Como classificar a osteomielite?
Qual a principal etiologia de uma osteomielite?
Como diagnosticar uma osteomielite?
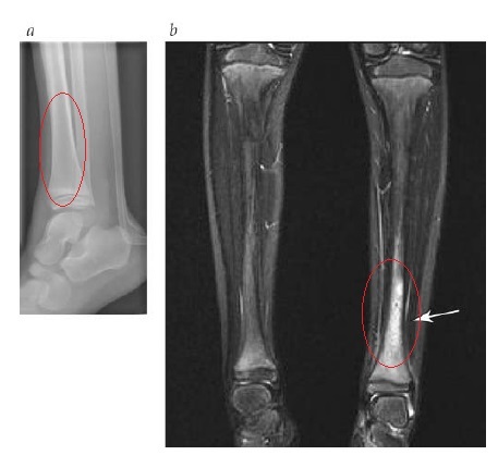
Esquerda RX / Direita RNM

Por quanto tempo tratar uma osteomielite?
Qual o arsenal terapêutico para tratar uma osteomielite?
Diferencie tratamento geral para todas as faixas etárias, RN, falcêmico e osteomielite no pé.