Osteoporosis Flashcards

(29 cards)

1
Q

how does osteoporosis occur?

A

rate of bone resorption becomes greater than rate of bone formation = net bone loss

How well did you know this?
1
Not at all
2
3
4
5
Perfectly
2
Q

osteoporosis is most commonly a result of what? (3)

A

increased age
menopause
metabolic abnormalities

How well did you know this?
1
Not at all
2
3
4
5
Perfectly
3
Q

what are 5 causes of secondary osteoporosis?

A

long-term glucocorticoid use
long-term thyroid replacement
anticonvulsant meds
smoking cigarettes
excessive alcohol use

How well did you know this?
1
Not at all
2
3
4
5
Perfectly
4
Q

what are the 3 most common areas where patients with osteoporosis have fractures?

A

wrist
hip
vertebra

How well did you know this?
1
Not at all
2
3
4
5
Perfectly
5
Q

at what age do wrist fractures most commonly occur?

A

50-60 years

How well did you know this?
1
Not at all
2
3
4
5
Perfectly
6
Q

at what age do vertebral fractures most commonly occur?

A

60-70 years

How well did you know this?
1
Not at all
2
3
4
5
Perfectly
7
Q

at what age do hip fractures most commonly occur?

A

70-80 years

How well did you know this?
1
Not at all
2
3
4
5
Perfectly
8
Q

at what age does the body build less new bone to replace the loss of old bone?

A

after 35 years

How well did you know this?
1
Not at all
2
3
4
5
Perfectly
9
Q

at what age should screening begin in women?

A

over 50 years old

How well did you know this?
1
Not at all
2
3
4
5
Perfectly
10
Q

how is the diagnosis of osteoporosis most often made?

A

through low impact/spontaneous fractures

How well did you know this?
1
Not at all
2
3
4
5
Perfectly
11
Q

what deformity is associated with fragility fractures of the vertebral bone?

A

kyphotic spine

How well did you know this?
1
Not at all
2
3
4
5
Perfectly
12
Q

what is the most accurate imaging with the least radiation exposure, used to provide information about bone strength and risk of fracture?

A

DEXA scan

How well did you know this?
1
Not at all
2
3
4
5
Perfectly
13
Q

DEXA scan score that compares bone density with that of a healthy young adult

A

T score

How well did you know this?
1
Not at all
2
3
4
5
Perfectly
14
Q

DEXA scan score that compares bone density with that of other people your age

A

Z score

How well did you know this?
1
Not at all
2
3
4
5
Perfectly
15
Q

what T score is normal?

A

above -1

How well did you know this?
1
Not at all
2
3
4
5
Perfectly
16
Q

what T score is considered osteopenia?

A

between -1 and -2.5

17
Q

what T score is considered osteoporosis?

A

-2.5 or below

18
Q

a fracture where means osteoporosis regardless of T score? (2)

A

spinal/hip fracture

19
Q

when should women get a bone density test? (2)

A

age 65 or older
50-64 if + risk factors

20
Q

when should men get a bone density test? (2)

A

age 70 or older
50-69 if + risk factors

21
Q

what is the treatment of osteoporosis based on?

A

total fracture risk

22
Q

what is the key to bone density and strength?

23
Q

what is the 1st line therapy for osteoporosis?

A

bisphosphonates

decrease osteoclastic bone resorption and increase osteoclast apoptosis

24
Q

what is the length of bisphosphonate treatment?

A

3-5 years

drug holiday for 1 year

25
which bisphosphonate is used for spine only?
ibandronate
26
what are 2 rare side effects of bisphosphonates?
atypical femoral fractures (long-term use) osteonecrosis of the jaw (frequent infusion)
27
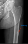
a patient presents with prodromal pain and localized periosteal or cortical thickening of the cortex that looks like "beaking". Dx?
atypical femoral fracture d/t bisphosphonates
28
what is a 2nd line treatment for osteoporosis that stimulates formation of new bone leading to increased BMD and decreases vertebral and nonvertebral fractures?
teriparatide (injection)
29
what is a ADR of teriparatide?
osteosarcoma (over 2 year use)