Osteomas Flashcards

(30 cards)

1
Q

Osteoma

A

Tumores benignos
compostos de osso
maduro compacto ou
esponjoso.

How well did you know this?
1
Not at all
2
3
4
5
Perfectly
2
Q

Osteoma
Sexo

A

Duas vezes mais comum
em homens.

How well did you know this?
1
Not at all
2
3
4
5
Perfectly
3
Q

Osteoma
Faixa etaria

A

Detectados em adulto.

How well did you know this?
1
Not at all
2
3
4
5
Perfectly
4
Q

Osteoma
Local de predileção

A

Predileção corpo da
mandíbula e côndilos

How well did you know this?
1
Not at all
2
3
4
5
Perfectly
5
Q

Osteoma
Localizações

A

Geralmente restritos ao esqueleto crânio-facial (corpo da mandíbula e côndilo). Raro em outros ossos.

How well did you know this?
1
Not at all
2
3
4
5
Perfectly
6
Q

Osteoma

Quando localizados no ____________, a maioria se localiza na ____________ posterior aos pré-molares.

A

Quando localizados no corpo da mandíbula, a maioria se localiza na superfície lingual posterior
aos pré-molares.

How well did you know this?
1
Not at all
2
3
4
5
Perfectly
7
Q

Osteoma
Tipos: (3)

A

– Osteoma periosteal ou periférico ou exofítico: massa polipóide ou séssil na superfície do osso.

– Osteoma endosteal ou central: no osso medular.

– Osteomas extraesqueléticos: localizados no músculo ou na derme (osteoma cutâneo). Geralmente loalizados onde o músculo se insere no osso. Resultam de tração muscular.

How well did you know this?
1
Not at all
2
3
4
5
Perfectly
8
Q

Osteoma diagnostico diferencial:
Cite a patologia:

T_________ (complete)

A

– Obs: Os toros palatinos e mandibulares são
histologicamente idênticos aos osteomas.

How well did you know this?
1
Not at all
2
3
4
5
Perfectly
9
Q

Osteomas Periosteais

Quanto ao seu crescimento e modificações no local.

A

Crescem lentamente na superfície da mandíbula ou da maxila como pólipos ou massas sésseis na superfície do osso.

Podem alcançar grandes proporções,
resultando em deformidade facial.

How well did you know this?
1
Not at all
2
3
4
5
Perfectly
10
Q

Osteomas Periosteais
Clinico (3 sintomas)

A
  • Maioria são assintomáticos e solitários.
  • Lesões grandes são incomuns.
  • Dor, deslocamento dentário e impacção dentária
    têm sido relatadas em poucos casos.
How well did you know this?
1
Not at all
2
3
4
5
Perfectly
11
Q

Osteoma Endosteal no Côndilo

Visualmente ele tem:
1)——- O**
2)——-L**
3)—-T*
4)—–D

A

*Alteração progressiva na oclusão do paciente.

*Desvio da linha média em direção ao lado afetado, má oclusão.

*Tumefação facial.

*Dor e limitação na abertura da
boca.

How well did you know this?
1
Not at all
2
3
4
5
Perfectly
12
Q

Diagnostico diferencial:

Diferença entre hiperplasia condilar de osteomas –>

A

*Para distinguir hiperplasia condilar de osteomas:

os osteomas condilares são lobulados

hiperplasia do côndilo mantém sua forma original

How well did you know this?
1
Not at all
2
3
4
5
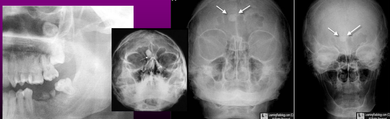
Perfectly
13
Q

Osteoma nos seios paranasais

Tipo de lesão mais comum, sintomas e seio mais envolvido?

A
  • São mais comuns que as lesões gnáticas.
    Geralmente assintomáticos. Sintomas como sinusite, rinorréia, podem invadir a órbita e causar proptose, diplopia e diminuição da acuidade visual.
  • Seio frontal é o mais envolvido, seguido pelo etmoidal e maxilar
How well did you know this?
1
Not at all
2
3
4
5
Perfectly
14
Q

Osteomas
Tratamento: (4)

A

– Excisão cirúrgica conservadora de osteomas que causam sintomas ou deformidades. Não há recidivas.

– Osteomas assintomáticos devem ser avaliados periodicamente.

– Osteomas no côndilo devem ser removidos cirurgicamente.

– Osteomas sintomáticos doa seios
paranasais podem ser removidos
endoscopicamente ou via aberta

How well did you know this?
1
Not at all
2
3
4
5
Perfectly
15
Q

Síndrome de Gardner

A

Associada aos osteomas

How well did you know this?
1
Not at all
2
3
4
5
Perfectly
16
Q

Síndrome de Gardner
Causa da doença

A

*As doenças são causadas por mutações no gene supressor tumoral da polipose coli adenomatosa (APC) no cromossomo 5q21.

*Indivíduos afetados tem história familiar. 30% representam
novas mutações

17
Q

Síndrome de Gardner

Caracteristicas:

São 6;

A

*Polipose intestinal.

*Osteomas múltiplos (tipo compacto).

*Fibromas cutâneos.

*Cistos epidérmicos.

  • Dentes supranumerários e permanentes
    impactados (20% dos casos) e odontomas.

*Tumores desmóides (10%), carcinomas de tireóide e lesões pigmentadas no fundo do olho (90%).

18
Q

Síndrome de Gardner
No sistema intestinal e gástrico ele apresenta ?

A
  • Presença de pólipos adenomatosos no cólon e extracólon (intestino delgado, estômago ou reto)
    que se desenvolvem em torno da segunda década.
  • Lesões assintomáticas, mas podem causar diarreia, constipação, sangramento, anemia e dor
    abdominal.
  • Apresentam vários graus de displasia,
    se não tratados acabem virando
    adenocarcinomas.
  • Podem se localizar no intestino
    delgado ou no estômago
18
Q

Síndrome de Gardner

Idade, predileção pelo sexo? duração dos sintomas e o que acontece na cavidade oral?

A
  • 85% dos casos ocorre antes dos 30 anos de idade.
  • Leve predileção pelas mulheres.
  • Queixa de dor severa local, não controlada pelos AINES, é o sintoma mais constante. Incomum dores noturnas. Aumento de volume.
  • Duração da sintomatologia varia de semanas a
    anos.
  • Podem causar mobilidade
    dentária, reabsorção radicular ou
    deslocamento dentário
19
Q

Síndrome de Gardner

Na pele ele apresenta?

A
  • Presença de um ou vários cistos epidermóides da pele.
  • Outros achados cutâneos incluem lipomas, fibromas, neurofibromas e leiomiomas..
  • Tumores desmóides surgem em 12 a 18% dos
    pacientes.
  • Lesões são mais frequentes nas mulherese se desenvolvem nas cicatrizes abdominais que se formam após colectomia.
20
Q

Síndrome de Gardner

21
Q

Síndrome de Gardner

22
Q

Síndrome de Gardner

23
Q

Cementoblastoma ou Cementoma Verdadeiro

Prevalencia, origem e local mais comum?

A
  • Representa 1% dos tumores odontogênicos.

Origina-se dos cementoblastos. 50% afetam os 1º molares permanentes. Raro em dentes decíduos.

  • Mais comum na mandíbula (80%), com maior incidência na região de molares e prémolares(90%).

Metade dos casos envolve
primeiro molar

24
Cementoblastoma predileção por sexo.?:
Sem predileção por sexo.
25
Cementoblastoma
Maior frequência na segunda e terceiras décadas. 50% antes dos 20 e 75% antes dos 30 anos
26
Cementoblastoma Qual o comportamento pode ser observado? E--------,E-------,D----D---A----,E---------de-------D.E---------do-----s e i-------da câmara -----pul------e raízes.
Podem ser observados sinais de comportamento agressivo: expansão óssea, erosão da cortical, deslocamento de dentes adjacentes, envolvimento de vários dentes, envolvimento do seio maxilar e infiltração da câmara pulpar e raízes.
27
Cementoblastoma Radiografia ?
* 2/3 dos pacientes apresentam dor intermitente de baixa intensidade e tumefação local. * Massa radiopaca que se funde a raiz de um ou mais dentes, circundada por fina halo radiotransparente. Contorno da raiz é perdido. *Fusão com a raiz do dente envolvido.
28
Cementoblastoma- histologia L --- F------ A------
* Lençóis e trabéculas de espessas de mateial mineralizado com lacunas posicionadas de forma irregular e linhas reversas basofílicas de reversão proeminentes. * Estroma composto de tecido fibrovascular elularizado. * Frequência de células gigantes multibucleadas, além de células blásticas mageando as trabéculas mineralizadas. * A periferia da lesão, correspondendo a zona radiolúcida, mostra matriz não calcificada.
29
Cementoblastoma Tratamento
* 2/3 dos pacientes apresentam dor intermitente de baixa intensidade e tumefação local. * Massa radiopaca que se funde a raiz de um ou mais dentes, circundada por fina halo radiotransparente. Contorno da raiz é perdido.