Osteocondrites do pé
Quais as principais
Nomes + localização
Sever - Calcaneo
Kohler - Navicular
Iselin - Base do 5º mtt
Freiberg - Cabeça dos mtt
Osteocondrites do pé
Nomes + Sexo
Sever - Masculino
Kohler - Masculino
Iselin - Masculino
“F”reiberg - “F”eminino
Osteocondrites do pé
Nomes + Idade
Sever - Adolescente
“K”ohler - “K”riança - Infantil
Islein - Adolescente
Freiberg - Adolescente
Osteocondrites do pé
Nomes + Bilateralidade
SEver - SEssenta 60%
8Ohler - 80%
Iselin - Isento de bilateralidade
Freiberg - 10%
Osteocondrites do pé
Sever
Definição:
Causa:
Sexo:
Perfil do paciente:
Clínica:
Tratamento:
Apofisite do calcâneo
Necrose avascular da placa epifisária da apófise do calcâneo
Homens 3x1
Atletas/microtraumas de repetição
Conservador - Autolimitada em 6 meses
Dor durante atividade física, melhora ao repouso (tração do tríceps)

Osteocondrites do pé
Kohler
Causa:
Idade de manifestação:
Marcha:
Clínica:
Imagem:
Tratamento:
Osteonecrose do navicular por stress mecânico ou alteração da vascularização
Manifesta no início da marcha
Marcha antálgica - Invertem o pé para pisar
Dor e edema dorsomedial
Achatamento, esclerose e fragmentação do navicular
Conservador - Navicular se reconstitui até 4 anos.
Artrodese talonavicular em casos persistentes

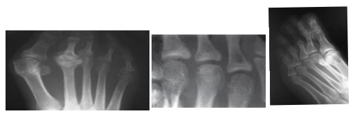
Osteocondrites do pé
Iselin
Causa:
Diagnóstico diferencial:
Imagem:
Tratamento:
Complicação:
Epifisite da base do 5º mtt por tração pelo fibular curto
DD: Os Vesalianum (Sesamoide do fibular curto)
Tratamento: Price
Rx: fragmento inferolateral (só se vê no oblíquo), bordas irregulares
Complicação: PSA

Osteocondrites do pé
Freiberg
O que é?
Onde acomete?
Clínica
Osteocondrite da cabeça dos MTT
2º mtt 70%
Dor em atividades, limitação da adm
Osteocondrites do pé
Freiberg
Estágios
1 - Edema e dor sem alterações radiográficas
2- Necrose avascular da epífise
3 - Fase de reparo com substituição do osso necrótico
Osteocondrites do pé
Freiberg
Exame
RX:
Sinal de depressão de Freiberg = Achatamento da cabeça do mtt
Radiolucencia
Esclerose marginal

Osteocondrites do pé
Freiberg
Tratamento
Conservador - Maioria
Cirúrgico - Se persistência
Técnica de Freiberg - Debridamento do tecido necrótico + Rotação da superficie articular saudável
Myiamoto - Transplante de plug osteocondral do côndilo femoral
Smilie - Curetagem + enxerto
