?
Reflux and oesophageal erosions
Osteonecrosis of jaw and external auditory canal
Atypical femoral fractures
What are the two main principles of fracture management?
1) Mechanical aligment: Closed (limb manipulation) vs open (surgery)
2) Relative stability