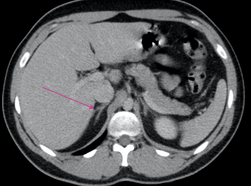
What is indicated by the arrow?

Lateral limb of adrenal gland
What are the restrictive options for bariatric surgery?
Gastric banding, sleeve gastrectomy
What is adaptive thermogenesis?
Resting metabolic rate of someone who is overweight will adjust down by more than you would expect simply on the basis of change in body composition
Body perceives weight loss as a threat to survival, so adaptive thermogenesis acts as a brake on further weight loss
What is indicated by the arrow?

Sella turcica
What dietary changes are necessary to prevent side effects of orlistat?
Hypocaloric and low fat diet
What is the target BG level for a diabetic individual before exercise?
7 and 15 mmol/L before exercise
Name two observational interventional designs
Interrupted time series, non-randomised cohort
What are the blood glucose targets for pregnant women with diabetes?
Fasting: <5.4 mmol/l
1 hour after meals: below 7.8 mmol/l
2 hours after meals: below 6.4 mmol/l
Intrapartum: 4-7 mmol/l (reduces risk of neonatal hypoglycaemia post delivery)
What is the mechanism of action of orlistat?
Lipase inhibitor - blocks absorption of dietary fat
When is the maximum period of time orlistat can be prescribed?
Prescribing guidance says 2 years
Evidence of safety for 4 years
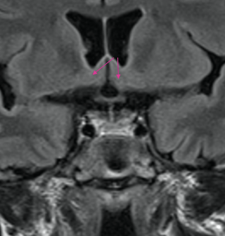
What is indicated by the arrows?

Hypothalamus
What is a critical appraisal?
Interpreting conflicting conclusions in the literature to obtain consensus, ultimately to inform guidelines e.g. SIGN
What is an non-randomised cohort design?
Main design before and after, can be improved with addition of controls but always have unknown confounding variables so difficult to determine causality
What is indicated by the arrow?

Oesophagus
What is intention-to-treat analysis?
Patient is analysed in the group they were randomised to irrespective of subsequent changes - reflects the real clinical world
What is indicated by the arrow?

Trachea
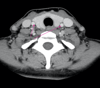
What is indicated by the arrows?

Common carotid arteries
What is the strongest form of scientific evidence?
Meta-analyses and systemic reviews
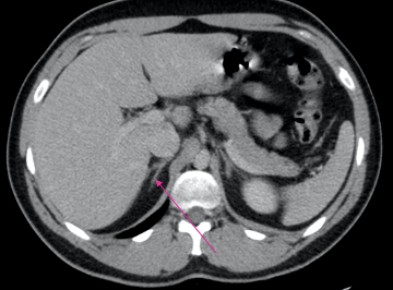
What is indicated by the arrow?

Medial limb of adrenal gland
How can an individual prevent hyperglycaemia during/after exercise?
Avoid exercise if BG > 14 mmol/L or ketones present
What is the aim of ketone monitoring?
Aim to detect risk of diabetic ketoacidosis
Discuss the 4 phases of drug development
Phase 1: safety, dose finding, volunteers (3-30)
Phase 2: safety, how effective, how often? (30-50)
Phase 3: efficacy, safety (100+)
Phase 4: post approval in large population (1000+)
What are the blood glucose targets for T2DM?
Before meals: 4-7 mmol/l
Two hours after meals: <8.5 mmol/l
Discuss the genes implicated in obesity
In an evolutionary context being able to optimise response to feeding opportunities was an advantage (‘thrifty genotype’), however this is maladaptive in today’s environment - a subset of the population may have a stronger ‘thifty genotype’ (e.g. insulin resistance) and therefore be more susceptible to put on weight