8 normale orthopædiske sygdomme
Hvad skal man bl.a. huske at overveje ud over traume, ved halthed?
Systemiske sygdomme
Hvad skal signalement indeholde?
Art, Race, Alder, Køn (og status)
Ved den kliniske undersøgelse (inden halthedsundersøgelse) checker man?
Vil den kunne tåle at komme i anæstesi?
Hvad forsøger dyret når det har et halt ben?
Skifter tyngpunktet, for at skåne det halte ben.
De raske ben understilles for at holde vægten på disse.
Hvad kigger man efter ved bagben halthed?
Hvad kigger man efter ved forben halthed?
Hvad går under den lidt overfladiske neurologiske undersøgelse ved halthed?
Husk at tænke over hvad du tester for. Hvorfor er det så vigtigt?
Fx hund med smerte ved extension af hofte. Hvad sker der når vi hiver i benet
Generelle regler ved undersøgelsen
Hvad er Barden’s test, og hvad kigger man efter?
Det er en test for hoftens ledkapsel-slaphed og dens kapacitet til at holde femur på plads. Man kigger efter instabilitet! Der vil ved normale tilstande ses smerte ved denne test, derfor ikke en test for dette.
Hvad er Ortolani’s test, og hvad kan man her teste efter?
Man tester efter slaphed af led, og HD. Man skubber hoften dorsalt -> Subluxation -> Abduktion af ben -> Hopper på plads med klik
Vinklen den hoppede på plads ved fortæller os noget om tilstanden.
Fungerer bedst i sedation, og ved slem HD kan man høre lyden når hunden går.
Hvilke parakliniske tests kan hjælpe med at stille diagnosen?
Hvilke artikulære/periartikulære strukturer kan IKKE give smerte?
Brusk og væske
Hvad er den mest normale parakliniske undersøgelse i ortopædi?
Røntgen! - Lav 2 ortogonale billeder - Evt oblique og stress også
Hvad er normale årsager til halthed hos kat?
Hvad er mindre normale årsager til halthed hos kat?
Hvad er normale generelle fejl man laver?
Hvad er normale specifikke fejl man laver?
Upassende / utilstrækkelige teknikker
• Cranial drawer test
• Patellar stability
• Hip laxity
• Elbow medial compartment test
Overser:
• Muscle pain
• Spinal pain
• Joint effusion
Der er 9 vigtige led og udviklingsmæssige ortopædiske sygdomme?
Hvordan ser korsbånd ud på røntgenbilleder?
De er soft tissue = ikke på røntgen
Hvordan hæftes patella fast?
4 steder:
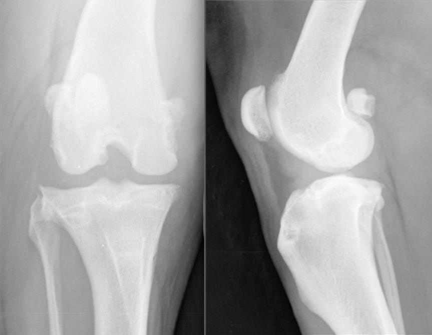
Hvor ses hhv degenerative ændringer og hævelser oftest?

Grønne cirkler: degenerative ændringer
Røde streger: hævelser

Hvorfor har hunde brug for korsbånd?
Stabiliserer tibia-femur.
Patellaligamentet er ikke helt lodret, og trækker derfor lidt frem i tibia.
Denne bevægelse stopper CL.